RTF1 Antibody
-
中文名稱:RTF1兔多克隆抗體
-
貨號:CSB-PA821675HA01HU
-
規格:¥440
-
圖片:
-
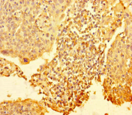
Immunohistochemistry of paraffin-embedded human prostate cancer using CSB-PA821675HA01HU at dilution of 1:100
-
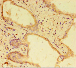
Immunohistochemistry of paraffin-embedded human cervical cancer using CSB-PA821675HA01HU at dilution of 1:100
-
Immunofluorescent analysis of Hela cells using CSB-PA821675HA01HU at dilution of 1:100 and Alexa Fluor 488-congugated AffiniPure Goat Anti-Rabbit IgG(H+L)
-
Western Blot
Positive WB detected in: Hela whole cell lysate, HEK293 whole cell lysate, MCF-7 whole cell lysate, HepG2 whole cell lysate
All lanes: RTF1 antibody at 3.4μg/ml
Secondary
Goat polyclonal to rabbit IgG at 1/50000 dilution
Predicted band size: 81 kDa
Observed band size: 81 kDa
-
-
其他:
產品詳情
-
產品名稱:Rabbit anti-Homo sapiens (Human) RTF1 Polyclonal antibody
-
Uniprot No.:
-
基因名:RTF1
-
別名:CDG1N antibody; GTL 7 antibody; GTL7 antibody; KIAA0252 antibody; Ortholog of mouse gene trap locus 7 antibody; RNA polymerase associated protein RTF1 homolog antibody; RNA polymerase-associated protein RTF1 homolog antibody; RTF 1 antibody; RTF1 antibody; Rtf1 Paf1/RNA polymerase II complex component homolog antibody; RTF1_HUMAN antibody; rtf1L antibody; YGL244W antibody
-
宿主:Rabbit
-
反應種屬:Human
-
免疫原:Recombinant Human RNA polymerase-associated protein RTF1 homolog protein (620-670AA)
-
免疫原種屬:Homo sapiens (Human)
-
標記方式:Non-conjugated
本頁面中的產品,RTF1 Antibody (CSB-PA821675HA01HU),的標記方式是Non-conjugated。對于RTF1 Antibody,我們還提供其他標記。見下表:
-
克隆類型:Polyclonal
-
抗體亞型:IgG
-
純化方式:>95%, Protein G purified
-
濃度:It differs from different batches. Please contact us to confirm it.
-
保存緩沖液:Preservative: 0.03% Proclin 300
Constituents: 50% Glycerol, 0.01M PBS, PH 7.4 -
產品提供形式:Liquid
-
應用范圍:ELISA, WB, IHC, IF
-
推薦稀釋比:
Application Recommended Dilution WB 1:2000-1:5000 IHC 1:20-1:200 IF 1:50-1:200 -
Protocols:
-
儲存條件:Upon receipt, store at -20°C or -80°C. Avoid repeated freeze.
-
貨期:Basically, we can dispatch the products out in 1-3 working days after receiving your orders. Delivery time maybe differs from different purchasing way or location, please kindly consult your local distributors for specific delivery time.
-
用途:For Research Use Only. Not for use in diagnostic or therapeutic procedures.
相關產品
靶點詳情
-
功能:Component of the PAF1 complex (PAF1C) which has multiple functions during transcription by RNA polymerase II and is implicated in regulation of development and maintenance of embryonic stem cell pluripotency. PAF1C associates with RNA polymerase II through interaction with POLR2A CTD non-phosphorylated and 'Ser-2'- and 'Ser-5'-phosphorylated forms and is involved in transcriptional elongation, acting both independently and synergistically with TCEA1 and in cooperation with the DSIF complex and HTATSF1. PAF1C is required for transcription of Hox and Wnt target genes. PAF1C is involved in hematopoiesis and stimulates transcriptional activity of KMT2A/MLL1; it promotes leukemogenesis through association with KMT2A/MLL1-rearranged oncoproteins, such as KMT2A/MLL1-MLLT3/AF9 and KMT2A/MLL1-MLLT1/ENL. PAF1C is involved in histone modifications such as ubiquitination of histone H2B and methylation on histone H3 'Lys-4' (H3K4me3). PAF1C recruits the RNF20/40 E3 ubiquitin-protein ligase complex and the E2 enzyme UBE2A or UBE2B to chromatin which mediate monoubiquitination of 'Lys-120' of histone H2B (H2BK120ub1); UB2A/B-mediated H2B ubiquitination is proposed to be coupled to transcription. PAF1C is involved in mRNA 3' end formation probably through association with cleavage and poly(A) factors. In case of infection by influenza A strain H3N2, PAF1C associates with viral NS1 protein, thereby regulating gene transcription. Binds single-stranded DNA. Required for maximal induction of heat-shock genes. Required for the trimethylation of histone H3 'Lys-4' (H3K4me3) on genes involved in stem cell pluripotency; this function is synergistic with CXXC1 indicative for an involvement of a SET1 complex.
-
基因功能參考文獻:
- Human Rtf1 as a transcription elongation factor. PMID: 26217014
- Data indicate that the Plus3 domain of the Rtf1 subunit mediates Paf1C recruitment to genes by binding a repeating domain within the phosphorylated elongation factor Spt5. PMID: 24101474
-
亞細胞定位:Nucleus, nucleoplasm.
-
數據庫鏈接:
Most popular with customers
-
YWHAB Recombinant Monoclonal Antibody
Applications: ELISA, WB, IHC, IF, FC
Species Reactivity: Human, Mouse, Rat
-
Phospho-YAP1 (S127) Recombinant Monoclonal Antibody
Applications: ELISA, WB, IHC
Species Reactivity: Human
-
-
-
-
-
-















