SAA2 Antibody
-
中文名稱:SAA2兔多克隆抗體
-
貨號:CSB-PA020657LA01HU
-
規格:¥440
-
圖片:
-
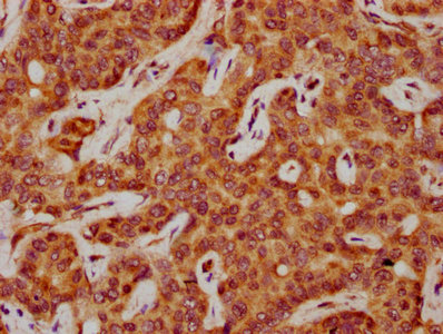
IHC image of CSB-PA020657LA01HU diluted at 1:600 and staining in paraffin-embedded human liver cancer performed on a Leica BondTM system. After dewaxing and hydration, antigen retrieval was mediated by high pressure in a citrate buffer (pH 6.0). Section was blocked with 10% normal goat serum 30min at RT. Then primary antibody (1% BSA) was incubated at 4°C overnight. The primary is detected by a biotinylated secondary antibody and visualized using an HRP conjugated SP system.
-
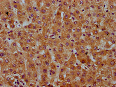
IHC image of CSB-PA020657LA01HU diluted at 1:600 and staining in paraffin-embedded human liver tissue performed on a Leica BondTM system. After dewaxing and hydration, antigen retrieval was mediated by high pressure in a citrate buffer (pH 6.0). Section was blocked with 10% normal goat serum 30min at RT. Then primary antibody (1% BSA) was incubated at 4°C overnight. The primary is detected by a biotinylated secondary antibody and visualized using an HRP conjugated SP system.
-
-
其他:
產品詳情
-
產品名稱:Rabbit anti-Homo sapiens (Human) SAA2 Polyclonal antibody
-
Uniprot No.:
-
基因名:SAA2
-
別名:SAA2 antibody; Serum amyloid A-2 protein antibody; SAA2 antibody
-
宿主:Rabbit
-
反應種屬:Human
-
免疫原:Recombinant Human Serum amyloid A-2 protein (19-94AA)
-
免疫原種屬:Homo sapiens (Human)
-
標記方式:Non-conjugated
本頁面中的產品,SAA2 Antibody (CSB-PA020657LA01HU),的標記方式是Non-conjugated。對于SAA2 Antibody,我們還提供其他標記。見下表:
-
克隆類型:Polyclonal
-
抗體亞型:IgG
-
純化方式:>95%, Protein G purified
-
濃度:It differs from different batches. Please contact us to confirm it.
-
保存緩沖液:Preservative: 0.03% Proclin 300
Constituents: 50% Glycerol, 0.01M PBS, pH 7.4 -
產品提供形式:Liquid
-
應用范圍:ELISA, IHC
-
推薦稀釋比:
Application Recommended Dilution IHC 1:500-1:1000 -
Protocols:
-
儲存條件:Upon receipt, store at -20°C or -80°C. Avoid repeated freeze.
-
貨期:Basically, we can dispatch the products out in 1-3 working days after receiving your orders. Delivery time maybe differs from different purchasing way or location, please kindly consult your local distributors for specific delivery time.
-
用途:For Research Use Only. Not for use in diagnostic or therapeutic procedures.
相關產品
靶點詳情
-
功能:Major acute phase reactant.
-
基因功能參考文獻:
- The prevalence of the SAA2 polymorphisms (rs 2445174 and rs2468844) did not differ significantly between the groups of ankylosing spondylitis patients with and without amyloidosis. PMID: 26300108
- successful quantification of SAA2 in crude serum by MRM, for the first time, shows that SAA2 can be a good biomarker for the detection of lung cancers. PMID: 22300576
- The glucocorticoid response element of the SAA2 promoter is dysfunctional compared to that of SAA1, hence glucocorticoids are unable to enhance the cytokine-driven transcriptional activity of SAA2. PMID: 12077270
- saa2 is regulated by tumor necrosis factor-alpha, interleukin-6, and glucocorticoids in hepatic and epithelial cells. PMID: 14871291
- Increased expression of SAA2 by adipocytes in obesity may play a critical role in local and systemic inflammation and free fatty acid production and could be a direct link between obesity and its comorbidities. PMID: 16737350
- CRP and SAA strongly correlated up to the fifth day of observation but were not good predictors of mortality in septic shock. PMID: 18385816
顯示更多
收起更多
-
相關疾病:Reactive, secondary amyloidosis is characterized by the extracellular accumulation in various tissues of the SAA2 protein. These deposits are highly insoluble and resistant to proteolysis; they disrupt tissue structure and compromise function.
-
亞細胞定位:Secreted.
-
蛋白家族:SAA family
-
組織特異性:Expressed by the liver; secreted in plasma.
-
數據庫鏈接:
Most popular with customers
-
-
YWHAB Recombinant Monoclonal Antibody
Applications: ELISA, WB, IHC, IF, FC
Species Reactivity: Human, Mouse, Rat
-
-
-
-
-
-















