ROPN1 Antibody
-
中文名稱:ROPN1兔多克隆抗體
-
貨號:CSB-PA888012LA01HU
-
規格:¥440
-
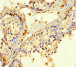
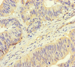
圖片:
-
其他:
產品詳情
-
產品名稱:Rabbit anti-Homo sapiens (Human) ROPN1 Polyclonal antibody
-
Uniprot No.:
-
基因名:
-
別名:ROPN1 antibody; ROPN1A antibody; Ropporin-1A antibody; Cancer/testis antigen 91 antibody; CT91 antibody; Rhophilin-associated protein 1A antibody
-
宿主:Rabbit
-
反應種屬:Human
-
免疫原:Recombinant Human Ropporin-1A protein (1-212AA)
-
免疫原種屬:Homo sapiens (Human)
-
標記方式:Non-conjugated
本頁面中的產品,ROPN1 Antibody (CSB-PA888012LA01HU),的標記方式是Non-conjugated。對于ROPN1 Antibody,我們還提供其他標記。見下表:
-
克隆類型:Polyclonal
-
抗體亞型:IgG
-
純化方式:>95%, Protein G purified
-
濃度:It differs from different batches. Please contact us to confirm it.
-
保存緩沖液:Preservative: 0.03% Proclin 300
Constituents: 50% Glycerol, 0.01M PBS, PH 7.4 -
產品提供形式:Liquid
-
應用范圍:ELISA, IHC
-
推薦稀釋比:
Application Recommended Dilution IHC 1:20-1:200 -
Protocols:
-
儲存條件:Upon receipt, store at -20°C or -80°C. Avoid repeated freeze.
-
貨期:Basically, we can dispatch the products out in 1-3 working days after receiving your orders. Delivery time maybe differs from different purchasing way or location, please kindly consult your local distributors for specific delivery time.
-
用途:For Research Use Only. Not for use in diagnostic or therapeutic procedures.
相關產品
靶點詳情
-
功能:Important for male fertility. With ROPN1L, involved in fibrous sheath integrity and sperm motility, plays a role in PKA-dependent signaling processes required for spermatozoa capacitation.
-
基因功能參考文獻:
- There is downregulation of both ROPN1 and CABYR in asthenozoospermic samples and importantly, a positive correlation between the expression of the two genes, suggesting that ROPN1 and CABYR co-expression is a prerequisite for normal flagellar function and sperm motility. PMID: 29247344
- Ropporin gene expression is related to the sperm motility. Its abnormal expression in the sperm of asthenozoospermic men with varicocele is associated with impaired sperm motility that is improved after varicocelectomy. PMID: 25704993
- Lack of ROPN1 had no effect on ciliary motility. PMID: 22021175
- We suggest that ropporin is a promising target for MM immunotherapy, as we were able to generate human leukocyte antigen class I-restricted cytotoxic lymphocytes able to kill autologous MM cells. PMID: 21654522
- CABYR variants form a complex not only with the scaffolding protein AKAP3 but also with another RII-like domain-containing protein in the sperm fibrous sheath. PMID: 21240291
- ropporin was predominantly expressed in round spermatids in human testis, and located in the principal piece and end piece of spermatozoa flagella. Expression level of ropporin was significantly lower in asthenozoospermic men than in normozoospermic men. PMID: 20705794
- One SNP (rs4499545) in the ROPN1-KALRN intergenic region showed significant allelic and genotypic association with ischemic stroke risk. PMID: 20107840
- Ropporin gene expression in tumor cells is associated with the presence of high titer IgG antibodies against Ropporin, suggesting the in vivo translation of the mRNA into protein and the immunogenicity of the protein to the autologous hosts. PMID: 17551920
顯示更多
收起更多
-
亞細胞定位:Cell projection, cilium, flagellum.
-
蛋白家族:Ropporin family
-
組織特異性:Testis specific in adult. Overexpressed in hematologic tumor cells.
-
數據庫鏈接:
Most popular with customers
-
-
YWHAB Recombinant Monoclonal Antibody
Applications: ELISA, WB, IHC, IF, FC
Species Reactivity: Human, Mouse, Rat
-
Phospho-YAP1 (S127) Recombinant Monoclonal Antibody
Applications: ELISA, WB, IHC
Species Reactivity: Human
-
-
-
-
-















