SAE1 Antibody
-
中文名稱:SAE1兔多克隆抗體
-
貨號:CSB-PA897667
-
規格:¥1100
-
圖片:
-
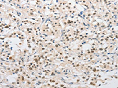
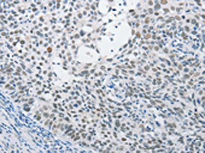
The image on the left is immunohistochemistry of paraffin-embedded Human thyroid cancer tissue using CSB-PA897667(SAE1 Antibody) at dilution 1/15, on the right is treated with fusion protein. (Original magnification: ×200)
-
The image on the left is immunohistochemistry of paraffin-embedded Human cervical cancer tissue using CSB-PA897667(SAE1 Antibody) at dilution 1/15, on the right is treated with fusion protein. (Original magnification: ×200)
-
Gel: 15%SDS-PAGE, Lysate: 40 μg, Lane 1-2: 293T cells, A431 cells, Primary antibody: CSB-PA897667(SAE1 Antibody) at dilution 1/400, Secondary antibody: Goat anti rabbit IgG at 1/8000 dilution, Exposure time: 30 seconds
-
-
其他:
產品詳情
-
Uniprot No.:
-
基因名:
-
別名:Activator of SUMO1 antibody; AOS1 antibody; HSPC140 antibody; Sae1 antibody; SAE1_HUMAN antibody; Sentrin/SUMO activating protein AOS1 antibody; SUA1 antibody; SUMO 1 activating enzyme E1 N subunit antibody; SUMO 1 activating enzyme subunit 1 antibody; SUMO-activating enzyme subunit 1 antibody; Ubiquitin like protein SUMO1 activating enzyme antibody; Ubiquitin-like 1-activating enzyme E1A antibody; UBL E1A antibody; UBLE1A antibody
-
宿主:Rabbit
-
反應種屬:Human,Mouse,Rat
-
免疫原:Fusion protein of Human SAE1
-
免疫原種屬:Homo sapiens (Human)
-
標記方式:Non-conjugated
-
抗體亞型:IgG
-
純化方式:Antigen affinity purification
-
濃度:It differs from different batches. Please contact us to confirm it.
-
保存緩沖液:-20°C, pH7.4 PBS, 0.05% NaN3, 40% Glycerol
-
產品提供形式:Liquid
-
應用范圍:ELISA,WB,IHC
-
推薦稀釋比:
Application Recommended Dilution ELISA 1:2000-1:5000 WB 1:500-1:2000 IHC 1:15-1:50 -
Protocols:
-
儲存條件:Upon receipt, store at -20°C or -80°C. Avoid repeated freeze.
-
貨期:Basically, we can dispatch the products out in 1-3 working days after receiving your orders. Delivery time maybe differs from different purchasing way or location, please kindly consult your local distributors for specific delivery time.
-
用途:For Research Use Only. Not for use in diagnostic or therapeutic procedures.
相關產品
靶點詳情
-
功能:The heterodimer acts as an E1 ligase for SUMO1, SUMO2, SUMO3, and probably SUMO4. It mediates ATP-dependent activation of SUMO proteins followed by formation of a thioester bond between a SUMO protein and a conserved active site cysteine residue on UBA2/SAE2.
-
基因功能參考文獻:
- the expression of SENP8, SAE1, PIAS1, PIAS2 and ZMIZ1 is deregulated in the majority of PTC tissues, likely contributing to the PTC phenotype. PMID: 26403403
- as it has been shown by flow cytometry analysis, specific knockdown of SAE1 slowed down the cell population at G0/G1 phase and induced apoptosis of RKO cells. PMID: 25842831
- SUMO-1 controls the protein stability and the biological function of phosducin. PMID: 16421094
-
亞細胞定位:Nucleus.
-
蛋白家族:Ubiquitin-activating E1 family
-
組織特異性:Expression level increases during S phase and drops in G2 phase (at protein level).
-
數據庫鏈接:
Most popular with customers
-
-
YWHAB Recombinant Monoclonal Antibody
Applications: ELISA, WB, IHC, IF, FC
Species Reactivity: Human, Mouse, Rat
-
Phospho-YAP1 (S127) Recombinant Monoclonal Antibody
Applications: ELISA, WB, IHC
Species Reactivity: Human
-
-
-
-
-















