RRAS Antibody
-
中文名稱:RRAS兔多克隆抗體
-
貨號:CSB-PA444135
-
規格:¥1100
-
圖片:
-
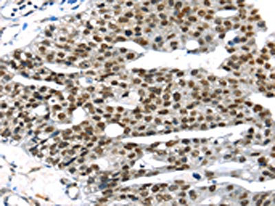
The image on the left is immunohistochemistry of paraffin-embedded Human breast cancer tissue using CSB-PA444135(RRAS Antibody) at dilution 1/25, on the right is treated with synthetic peptide. (Original magnification: ×200)
-
Gel: 6%SDS-PAGE, Lysate: 40 μg, Lane 1-2: PC3 cells, A549 cells, Primary antibody: CSB-PA444135(RRAS Antibody) at dilution 1/350, Secondary antibody: Goat anti rabbit IgG at 1/8000 dilution, Exposure time: 30 seconds
-
-
其他:
產品詳情
-
Uniprot No.:
-
基因名:
-
別名:Oncogene RRAS antibody; p23 antibody; R Ras antibody; Ras related Protein antibody; Ras related protein R Ras antibody; Ras-related protein R-Ras antibody; related RAS viral (r ras) oncogene homolog antibody; RRAS antibody; RRAS_HUMAN antibody
-
宿主:Rabbit
-
反應種屬:Human,Mouse,Rat
-
免疫原:Synthetic peptide of Human RRAS
-
免疫原種屬:Homo sapiens (Human)
-
標記方式:Non-conjugated
-
抗體亞型:IgG
-
純化方式:Antigen affinity purification
-
濃度:It differs from different batches. Please contact us to confirm it.
-
保存緩沖液:-20°C, pH7.4 PBS, 0.05% NaN3, 40% Glycerol
-
產品提供形式:Liquid
-
應用范圍:ELISA,WB,IHC
-
推薦稀釋比:
Application Recommended Dilution ELISA 1:2000-1:5000 WB 1:500-1:2000 IHC 1:25-1:100 -
Protocols:
-
儲存條件:Upon receipt, store at -20°C or -80°C. Avoid repeated freeze.
-
貨期:Basically, we can dispatch the products out in 1-3 working days after receiving your orders. Delivery time maybe differs from different purchasing way or location, please kindly consult your local distributors for specific delivery time.
-
用途:For Research Use Only. Not for use in diagnostic or therapeutic procedures.
相關產品
靶點詳情
-
功能:Regulates the organization of the actin cytoskeleton. With OSPBL3, modulates integrin beta-1 (ITGB1) activity.
-
基因功能參考文獻:
- R-Ras activation is associated melanoma tumorigenesis. PMID: 26993606
- this study identified potential biochemical players involved in distant recurrence and indicates that R-Ras and Transgelin are potential post-surgical prognostic biomarkers for Stage III colorectal cancer PMID: 27270312
- RRAS is a key regulator of miR-34/449 promotion of actin network formation during multiciliogenesis. PMID: 26381333
- Evidence is provided of a functional link between RRAS and MAPK signalling and reveal an unpredicted role of enhanced RRAS function in human disease. PMID: 24705357
- Girdin regulates the trafficking of VE-cadherin in synergy with R-Ras. PMID: 25869066
- phosphorylation of ORP3 controls its association with VAPA. Furthermore, ORP3-VAPA complexes stimulate R-Ras signaling. PMID: 25447204
- Contradicting the positive association reported in previous studies, our results indicate that R-Ras activation may negatively regulate the transformation of breast epithelial cells. PMID: 24700169
- A polymorphism linked to RRAS, SCAF1, IRF3 and BCL2L12 genes is associated with cirrhosis in hepatitis C virus carriers. PMID: 24131527
- Patients with gemistocytic astrocytomas with an RRAS deletion tend to have shorter survival rates than those without deletion. PMID: 25192052
- These data suggest that pharmacological inhibition of RRAS signaling may confer therapeutic benefit in Huntington's disease. PMID: 23209424
- These findings identify R-Ras as a critical regulator of vessel integrity and function during tumor vascularization. PMID: 22897853
- Maintaining endothelial barrier function is dependent upon active R-Ras and association between R-Ras and FLNa. PMID: 21660952
- Data suggest that the RRAS gene is an important regulatory module in the pathogenesis of biliary atresia (BA), which may serve as a novel prognostic marker for BA. PMID: 21390152
- data support a model in which R-Ras functionally associates with FLNa and thereby regulates integrin-dependent migration PMID: 20585650
- Sema3E acts on plexin D1 to initiate a two-pronged mechanism involving R-Ras inactivation and Arf6 stimulation, which affect the status of activation of integrins and their intracellular trafficking, respectively. PMID: 20385769
- study of the potential contribution in generating of estrogen-independence in MCF-7 cells PMID: 12386818
- the oncogene R-Ras promotes tumor growth of cervical epithelial cells and increases their migration potential over collagen through a pathway that involves PI 3-K. PMID: 12548599
- activation of R-Ras promotes the formation of focal adhesions and a spread cell shape PMID: 12890755
- Plexin-B1 mediates Sema4D-induced repulsive axon guidance signaling by acting as a GTPase activating protein for R-Ras PMID: 15297673
- R-Ras plays a key role in cell migration by locally regulating the switch from Rac to Rho activity after membrane protrusion and adhesion PMID: 15525681
- GPCRs rapidly activate R-Ras; R-Ras activation by the GPCRs is apparently directly induced by cyclic AMP-regulated Epac proteins; and activated R-Ras specifically controls GPCR-mediated phospholipase D stimulation PMID: 16754664
- These findings show that R-Ras activity mediates inhibition of insulin signaling associated with suppression of estrogen action, implicating this GTPase in a growth-inhibitory mechanism associated with antiestrogen treatment of breast cancer. PMID: 16914723
- R-Ras and ILK have roles upstream of GSK-3beta in the regulation of neuronal polarity PMID: 17107957
- Notch1 ligand, Delta-like ligand-4, stimulates R-Ras-dependent alpha 5 beta 1 integrin-mediated adhesion, demonstrating the physiological relevance of this pathway. PMID: 17664272
- results map the functional elements in the R-ras promoter sequence and suggest that the GABP may be critical for transcription of R-ras and for maintenance of normal blood vessel functions through the regulation of this gene PMID: 19011236
- TCF8 activates R-Ras, another class of angiogenic regulator, to suppress angiogenesis by a mechanism other than a transcriptional attenuator. PMID: 19116136
顯示更多
收起更多
-
亞細胞定位:Cell membrane; Lipid-anchor; Cytoplasmic side. Note=Inner surface of plasma membrane possibly with attachment requiring acylation of the C-terminal cysteine (By similarity with RAS).
-
蛋白家族:Small GTPase superfamily, Ras family
-
數據庫鏈接:
Most popular with customers
-
-
YWHAB Recombinant Monoclonal Antibody
Applications: ELISA, WB, IHC, IF, FC
Species Reactivity: Human, Mouse, Rat
-
Phospho-YAP1 (S127) Recombinant Monoclonal Antibody
Applications: ELISA, WB, IHC
Species Reactivity: Human
-
-
-
-
-















