RPL15 Antibody
-
中文名稱:RPL15兔多克隆抗體
-
貨號:CSB-PA234128
-
規格:¥1100
-
圖片:
-
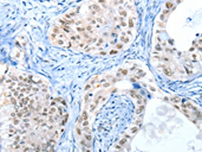
The image on the left is immunohistochemistry of paraffin-embedded Human colon cancer tissue using CSB-PA234128(RPL15 Antibody) at dilution 1/25, on the right is treated with fusion protein. (Original magnification: ×200)
-
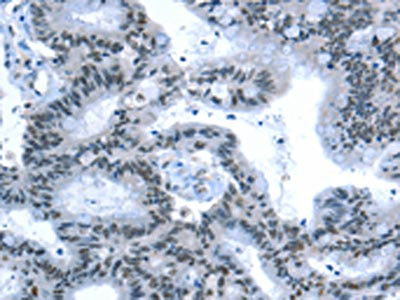
The image on the left is immunohistochemistry of paraffin-embedded Human cervical cancer tissue using CSB-PA234128(RPL15 Antibody) at dilution 1/25, on the right is treated with fusion protein. (Original magnification: ×200)
-
-
其他:
產品詳情
-
Uniprot No.:
-
基因名:RPL15
-
別名:60S ribosomal protein L15 antibody; EC45 antibody; FLJ26304 antibody; ribosomal protein L15 antibody; RL15_HUMAN antibody; RPL10 antibody; RPL15 antibody; RPLY10 antibody; RPYL10 antibody
-
宿主:Rabbit
-
反應種屬:Human,Mouse,Rat
-
免疫原:Fusion protein of Human RPL15
-
免疫原種屬:Homo sapiens (Human)
-
標記方式:Non-conjugated
-
抗體亞型:IgG
-
純化方式:Antigen affinity purification
-
濃度:It differs from different batches. Please contact us to confirm it.
-
保存緩沖液:-20°C, pH7.4 PBS, 0.05% NaN3, 40% Glycerol
-
產品提供形式:Liquid
-
應用范圍:ELISA,IHC
-
推薦稀釋比:
Application Recommended Dilution ELISA 1:2000-1:5000 IHC 1:25-1:100 -
Protocols:
-
儲存條件:Upon receipt, store at -20°C or -80°C. Avoid repeated freeze.
-
貨期:Basically, we can dispatch the products out in 1-3 working days after receiving your orders. Delivery time maybe differs from different purchasing way or location, please kindly consult your local distributors for specific delivery time.
-
用途:For Research Use Only. Not for use in diagnostic or therapeutic procedures.
相關產品
靶點詳情
-
基因功能參考文獻:
- Aurora kinase inhibitor danusertib negatively regulated AURKB/p70S6K/RPL15 axis with the involvement of PI3K/Akt/mTOR, AMPK, and p38 MAPK signaling pathways, leading to the induction of apoptosis and autophagy in human leukemia cells. PMID: 27612557
- Downregulation of RPL15 is associated with tumor progression in pancreatic ductal adenocarcinoma. PMID: 26498693
- These data identify RPL15 as a new gene involved in Diamond-Blackfan anemia. PMID: 23812780
- ISG56 interacts with ribosomal protein L15 in gastric cancer cells. PMID: 21612406
- RPL15 gene expression is decreased in both classic and follicular variants of papillary thyroid carcinoma. PMID: 21509594
- RPL15 promotes cell proliferation in gastric neoplasms PMID: 16608517
顯示更多
收起更多
-
相關疾病:Diamond-Blackfan anemia 12 (DBA12)
-
亞細胞定位:Membrane; Lipid-anchor.
-
蛋白家族:Eukaryotic ribosomal protein eL15 family
-
數據庫鏈接:
Most popular with customers
-
-
Phospho-YAP1 (S127) Recombinant Monoclonal Antibody
Applications: ELISA, WB, IHC
Species Reactivity: Human
-
-
-
-
-
VCP Recombinant Monoclonal Antibody
Applications: ELISA, WB, IHC, IF, IP
Species Reactivity: Human, Rat
-















