S1PR2 Antibody
-
中文名稱:S1PR2兔多克隆抗體
-
貨號:CSB-PA225608
-
規格:¥1100
-
圖片:
-
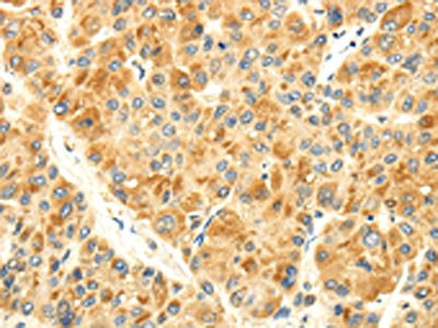
The image on the left is immunohistochemistry of paraffin-embedded Human liver cancer tissue using CSB-PA225608(S1PR2 Antibody) at dilution 1/30, on the right is treated with synthetic peptide. (Original magnification: ×200)
-
The image on the left is immunohistochemistry of paraffin-embedded Human prostate cancer tissue using CSB-PA225608(S1PR2 Antibody) at dilution 1/30, on the right is treated with synthetic peptide. (Original magnification: ×200)
-
-
其他:
產品詳情
-
Uniprot No.:
-
基因名:
-
別名:S1PR2; EDG5; Sphingosine 1-phosphate receptor 2; S1P receptor 2; S1P2; Endothelial differentiation G-protein coupled receptor 5; Sphingosine 1-phosphate receptor Edg-5; S1P receptor Edg-5
-
宿主:Rabbit
-
反應種屬:Human
-
免疫原:Synthetic peptide of Human S1PR2
-
免疫原種屬:Homo sapiens (Human)
-
標記方式:Non-conjugated
-
抗體亞型:IgG
-
純化方式:Antigen affinity purification
-
濃度:It differs from different batches. Please contact us to confirm it.
-
保存緩沖液:-20°C, pH7.4 PBS, 0.05% NaN3, 40% Glycerol
-
產品提供形式:Liquid
-
應用范圍:ELISA,IHC
-
推薦稀釋比:
Application Recommended Dilution ELISA 1:2000-1:5000 IHC 1:25-1:100 -
Protocols:
-
儲存條件:Upon receipt, store at -20°C or -80°C. Avoid repeated freeze.
-
貨期:Basically, we can dispatch the products out in 1-3 working days after receiving your orders. Delivery time maybe differs from different purchasing way or location, please kindly consult your local distributors for specific delivery time.
-
用途:For Research Use Only. Not for use in diagnostic or therapeutic procedures.
相關產品
靶點詳情
-
功能:Receptor for the lysosphingolipid sphingosine 1-phosphate (S1P). S1P is a bioactive lysophospholipid that elicits diverse physiological effects on most types of cells and tissues. When expressed in rat HTC4 hepatoma cells, is capable of mediating S1P-induced cell proliferation and suppression of apoptosis. Receptor for the chemokine-like protein FAM19A5. Mediates the inhibitory effect of FAM19A5 on vascular smooth muscle cell proliferation and migration.
-
基因功能參考文獻:
- both SphK1 overexpression and S1P addition increased mTOR phosphorylation as shown by ELISA, while S1PR2 inhibition had the inverse effect. These data suggest that CerS6 and SphK1 regulate mTOR signaling in breast cancer cell proliferation. Moreover, mTOR activity can be regulated by the balance between S1P and C16ceramide, which is generated by CerS6. PMID: 30226616
- Although extravillous trophoblasts express three S1P receptor isoforms, S1P predominantly signals through S1PR2/Galpha12/13 to activate Rho, and thereby acts as potent inhibitor of extravillous trophoblast migration. PMID: 29208234
- SNPs within 0.1 Mb of the S1PR2 gene as well as within the gene itself were interrogated as a candidate gene association for hearing loss. For 1 kHz thresholds, the adjacent SNP rs74930654 showed the most significant association. For 4 kHz, the most significant association was with rs201930568. These findings suggest that variants affecting the S1PR2 gene do contribute to auditory thresholds in the UK population. PMID: 27383011
- High S1PR2 expression is associated with anti-neutrophil cytoplasmic antibody-associated vasculitis. PMID: 28206609
- CONCLUSION: MiR-126 down-regulated S1PR2 and then prevented the activation of PI3K/AKT signaling pathway, which ultimately could damage intestinal mucosal barrier function. PMID: 28302479
- Data suggest that activation of SR-BI by APOAI down-regulates sphingosine 1-phosphate/S1PR2-mediated inflammation in vascular endothelial cells by activating the PI3K/Akt signaling pathway; oxidized-LDL does the opposite. (APOA1 = apolipoprotein A-I; SR-BI/SCARB1 = scavenger receptor class B type I; S1PR2 = sphingosine 1-phosphate receptor 2; PI3K = phosphatidylinositol 3-kinase; Akt = proto-oncogene c-akt) PMID: 28181168
- S1PR2 mediates Rho activation in normal cells neighboring RasV12-transformed cells. PMID: 26631556
- Sphingosine 1-phosphate-induced IL-8 gene expression is mainly regulated via S1PR(1), and its secretion is regulated through S1PR(2) receptor subtype. PMID: 26321412
- S1PR2 is repressed by FOXP1 in activated B-cell and germinal center B-cell DLBCL cell lines with aberrantly high FOXP1 levels; S1PR2 expression is further inversely correlated with FOXP1 expression in 3 DLBCL patient cohorts. PMID: 26729899
- LXR-alpha might downregulate S1PR2 expression via miR-130a-3p in quiescent HUVECs. Stimulation of TNF-alpha attenuates the activity of LXR-alpha and results in enhanced S1PR2 expression. PMID: 26669941
- be detected in the human cerebrovascular endothelium PMID: 26243335
- S1PR2 plays a critical role in TCA-induced COX-2 expression and CCA growth and may represent a novel therapeutic target for CCA. PMID: 26518876
- both S1PR1 and S1PR2 play a pivotal role in hyperglycemia-induced EC dysfunction and endothelial injury by reducing and enhancing the production of oxidative stress. PMID: 25673082
- AB1 displayed potency at least equivalent to JTE-013 in affecting signaling molecules downstream of S1P2. PMID: 26105954
- Activation of S1PR2-calcium influx-RhoA/ROCK dominates the high-dose S1P-induced endothelial monolayer hyperpermeability response. PMID: 25557733
- Data indicate that sphingosine 1-phosphate (S1P) and hepatocyte growth factor (HGF) induced transloaction of integrin beta4, S1P receptors S1PR2 and S1PR3 to endothelial cell membrane caveolin-enriched microdomains (CEMs). PMID: 24851274
- The S1P2R specifically activates RhoC via G12/13 proteins and LARG. PMID: 23993968
- Sphingosylphosphorylcholine stimulates alpha-SMA protein expression and human lung fibroblast mediated collagen gel contraction via S1P2 receptor. PMID: 24614064
- Conjugated bile acids promote cholangiocarcinoma growth through S1PR2. PMID: 24700501
- S1PR2 expression was increased in disease-susceptible regions of the CNS of female patients with multiple sclerosis compared with their male counterparts. PMID: 24812668
- we provide evidences that S1PR1/3, but not S1PR2, negatively regulate the expression of collagen in hMSCs using cellular and molecular approaches PMID: 24038457
- extracellular S1P induces COX-2 expression via activation of S1P2 and subsequent Gi and p42/p44 MAPK-dependent signaling in renal mesangial cells leading to enhanced PGE2 formation and cell migration that essentially requires COX-2. PMID: 24064301
- Activation of the S1P2 receptor counteracts the detrimental phosphorylation of p38 MAPK by IL-1beta. PMID: 23666803
- S1PR2 is a key regulator of the proinflammatory phenotype of the endothelium. PMID: 23723450
- S1PR agonists are pro-fibrotic via S1P2R and S1P3R stimulation using Smad-independent pathways. PMID: 23589284
- Sphingosine 1-phosphate (S1P) receptors 1 and 2 coordinately induce mesenchymal cell migration through S1P activation of complementary kinase pathways PMID: 23300082
- identify the S1PR2 as the specific and necessary receptor to induce phosphorylation of ERM proteins and subsequent filopodia formation PMID: 23106337
- S1P receptors S1P1,2,3 are expressed in human anaplastic thyroid cancer C643 and THJ-16T cells at both mRNA and protein levels PMID: 22889737
- abdominal aortic aneurysms have down-regulation of the S1P2 protein with simultaneous up-regulation of the S1P3 protein, but not S1P1 PMID: 22547907
- Inflammatory mediators lipopolysaccharide and TNF-alpha induce S1PR2 expression in endothelium, suggesting that S1PR2 up-regulation may be involved in LPS and TNF-alpha elicited endothelial barrier dysfunction. PMID: 22244964
- SphK/S1P/S1PRs signaling axis plays an important role in liver fibrosis and is involved in the directed migration of hepatic myofibroblasts into the damaged areas. PMID: 21145832
- S1P2, and not S1P1 or S1P3, receptor activation increases conventional outflow resistance in whole-eye perfusions. PMID: 21289286
- S1PR2 receptors play a critical role in regulating human mast cell functions, including degranulation and cytokine and chemokine release PMID: 20194630
- suppress rac protein, a Rho family G protein and cell motility PMID: 11915348
- Amyloid beta-protein stimulated in monocytes the gene expression for sphingosine-1-phosphate receptor 5, which is amyloid beta-protein-induced migration. PMID: 15208267
- S1P2R receptor actively regulates the PTEN phosphatase by a Rho GTPase-dependent pathway to inhibit cell migration. PMID: 15764699
- S1P2R activation in endothelial cells increases vascular permeability. The balance of S1P1 and S1P2 receptors in the endothelium may determine the regulation of vascular permeability by S1P. PMID: 17431187
- antagonism of the S1P2R may be a novel therapeutic approach for the prevention and/or treatment of pathologic ocular neovascularization PMID: 17710232
- These results suggest that S1P(2) receptors/G(12/13)-proteins/Rho signaling pathways mediate S1P-induced inhibition of glioma cell migration. PMID: 18088600
- Results suggest that S1PR2 is involved in COX2 dependent effects of high-density lipoprotein on vascular smooth muscle. PMID: 18612546
- Plays essential roles in the pathogenesis of rheumatoid arthritis by modulating fibroblast-like synoviocytes migration, cytokine/chemokine production, and cell survival. PMID: 18658144
- impairment of function in senescent ECs in culture is mediated by an increase in S1P signaling through S1P(2)-mediated activation of the lipid phosphatase PTEN PMID: 18765664
- These data suggest that CTGF protein induced by S1P2 might act as a growth inhibitor in Wilms' tumor. PMID: 18922980
- the S1P(2) receptor is involved in S1P-induced platelet aggregation and Rho kinase activation. PMID: 19139947
- S1P(2) signaling may play a critical role in suppressing diffuse large B-cell lymphoma PMID: 19903857
顯示更多
收起更多
-
相關疾病:Deafness, autosomal recessive, 68 (DFNB68)
-
亞細胞定位:Cell membrane; Multi-pass membrane protein.
-
蛋白家族:G-protein coupled receptor 1 family
-
數據庫鏈接:
Most popular with customers
-
-
-
-
-
-
-
-
VDAC1 Recombinant Monoclonal Antibody
Applications: ELISA, WB, IHC
Species Reactivity: Human, Mouse, Rat















