RPA2 Antibody
-
中文名稱:RPA2兔多克隆抗體
-
貨號:CSB-PA01555A0Rb
-
規格:¥440
-
圖片:
-
Western Blot
Positive WB detected in: 293 whole cell lysate
All lanes: RPA2 antibody at 2µg/ml
Secondary
Goat polyclonal to rabbit IgG at 1/50000 dilution
Predicted band size: 30, 31, 39 kDa
Observed band size: 30 kDa -
Immunohistochemistry of paraffin-embedded human colon cancer using CSB-PA01555A0Rb at dilution of 1:100
-
Immunofluorescent analysis of Hela cells using CSB-PA01555A0Rb at dilution of 1:100 and Alexa Fluor 488-congugated AffiniPure Goat Anti-Rabbit IgG(H+L)
-
Immunoprecipitating RPA2 in Hela whole cell lysate
Lane 1: Rabbit control IgG (1µg) instead of CSB-PA01555A0Rb in Hela whole cell lysate. For western blotting, a HRP-conjugated Protein G antibody was used as the secondary antibody (1/2000)
Lane 2: CSB-PA01555A0Rb (6µg) + Hela whole cell lysate (500µg)
Lane 3: Hela whole cell lysate (10µg) -
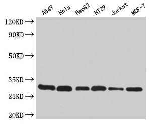
Western Blot
Positive WB detected in: A549 whole cell lysate, Hela whole cell lysate, HepG2 whole cell lysate, HT29 whole cell lysate, Jurkat whole cell lysate, MCF-7 whole cell lysate
All lanes: RPA2 antibody at 2µg/ml
Secondary
Goat polyclonal to rabbit IgG at 1/50000 dilution
Predicted band size: 30, 31, 39 kDa
Observed band size: 30 kDa
-
-
其他:
產品詳情
-
產品名稱:Rabbit anti-Homo sapiens (Human) RPA2 Polyclonal antibody
-
Uniprot No.:
-
基因名:
-
別名:60S acidic ribosomal protein P1 antibody; AA409079 antibody; AI325195 antibody; AU020965 antibody; ik:tdsubc_2g1 antibody; M(2)21C antibody; MGC137236 antibody; OTTHUMP00000004008 antibody; p32 antibody; p34 antibody; RCJMB04_6d17 replication protein A2; 32kDa antibody; REPA2 antibody; Replication factor A protein 2 antibody; Replication protein A 32 kDa subunit antibody; Replication protein A 32kDa subunit antibody; Replication protein A 34 kDa subunit antibody; Replication protein A antibody; Replication Protein A2 (32kDa) antibody; Replication protein A2 antibody; Replication protein A2; 32kDa antibody; RF-A protein 2 antibody; Rf-A2 antibody; RFA antibody; RFA2_HUMAN antibody; RP-A p32 antibody; RP-A p34 antibody; RP21C antibody; RPA 2 antibody; RPA 32 antibody; RPA antibody; Rpa2 antibody; RPA32 antibody; RPA34 antibody; RpLP1 antibody; RpP2 antibody; xx:tdsubc_2g1 antibody; zgc:109822 antibody
-
宿主:Rabbit
-
反應種屬:Human
-
免疫原:Recombinant Human Replication protein A 32 kDa subunit protein (1-267AA)
-
免疫原種屬:Homo sapiens (Human)
-
標記方式:Non-conjugated
本頁面中的產品,RPA2 Antibody (CSB-PA01555A0Rb),的標記方式是Non-conjugated。對于RPA2 Antibody,我們還提供其他標記。見下表:
-
克隆類型:Polyclonal
-
抗體亞型:IgG
-
純化方式:>95%, Protein G purified
-
濃度:It differs from different batches. Please contact us to confirm it.
-
保存緩沖液:Preservative: 0.03% Proclin 300
Constituents: 50% Glycerol, 0.01M PBS, PH 7.4 -
產品提供形式:Liquid
-
應用范圍:ELISA, WB, IHC, IF, IP
-
推薦稀釋比:
Application Recommended Dilution WB 1:1000-1:5000 IHC 1:20-1:200 IF 1:50-1:200 IP 1:200-1:2000 -
Protocols:
-
儲存條件:Upon receipt, store at -20°C or -80°C. Avoid repeated freeze.
-
貨期:Basically, we can dispatch the products out in 1-3 working days after receiving your orders. Delivery time maybe differs from different purchasing way or location, please kindly consult your local distributors for specific delivery time.
-
用途:For Research Use Only. Not for use in diagnostic or therapeutic procedures.
相關產品
靶點詳情
-
功能:As part of the heterotrimeric replication protein A complex (RPA/RP-A), binds and stabilizes single-stranded DNA intermediates, that form during DNA replication or upon DNA stress. It prevents their reannealing and in parallel, recruits and activates different proteins and complexes involved in DNA metabolism. Thereby, it plays an essential role both in DNA replication and the cellular response to DNA damage. In the cellular response to DNA damage, the RPA complex controls DNA repair and DNA damage checkpoint activation. Through recruitment of ATRIP activates the ATR kinase a master regulator of the DNA damage response. It is required for the recruitment of the DNA double-strand break repair factors RAD51 and RAD52 to chromatin in response to DNA damage. Also recruits to sites of DNA damage proteins like XPA and XPG that are involved in nucleotide excision repair and is required for this mechanism of DNA repair. Plays also a role in base excision repair (BER) probably through interaction with UNG. Also recruits SMARCAL1/HARP, which is involved in replication fork restart, to sites of DNA damage. May also play a role in telomere maintenance.
-
基因功能參考文獻:
- RPA, best known for its role in DNA replication and repair, recruits HIRA to promoters and enhancers and regulates deposition of newly synthesized H3.3 to these regulatory elements for gene regulation. PMID: 28107649
- Single point mutations in the RPA32 subunit of RPA that abolish interaction with RFWD3 also inhibit interstrand crossling repair, demonstrating that RPA-mediated RFWD3 recruitment to stalled replication forks is important for ICL repair. PMID: 28575657
- The authors show that Vpr can form a trimolecular complex with UNG2 and RPA32 and the positive effect of UNG2 and RPA32 on the reverse transcription process leading to optimal virus replication and dissemination between the primary target cells of HIV-1. PMID: 27068393
- RPA32 phosphorylation regulates replication arrest, recombination, late origin firing, and mitotic catastrophe PMID: 24819595
- Expression of mutant RPA2 or loss of PALB2 expression led to significant DNA damage after replication stress, a defect accentuated by poly-ADP (adenosine diphosphate) ribose polymerase inhibitors. PMID: 25113031
- Conserved motifs are required for RPA32 binding the the N-terminus of SMARCAL1. PMID: 24910198
- study reports the characterization of the RPA32C-SMARCAL1 interface at the molecular level; implications of results are discussed with respect to the recruitment of SMARCAL1 and other DNA damage response and repair proteins to stalled replication forks PMID: 24730652
- study concludes RPA2 expression is translationally regulated via internal ribosome entry site and by eIF3a and that this regulation is partly accountable for cellular response to DNA damage and survival. PMID: 23393223
- this study has explored the role of RPA32 phosphorylation at CDK and ATR sites and propose that phosphorylation of the RPA32 subunit is dispensable for checkpoint activation induced by replication stress with aphidicolin. PMID: 23047005
- 4E-BP3 regulates eIF4E-mediated nuclear mRNA export and interacts with replication protein A2 PMID: 22684010
- Data show that the R88C variant impairs binding of the R88C variant impairs binding of uracil-DNA glycosylase UNG2 to replication protein A RPA2. PMID: 22521144
- Replication protein A1, replication protein A2, and cyclins D2 and D3 seem to have a parallel role in the promotion of cell cycle in astrocytic tumors being implicated in the malignant progression of these neoplasms. PMID: 21496876
- RPA2 up-regulation may be involved in the growth and/or survival of BRCA1 tumor cells and useful in immunohistochemical discrimination of triple-negative BRCA1 tumors. PMID: 21137066
- At the subunit level, 13 proteins out of 30 examined may interact with RPA2. PMID: 20679368
- data suggest that RPA2 hyperphosphorylation plays a critical role in maintenance of genomic stability and cell survival after a DNA replication block via promotion of homologus recombination PMID: 20130019
- Data suggest that PP4-mediated dephosphorylation of RPA2 is necessary for an efficient DNA-damage response. PMID: 20154705
- RPA32, critical for cell proliferation and maintenance of genome stability, are markedly down-regulated, Data hypothesized that their DNA-related functions could be partially limited in TRAIL-resistant HL-60 cells. PMID: 19834905
- Phosphorylation of the RPA2 subunit is observed after exposure of cells to ionizing radiation (IR) and other DNA-damaging agents, which implicates the modified protein in the regulation of DNA replication after DNA damage or in DNA repair. PMID: 11731442
- RPA2 binds to menin and has a role in multiple endocrine neoplasia PMID: 12509449
- C-terminal domain of hRPA32 subunit (RPA32C) facilitates initiation of SV40 replication. PMID: 15793585
- in response to UV-induced DNA damage, ATR rapidly phosphorylates RPA2, disrupting its association with replication centers in the S-phase and contributing to the inhibition of DNA replication PMID: 17035231
- Determination at single-nucleotide resolution the relative positions of the single-stranded DNA with interacting intrinsic tryptophans of RPA32. PMID: 17583916
- RPA phosphorylation facilitates chromosomal DNA repair. PMID: 17928296
- RPA32 is extensively phosphorylated after the induction of EBV lytic replication. Rad51 and RPA32 are necessary for the completion of EBV lytic infection. PMID: 19386720
- The N-terminus of RPA1 and phosphorylation of RPA2 regulate RPA interactions with the MRE11-RAD50-NBS1 (MRN) complex and are important in the response to DNA damage. PMID: 19586055
- mitotic phosphorylation of RPA2 starts at the onset of mitosis, and dephosphorylation occurs during late cytokinesis. PMID: 19671522
顯示更多
收起更多
-
亞細胞定位:Nucleus. Nucleus, PML body.
-
蛋白家族:Replication factor A protein 2 family
-
數據庫鏈接:
Most popular with customers
-
-
Phospho-YAP1 (S127) Recombinant Monoclonal Antibody
Applications: ELISA, WB, IHC
Species Reactivity: Human
-
-
-
-
-
-















