S100A12 Antibody
-
中文名稱:S100A12兔多克隆抗體
-
貨號:CSB-PA020626HA01HU
-
規格:¥440
-
圖片:
-
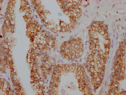
IHC image of CSB-PA020626HA01HU diluted at 1:100 and staining in paraffin-embedded human prostate cancer performed on a Leica BondTM system. After dewaxing and hydration, antigen retrieval was mediated by high pressure in a citrate buffer (pH 6.0). Section was blocked with 10% normal goat serum 30min at RT. Then primary antibody (1% BSA) was incubated at 4°C overnight. The primary is detected by a Goat anti-rabbit IgG labeled by HRP and visualized using 0.05% DAB.
-
IHC image of CSB-PA020626HA01HU diluted at 1:100 and staining in paraffin-embedded human tonsil tissue performed on a Leica BondTM system. After dewaxing and hydration, antigen retrieval was mediated by high pressure in a citrate buffer (pH 6.0). Section was blocked with 10% normal goat serum 30min at RT. Then primary antibody (1% BSA) was incubated at 4°C overnight. The primary is detected by a Goat anti-rabbit IgG labeled by HRP and visualized using 0.05% DAB.
-
-
其他:
產品詳情
-
產品名稱:Rabbit anti-Homo sapiens (Human) S100A12 Polyclonal antibody
-
Uniprot No.:
-
基因名:S100A12
-
別名:CAAF1 antibody; CAGC antibody; Calcitermin antibody; Calcium-binding protein in amniotic fluid 1 antibody; Calgranulin C antibody; Calgranulin-C antibody; Calgranulin-related protein antibody; CGRP antibody; EN RAGE antibody; EN-RAGE antibody; ENRAGE antibody; Extracellular newly identified RAGE-binding protein antibody; migration inhibitory factor-related protein 6 antibody; MRP6 antibody; Neutrophil S100 protein antibody; p6 antibody; Protein S100 A12 antibody; S100 calcium binding protein A12 antibody; S100 calcium-binding protein A12 (calgranulin C) antibody; S100 calcium-binding protein A12 antibody; S100A12 antibody; S10AC_HUMAN antibody
-
宿主:Rabbit
-
反應種屬:Human
-
免疫原:Recombinant Human Protein S100-A12 protein (2-91AA)
-
免疫原種屬:Homo sapiens (Human)
-
標記方式:Non-conjugated
本頁面中的產品,S100A12 Antibody (CSB-PA020626HA01HU),的標記方式是Non-conjugated。對于S100A12 Antibody,我們還提供其他標記。見下表:
-
克隆類型:Polyclonal
-
抗體亞型:IgG
-
純化方式:>95%, Antigen Affinity purified & Affinity purified
-
濃度:It differs from different batches. Please contact us to confirm it.
-
保存緩沖液:Preservative: 0.03% Proclin 300
Constituents: 50% Glycerol, 0.01M PBS, pH 7.4 -
產品提供形式:Liquid
-
應用范圍:ELISA, IHC
-
推薦稀釋比:
Application Recommended Dilution IHC 1:20-1:200 -
Protocols:
-
儲存條件:Upon receipt, store at -20°C or -80°C. Avoid repeated freeze.
-
貨期:Basically, we can dispatch the products out in 1-3 working days after receiving your orders. Delivery time maybe differs from different purchasing way or location, please kindly consult your local distributors for specific delivery time.
-
用途:For Research Use Only. Not for use in diagnostic or therapeutic procedures.
相關產品
靶點詳情
-
功能:S100A12 is a calcium-, zinc- and copper-binding protein which plays a prominent role in the regulation of inflammatory processes and immune response. Its proinflammatory activity involves recruitment of leukocytes, promotion of cytokine and chemokine production, and regulation of leukocyte adhesion and migration. Acts as an alarmin or a danger associated molecular pattern (DAMP) molecule and stimulates innate immune cells via binding to receptor for advanced glycation endproducts (AGER). Binding to AGER activates the MAP-kinase and NF-kappa-B signaling pathways leading to production of proinflammatory cytokines and up-regulation of cell adhesion molecules ICAM1 and VCAM1. Acts as a monocyte and mast cell chemoattractant. Can stimulate mast cell degranulation and activation which generates chemokines, histamine and cytokines inducing further leukocyte recruitment to the sites of inflammation. Can inhibit the activity of matrix metalloproteinases; MMP2, MMP3 and MMP9 by chelating Zn(2+) from their active sites. Possesses filariacidal and filariastatic activity. Calcitermin possesses antifungal activity against C.albicans and is also active against E.coli and P.aeruginosa but not L.monocytogenes and S.aureus.
-
基因功能參考文獻:
- S100A12 activates NLPR3 inflammasomes to induce MUC5AC production in airway epithelial cells. ATP induces MUC5AC production in a mechanistically similar mode to S100A12. PMID: 29906464
- The results suggest that S100A12 does not participate in the induction of inflammation in dental pulp. However, RAGE can participate in the inflammation in the pulp of males. PMID: 28834384
- S100A12 was a significant predictor of lung alveolar infiltration (OR 2.60, 95%CI 1.35-5.00, p = 0.004). These results suggest that S100A12 has the potential to assess the extent of alveolar infiltration in Pulmonary tuberculosis. PMID: 27539060
- Results indicated that S100A12 could increase the expression of MMP-2, MMP-9, and vascular cell adhesion molecule 1 (VCAM-1) in HASMCs via activation of ERK1/2 signal pathway, which leads to injury of HASMCs. PMID: 28816402
- S100A12 binds to CD36 in the low nanomolar range at the CD36 thrombospondin-1 binding site. PMID: 27734162
- data on the antimicrobial activity of S100A12 have been reported. Proinflammatory role of S100A12 is supported by another newly found receptor, Toll-like receptor 4 (TLR4). PMID: 28110121
- Report role of fecal S100A12 assay in the diagnosis and management of inflammatory bowel disease. PMID: 28735301
- The aim of this mini-review was to outline the pleiotropic actions of S100A12 and to highlight the potential clinical importance of this protein in kidney and cardiovascular diseases. [review] PMID: 29080693
- serum levels had significant, positive correlations with intensive care unit length of stay, 28-day mortality, and in-hospital mortality after major abdominal surgery PMID: 27689623
- The binding interface between S100A12 and the V domain of RAGE has been identified and mapped. PMID: 27598566
- S100A12 functions as a proinflammatory cytokine and activates dermal fibroblasts, causing dermal fibrosis PMID: 27840235
- These data suggest that S100A12 is part of an innate and adaptive inducible antimicrobial network that contributes to host defense against mycobacteria in infected macrophages PMID: 27355424
- Among the investigated S100-proteins, S100A12 showed the closest association with disease activity and therapeutic response and might therefore provide a valuable biomarker for psoriasis PMID: 26333514
- the expression of S100A12 protein and mRNA was downregulated in a large number of clinical samples of GC. Low expression of S100A12 exhibited a marked propensity toward the clinicopathologic features such as tumor size, depth of invasion, TNM stage, Lauren classification, tumor cell differentiation, and poor survival in GC patients. PMID: 26638166
- Serum S100A12 was significantly higher in rheumatoid arthritis patients than controls, and was correlated with disease activity. PMID: 26767827
- an elevated serum level of S100A12 was an independent determinant of the progression of abdominal aortic calcification determined by lateral lumbar X-ray in Hemodialysis patients. PMID: 26914918
- Our findings indicate that chitotriosidase and S10012A are useful in diagnosis and detection of subclinical inflammation and/or assessment of disease activity in FMF patients. PMID: 26339162
- This is the first kinetics study of levels of RAGE main isoforms and ligands during ARDS. Elevated sRAGE, HMGB1 and S100A12, with decreased esRAGE and AGEs, were found to distinguish patients with ARDS from those without. PMID: 26274928
- serum level elevated in acute liver failure PMID: 25825217
- S100A12 is a biomarker of chronic heart failure that may also predict major cardiovascular events in patients with chronic heart failure. PMID: 25438075
- High mRNA expression of S100A12 is associated with bladder transitional cell carcinoma. PMID: 25854354
- These findings suggested that S100A12 is an effective marker for inflammatory diseases. PMID: 25650963
- High serum S100A12 expression is associated with poor response to therapy in Crohn's disease. PMID: 25625487
- Suggest that an elevated S100A12 level could play a crucial role in systemic inflammation and may be a promising biomarker for predicting perioperative complications in patients with thoracic aortic dissection. PMID: 24691129
- These assays showed that S100A12 is induced in response to Helicobacter pylori infection and inhibits bacterial growth and viability in vitro by binding nutrient zinc. PMID: 25964473
- S100A12 might participate in the damage of biliary epithelial cells and hepatocytes in primary biliary cirrhosis. PMID: 25313445
- Using a computational approach, the study investigated the modulation of protein structure by different ions in the solution, at different ionic strengths. PMID: 24944024
- Data indicate that resistin, S100A12 and soluble receptor for advanced glycation end products (sRAGE) are involved in the pathophysiology of Kawasaki disease (KD). PMID: 23171632
- The S100A12 protein was significantly associated with synovitis score in rheumatoid arthritis patients. PMID: 25282581
- highlight EN-RAGE as an inflammatory marker for future coronary heart disease (CHD) in a general population, beyond traditional CHD risk factors and inflammatory markers PMID: 25341801
- S100A12 is associated with duration of cardiopulmonary bypass, pulmonary inflammation, hypoxia and prolonged mechanical ventilation and may contribute to acute lung injury in cardiac surgery patients. PMID: 24887223
- The antimicrobial peptide calcitermin was isolated from human airway secretions and targets Gram-negative bacteria. PMID: 11522286
- Serum S100A12 concentrations are correlated with angiographic coronary lesion complexity in patients with coronary artery disease. PMID: 24341566
- Correlation of human S100A12 and high-sensitivity C-reactive protein as gingival crevicular fluid and serum markers of inflammation in chronic periodontitis and type 2 diabetes. PMID: 24378957
- Excessive expression of the S100A12 gene in uremic leukocytes is relevant to its increased serum concentration, particularly in those affected with cardiovascular disease. PMID: 23921255
- S100A12 and hBD2 correlate with the fecal microbiota thus linking the intestinal innate immune response to the bacterial colonization. PMID: 24307989
- EN-RAGE inflammatory ligand has an increased expression in Takayasu's arteritis patients. PMID: 23398829
- High S100A12 levels are associated with the presence and severity of coronary artery disease in patients with type 2 diabetes mellitus. PMID: 23609464
- High S100A12 expression is associated with intestinal inflammation and relapse in inflammatory bowel disease. PMID: 23377171
- The results indicate that plasma S100A12 level is an independent predictor for two-year all-cause mortality. A simple integer scoring system was therefore established for predicting mortality on the basis of plasma S100A12 levels. PMID: 23324110
- S100A12 could be a novel biomarker for predicting cardiovascular events for predicting MACE in patients with stable CAD. PMID: 22786469
- Fecal S100A12 levels were significantly higher in patients with severe necrotizing enterocolitis (NEC) at onset of disease and also, in contrast to fecal calprotectin, at 4-10 days before onset of NEC compared with unaffected reference infants. PMID: 22796048
- Significant relationship was found between MMP9 and HMGB1 and EN-RAGE in diabetic patients. PMID: 22549347
- Data indicate that S100A12 is up-regulated in Thoracic Aortic Aneurysm Dissection (TAAD) and may contribute to the pathogenesis of TAAD by initiating apoptosis of SMC, at least in part via increased oxidative stress. PMID: 22818064
- these data indicate the possible involvement of S100A12 in the development of osteoarthritis by up-regulating MMP-13 and VEGF via p38 MAPK and NF-kappaB pathways. PMID: 22609404
- Although S100A12 levels are not elevated in patients with decreased kidney function, a relation to markers of inflammatory disease is found. PMID: 21822023
- Levels of serum RAGE are reduced in patients with juvenile rheumatoid arthritis and correlate negatively with disease activity and S100A12 levels. PMID: 21724696
- Suggest that elevated plasma EN-RAGE and decreased sRAGE level could play a crucial role in systemic inflammation and carotid atherosclerosis in peritoneal dialysis patients. PMID: 21906738
- Transgenic expression of S100A12 in the lung of mice does not exacerbate lung inflammation in a model of OVA-induced allergic inflammation. PMID: 21418345
- plasma S100A12 protein level is strongly associated with the prevalence of cardiovascular disease in hemodialysis patients. PMID: 21258041
顯示更多
收起更多
-
亞細胞定位:Secreted. Cytoplasm. Cytoplasm, cytoskeleton. Cell membrane; Peripheral membrane protein. Note=Predominantly localized in the cytoplasm. Upon elevation of the intracellular calcium level, translocated from the cytoplasm to the cytoskeleton and the cell membrane. Upon neutrophil activation is secreted via a microtubule-mediated, alternative pathway.
-
蛋白家族:S-100 family
-
組織特異性:Predominantly expressed by neutrophils, monocytes and activated macrophages. Expressed by eosinophils and macrophages in asthmatic airways in regions where mast cells accumulate. Found in high concentrations in the serum of patients suffering from various
-
數據庫鏈接:
Most popular with customers
-
-
YWHAB Recombinant Monoclonal Antibody
Applications: ELISA, WB, IHC, IF, FC
Species Reactivity: Human, Mouse, Rat
-
Phospho-YAP1 (S127) Recombinant Monoclonal Antibody
Applications: ELISA, WB, IHC
Species Reactivity: Human
-
-
-
-
-















