RPS24 Antibody
-
中文名稱:RPS24兔多克隆抗體
-
貨號:CSB-PA020402LA01HU
-
規格:¥440
-
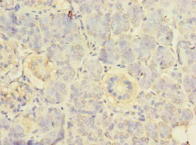
圖片:
-
其他:
產品詳情
-
產品名稱:Rabbit anti-Homo sapiens (Human) RPS24 Polyclonal antibody
-
Uniprot No.:
-
基因名:RPS24
-
別名:RPS2440S ribosomal protein S24 antibody; Small ribosomal subunit protein eS24 antibody
-
宿主:Rabbit
-
反應種屬:Human
-
免疫原:Recombinant Human 40S ribosomal protein S24 protein (2-133AA)
-
免疫原種屬:Homo sapiens (Human)
-
標記方式:Non-conjugated
本頁面中的產品,RPS24 Antibody (CSB-PA020402LA01HU),的標記方式是Non-conjugated。對于RPS24 Antibody,我們還提供其他標記。見下表:
-
克隆類型:Polyclonal
-
抗體亞型:IgG
-
純化方式:>95%, Protein G purified
-
濃度:It differs from different batches. Please contact us to confirm it.
-
保存緩沖液:Preservative: 0.03% Proclin 300
Constituents: 50% Glycerol, 0.01M PBS, PH 7.4 -
產品提供形式:Liquid
-
應用范圍:ELISA, IHC
-
推薦稀釋比:
Application Recommended Dilution IHC 1:20-1:200 -
Protocols:
-
儲存條件:Upon receipt, store at -20°C or -80°C. Avoid repeated freeze.
-
貨期:Basically, we can dispatch the products out in 1-3 working days after receiving your orders. Delivery time maybe differs from different purchasing way or location, please kindly consult your local distributors for specific delivery time.
-
用途:For Research Use Only. Not for use in diagnostic or therapeutic procedures.
相關產品
靶點詳情
-
功能:Required for processing of pre-rRNA and maturation of 40S ribosomal subunits.
-
基因功能參考文獻:
- findings suggest that two rare heterozygous truncating variations (RPS24 Q191X and CD300LF P261fsX266) are risk candidates for autism spectrum disorder. PMID: 25601189
- RPS24 gene may be a promising biomarker for therapy in human colon cancer and may have a potential application in the diagnosis or treatment of human colon cancer. PMID: 26149657
- Cells from Diamond-Blackfan anemia patients carrying mutations in RPS24 have defective pre-rRNA maturation, as in the case of RPS19 mutations. PMID: 18230666
-
相關疾病:Diamond-Blackfan anemia 3 (DBA3)
-
蛋白家族:Eukaryotic ribosomal protein eS24 family
-
組織特異性:Mature tissues, such as adult brain, skeletal muscle, heart, and kidney, express low levels, whereas tissues and organs with significant populations of proliferating cells, such as fetal brain, placenta, bone marrow, and various glandular organs, contain
-
數據庫鏈接:
Most popular with customers
-
-
YWHAB Recombinant Monoclonal Antibody
Applications: ELISA, WB, IHC, IF, FC
Species Reactivity: Human, Mouse, Rat
-
Phospho-YAP1 (S127) Recombinant Monoclonal Antibody
Applications: ELISA, WB, IHC
Species Reactivity: Human
-
-
-
-
-















