RPS7 Antibody
-
中文名稱:RPS7兔多克隆抗體
-
貨號:CSB-PA020476LA01HU
-
規格:¥440
-
圖片:
-
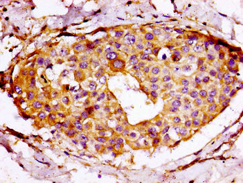
IHC image of CSB-PA020476LA01HU diluted at 1:100 and staining in paraffin-embedded human breast cancer performed on a Leica BondTM system. After dewaxing and hydration, antigen retrieval was mediated by high pressure in a citrate buffer (pH 6.0). Section was blocked with 10% normal goat serum 30min at RT. Then primary antibody (1% BSA) was incubated at 4°C overnight. The primary is detected by a biotinylated secondary antibody and visualized using an HRP conjugated SP system.
-
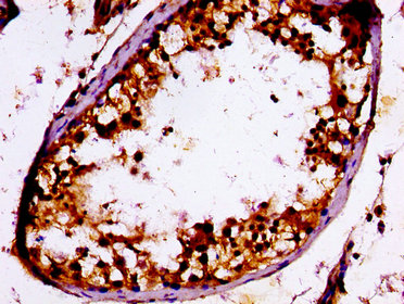
IHC image of CSB-PA020476LA01HU diluted at 1:100 and staining in paraffin-embedded human testis tissue performed on a Leica BondTM system. After dewaxing and hydration, antigen retrieval was mediated by high pressure in a citrate buffer (pH 6.0). Section was blocked with 10% normal goat serum 30min at RT. Then primary antibody (1% BSA) was incubated at 4°C overnight. The primary is detected by a biotinylated secondary antibody and visualized using an HRP conjugated ABC system.
-
-
其他:
產品詳情
-
產品名稱:Rabbit anti-Homo sapiens (Human) RPS7 Polyclonal antibody
-
Uniprot No.:
-
基因名:RPS7
-
別名:40S ribosomal protein S7 antibody; DBA8 antibody; Ribosomal protein S7 antibody; RPS 7 antibody; rps7 antibody; RS7_HUMAN antibody; S7 antibody
-
宿主:Rabbit
-
反應種屬:Human
-
免疫原:Recombinant Human 40S ribosomal protein S7 protein (1-194AA)
-
免疫原種屬:Homo sapiens (Human)
-
標記方式:Non-conjugated
本頁面中的產品,RPS7 Antibody (CSB-PA020476LA01HU),的標記方式是Non-conjugated。對于RPS7 Antibody,我們還提供其他標記。見下表:
-
克隆類型:Polyclonal
-
抗體亞型:IgG
-
純化方式:>95%, Protein G purified
-
濃度:It differs from different batches. Please contact us to confirm it.
-
保存緩沖液:Preservative: 0.03% Proclin 300
Constituents: 50% Glycerol, 0.01M PBS, pH 7.4 -
產品提供形式:Liquid
-
應用范圍:ELISA, IHC
-
推薦稀釋比:
Application Recommended Dilution IHC 1:20-1:200 -
Protocols:
-
儲存條件:Upon receipt, store at -20°C or -80°C. Avoid repeated freeze.
-
貨期:Basically, we can dispatch the products out in 1-3 working days after receiving your orders. Delivery time maybe differs from different purchasing way or location, please kindly consult your local distributors for specific delivery time.
-
用途:For Research Use Only. Not for use in diagnostic or therapeutic procedures.
相關產品
靶點詳情
-
功能:Required for rRNA maturation.
-
基因功能參考文獻:
- BCCIPbeta interacts with the central basic region in S7 protein and regulates the extraribosomal distribution of S7. PMID: 28510697
- RPS7 role in cell proliferation in the context of Hepatitis B virus-related hepatocellular carcinoma.SIRT7 trans-represses RPS7 gene in the presence of HBx protein. PMID: 26442981
- Low expression of RPS7 is associated with colorectal cancer. PMID: 26735579
- Knockdown of RPS7 resulted in increased expression of P85alpha, P110alpha, and AKT2. PMID: 24244431
- The study found two ribosomal proteins, RPS7 and RPL13A that interact with the HMG (high-mobility group) box domain of SRY. PMID: 21114473
- S7 binds to MDM2, in vitro and in vivo, and the interaction between MDM2 and S7 leads to modulation of MDM2-p53 binding by forming a ternary complex among MDM2, p53 and S7. PMID: 17310983
顯示更多
收起更多
-
相關疾病:Diamond-Blackfan anemia 8 (DBA8)
-
亞細胞定位:Cytoplasm, cytoskeleton, microtubule organizing center, centrosome.
-
蛋白家族:Eukaryotic ribosomal protein eS7 family
-
數據庫鏈接:
Most popular with customers
-
-
YWHAB Recombinant Monoclonal Antibody
Applications: ELISA, WB, IHC, IF, FC
Species Reactivity: Human, Mouse, Rat
-
Phospho-YAP1 (S127) Recombinant Monoclonal Antibody
Applications: ELISA, WB, IHC
Species Reactivity: Human
-
-
-
-
-















