RPSA Antibody
-
中文名稱:RPSA兔多克隆抗體
-
貨號:CSB-PA937841
-
規格:¥1100
-
圖片:
-
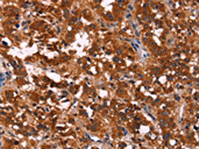
The image on the left is immunohistochemistry of paraffin-embedded Human thyroid cancer tissue using CSB-PA937841(RPSA Antibody) at dilution 1/60, on the right is treated with fusion protein. (Original magnification: ×200)
-
The image on the left is immunohistochemistry of paraffin-embedded Human brain tissue using CSB-PA937841(RPSA Antibody) at dilution 1/60, on the right is treated with fusion protein. (Original magnification: ×200)
-
Gel: 10%SDS-PAGE, Lysate: 40 μg, Lane 1-5: A549 cells, NIH/3T3 cells, 293T cells, human hepatocellular carcinoma tissue, hela cells, Primary antibody: CSB-PA937841(RPSA Antibody) at dilution 1/433.3, Secondary antibody: Goat anti rabbit IgG at 1/8000 dilution, Exposure time: 15 seconds
-
-
其他:
產品詳情
-
Uniprot No.:
-
基因名:RPSA
-
別名:34/67 kDa laminin receptor antibody; 37 kDa laminin receptor precursor antibody; 37/67 kDa laminin receptor antibody; 37LRP antibody; 40S ribosomal protein SA antibody; 67 kDa laminin receptor antibody; 67LR antibody; Colon carcinoma laminin binding protein antibody; Colon carcinoma laminin-binding protein antibody; LAMBR antibody; Laminin receptor 1 antibody; Laminin-binding protein precursor p40 antibody; LAMR 1 antibody; LamR antibody; LAMR1 antibody; LBP antibody; LBP/p40 antibody; LRP antibody; LRP/LR antibody; Multidrug resistance associated protein MGr1 Ag antibody; Multidrug resistance associated protein MGr1Ag antibody; Multidrug resistance-associated protein MGr1-Ag antibody; NEM/1CHD4 antibody; p40 antibody; Ribosomal Protein SA antibody; rpsA antibody; RSSA_HUMAN antibody; SA antibody
-
宿主:Rabbit
-
反應種屬:Human,Mouse,Rat
-
免疫原:Fusion protein of Human RPSA
-
免疫原種屬:Homo sapiens (Human)
-
標記方式:Non-conjugated
-
抗體亞型:IgG
-
純化方式:Antigen affinity purification
-
濃度:It differs from different batches. Please contact us to confirm it.
-
保存緩沖液:-20°C, pH7.4 PBS, 0.05% NaN3, 40% Glycerol
-
產品提供形式:Liquid
-
應用范圍:ELISA,WB,IHC
-
推薦稀釋比:
Application Recommended Dilution ELISA 1:2000-1:5000 WB 1:500-1:2000 IHC 1:100-1:300 -
Protocols:
-
儲存條件:Upon receipt, store at -20°C or -80°C. Avoid repeated freeze.
-
貨期:Basically, we can dispatch the products out in 1-3 working days after receiving your orders. Delivery time maybe differs from different purchasing way or location, please kindly consult your local distributors for specific delivery time.
-
用途:For Research Use Only. Not for use in diagnostic or therapeutic procedures.
相關產品
靶點詳情
-
功能:Required for the assembly and/or stability of the 40S ribosomal subunit. Required for the processing of the 20S rRNA-precursor to mature 18S rRNA in a late step of the maturation of 40S ribosomal subunits. Also functions as a cell surface receptor for laminin. Plays a role in cell adhesion to the basement membrane and in the consequent activation of signaling transduction pathways. May play a role in cell fate determination and tissue morphogenesis. Acts as a PPP1R16B-dependent substrate of PPP1CA.; (Microbial infection) Acts as a receptor for the Adeno-associated viruses 2,3,8 and 9.; (Microbial infection) Acts as a receptor for the Dengue virus.; (Microbial infection) Acts as a receptor for the Sindbis virus.; (Microbial infection) Acts as a receptor for the Venezuelan equine encephalitis virus.; (Microbial infection) Acts as a receptor for the pathogenic prion protein.; (Microbial infection) Acts as a receptor for bacteria.
-
基因功能參考文獻:
- Mutations in RPSA exons can affect the translated or untranslated regions and can underlie Isolated congenital asplenia with complete or incomplete penetrance. PMID: 30072435
- The binding of laminin-1 to 67LR causes initial signaling through PKA and Epac, which causes the internalization of 67LR, along with signaling enzymes, such as adenylyl cyclase, into early endosomes. This causes sustained signaling for protection against neuronal cell death induced by serum withdrawal. PMID: 29108990
- We suggest that PrP(C) and its interactor, LR/37/67 kDa, could be potential therapeutic targets for schwannomas and other Merlin-deficient tumours. PMID: 28692055
- Our results suggest that hypoxia-elicited c-Jun/activator protein 1 regulates 37-kDa laminin receptor precursor expression, which modulates migration and invasion of lung adenocarcinoma cells PMID: 28618937
- Increased LRP levels correlate with the increased invasive and adhesive potential in early and late stage melanoma cells. PMID: 28118986
- A polysaccharide from Pinellia ternata inhibits cell proliferation and metastasis in human cholangiocarcinoma cells by targeting of Cdc42 and 67kDa Laminin Receptor PMID: 27576948
- 67LR plays a considerable role in the development of colon cancer multidrug resistance PMID: 26293895
- 37LRP regulates the metastasis of glioma cells in vitro and tumor growth in vivo. PMID: 27748570
- Higher molecular weight Rpsa requires sumoylation to form. PMID: 26146125
- Knock-Down of the 37kDa/67kDa Laminin Receptor LRP/LR Impedes Telomerase Activity PMID: 26545108
- High expression level of the laminin receptor is associated with Breast and Oesophageal Cancer. PMID: 26427016
- Report discovery of new small molecules inhibiting 67 kDa laminin receptor interaction with laminin and cancer cell invasivness. PMID: 26062445
- LR1 contributes to hypoxia-induced migration and invasion of trophoblast cells at least partly by mediating MMP-9 PMID: 25800042
- Mutations in the gene RPSA, which encodes ribosomal protein SA, cause more than half of the cases of isolated congenital asplenia. These disease-causing mutations lead to haploinsufficiency of RPSA. Review. PMID: 25840456
- analysis of the complex three-way interaction between the non-integrin laminin receptor, galectin-3 and Neisseria meningitidis PMID: 25274119
- Studies indicate that the expression of 37/67-kDa immature laminin receptor protein (iLRP)iLRP in the rodent and human fetus is phase specific PMID: 25082063
- Suggest role for 67LR/mitogen activated protein kinase/DUSP pathway in influencing glioma cell proliferation. PMID: 25778325
- a biological marker in distinguishing squamous cell carcinoma: from adenocarcinoma, neuroendocrine carcinomas, and malignant mesothelioma PMID: 24805133
- LRP/LR is a receptor for amyloid-beta42 internalization, mediating its endocytosis and contributing to the cytotoxicity of the neuropeptide. PMID: 24990253
- Data suggest thet 67-kDa laminin receptor-dependent protein phosphatase 2A (67LR/PP2A) may be a promising therapeutic target for melanomas. PMID: 25294877
- Results indicate that MGr1-Ag/37LRP contributes to laminin-mediated cell adhesion-mediated drug resistance in gastric cancer cells. PMID: 24840404
- Mutants in the RPSA gene might be associated with genetic susceptibility to colorectal cancer. PMID: 24460263
- LamR interaction with the yeast prion-forming protein, Sup35, was investigated. PMID: 24416454
- as a receptor of ECM components, MGr1-Ag/37LRP may activate the downstream signal pathway PI3K/AKT and MAPK/ERK through interaction with phosphorylated FAK. PMID: 24703465
- RNA interference-mediated silencing of laminin receptor 1 (LR1) suppresses migration and invasion and down-regulates matrix metalloproteinase (MMP)-2 and MMP-9 in trophoblast cells. PMID: 23729238
- findings indicate that 37/67LR regulates proliferation and adhesion in normal intestinal epithelial cells independently of its known association with ribosomal function PMID: 23991217
- PEDF causes anti-angiogenic, anti-inflammatory and anti-thrombogenic reactions in myeloma cells through the interaction with LR. PMID: 24342618
- LRP/LR is involved in the maintenance of cellular viability in tumorigenic lung and cervix uteri cells through the blockage of apoptosis PMID: 23472084
- MGr1-Ag promotes small-cell lung cancer cell invasion and bone metastasis in vitro and in vivo, and that this is partially mediated via the epithelial-mesenchymal transition pathway. PMID: 23588894
- This discovery establishes an essential role for RPSA in human spleen development. PMID: 23579497
- 67LR functions as a cancer-specific death receptor. In this cell death receptor pathway, cGMP initiated cancer-specific cell death by activating the PKCdelta/acid sphingomyelinase (PKCdelta/ASM) pathway. PMID: 23348740
- Identification of novel laminin receptor binding proteins from whole cell extracts. PMID: 22909348
- The 67 kD laminin receptor is a novel PED/PEA-15 interacting protein. PED/PEA-15 overexpression increases 67LR-mediated cell adhesion and migration to laminin and extracellular matrix invasion. PMID: 21895963
- results suggest that RNF8 and BRCA1 are anchored to the nucleolus through reversible interactions with RPSA PMID: 22814251
- the nature of the EGCG-67LR interaction and novel structural insights into the understanding of 67LR-mediated functions of EGCG PMID: 22666419
- a high plasticity of RPSA, which could be important for its multiple cellular localizations and functional interactions PMID: 22640394
- key structural determinants of the interaction of LamR with laminin-1 PMID: 22290616
- Data indicate that high iLR expression was strongly correlated with negativity for CD38 and ZAP-70 expression and mutated IGVH gene status. PMID: 21055809
- Decreased LR1 expression in cytotrophoblasts and syncytiotrophoblasts of preeclamptic placentas, which may be independent of disease severity, might have a role in shallow trophoblastic invasion in preeclampsia. PMID: 21391874
- The genotypes and allele frequencies of the RPSA polymorphisms showed no significant differences between the controls and sporadic CJD patients. PMID: 21838916
- The ability of LAMR to regulate viability is associated with its C-terminal 75 residues. PMID: 21243100
- the SA C-terminal domain in the spatial structure of the 40S subunit PMID: 21167900
- 67-kDa laminin receptor expression influenced the characteristics of leukemia cells toward an aggressive phenotype and increased the number of granulocyte-macrophage colony-stimulating factor receptors PMID: 21056082
- Here, the authors identify a laminin binding site on LamR, comprising residues Phe32, Glu35, and Arg155, which are conserved among mammalian species. PMID: 21040730
- 67LR induces FasL expression and cytotoxicity against Fas-sensitive Jurkat T cells in human cholangiocarcinoma cells through the phosphorylation of c-Myc on Ser-62 and the subsequent activation of the FasL promoter through the ERK pathway PMID: 20101459
- Studies indicate that the 37-kDa/67 kDa laminin receptor is a receptor for the cellular prion protein (PrPc). PMID: 20515747
- 67LR promotes the invasive and metastatic ability of the gastric cancer cells through increasing urokinase and MMP 9 expression. PMID: 20491781
- TSAd associates with laminin binding protein and mediates T lymphocyte migration during T cell activation PMID: 19561400
- Results suggested that the LBP receptor domain interacting with venezuelan equine encephalitis E2 and tick-borne encephalitis virus E viral proteins is located at the C-terminal fragment of the LBP molecule. PMID: 19961413
- Tthese results show that 37LRP has some of the biological activities of 67LR, even prior to the conversion event. However, the conversion affects the sites of interaction with both laminin and heparan sulfate. PMID: 19691449
顯示更多
收起更多
-
相關疾病:Asplenia, isolated congenital (ICAS)
-
亞細胞定位:Cell membrane. Cytoplasm. Nucleus.
-
蛋白家族:Universal ribosomal protein uS2 family
-
數據庫鏈接:
Most popular with customers
-
YWHAB Recombinant Monoclonal Antibody
Applications: ELISA, WB, IHC, IF, FC
Species Reactivity: Human, Mouse, Rat
-
Phospho-YAP1 (S127) Recombinant Monoclonal Antibody
Applications: ELISA, WB, IHC
Species Reactivity: Human
-
-
-
-
-
-















