RNF185 Antibody
-
中文名稱:RNF185兔多克隆抗體
-
貨號:CSB-PA354431
-
規格:¥1100
-
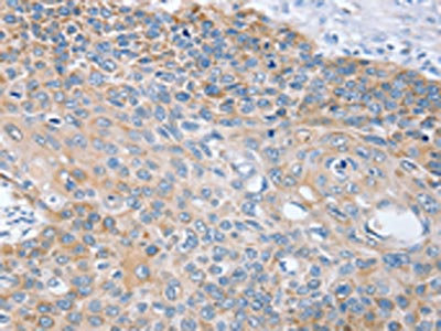
圖片:
-
The image on the left is immunohistochemistry of paraffin-embedded Human esophagus cancer tissue using CSB-PA354431(RNF185 Antibody) at dilution 1/25, on the right is treated with fusion protein. (Original magnification: ×200)
-
The image on the left is immunohistochemistry of paraffin-embedded Human brain tissue using CSB-PA354431(RNF185 Antibody) at dilution 1/25, on the right is treated with fusion protein. (Original magnification: ×200)
-
-
其他:
產品詳情
-
Uniprot No.:
-
基因名:
-
別名:RNF185; E3 ubiquitin-protein ligase RNF185; RING finger protein 185; RING-type E3 ubiquitin transferase RNF185
-
宿主:Rabbit
-
反應種屬:Human,Mouse,Rat
-
免疫原:Fusion protein of Human RNF185
-
免疫原種屬:Homo sapiens (Human)
-
標記方式:Non-conjugated
-
抗體亞型:IgG
-
純化方式:Antigen affinity purification
-
濃度:It differs from different batches. Please contact us to confirm it.
-
保存緩沖液:-20°C, pH7.4 PBS, 0.05% NaN3, 40% Glycerol
-
產品提供形式:Liquid
-
應用范圍:ELISA,IHC
-
推薦稀釋比:
Application Recommended Dilution ELISA 1:1000-1:2000 IHC 1:10-1:50 -
Protocols:
-
儲存條件:Upon receipt, store at -20°C or -80°C. Avoid repeated freeze.
-
貨期:Basically, we can dispatch the products out in 1-3 working days after receiving your orders. Delivery time maybe differs from different purchasing way or location, please kindly consult your local distributors for specific delivery time.
-
用途:For Research Use Only. Not for use in diagnostic or therapeutic procedures.
相關產品
靶點詳情
-
功能:E3 ubiquitin-protein ligase that regulates selective mitochondrial autophagy by mediating 'Lys-63'-linked polyubiquitination of BNIP1. Acts in the endoplasmic reticulum (ER)-associated degradation (ERAD) pathway, which targets misfolded proteins that accumulate in the endoplasmic reticulum (ER) for ubiquitination and subsequent proteasome-mediated degradation. Protects cells from ER stress-induced apoptosis. Responsible for the cotranslational ubiquitination and degradation of CFTR in the ERAD pathway. Preferentially associates with the E2 enzymes UBE2J1 and UBE2J2.
-
基因功能參考文獻:
- increased RNF185 expression facilitated GC cell migration in vitro and promoted GC metastasis in vivo by downregulating JWA expression. PMID: 29481911
- this study uncovers RNF185 as the first E3 ubiquitin ligase of cyclic GMP-AMP synthase (cGAS), shedding light on the regulation of cGAS activity in innate immune responses PMID: 28273161
- these results indicate that RNF185 negatively regulates osteogenesis through the degradation of Dvl2 and down-regulation of canonical Wnt signaling pathway and suggest a possible therapeutic target in osteoporosis. PMID: 24727453
- data thus identify RNF185 and RNF5 as a novel E3 ligase module that is central to the control of CFTR degradation. PMID: 24019521
- Human BNIP1 colocalizes with RNF185 at mitochondria and is polyubiquitinated by RNF185 through K63-based ubiquitin linkage in vivo. PMID: 21931693
顯示更多
收起更多
-
亞細胞定位:Mitochondrion outer membrane; Multi-pass membrane protein. Endoplasmic reticulum membrane; Multi-pass membrane protein.
-
組織特異性:Ubiquitously expressed.
-
數據庫鏈接:
Most popular with customers
-
-
YWHAB Recombinant Monoclonal Antibody
Applications: ELISA, WB, IHC, IF, FC
Species Reactivity: Human, Mouse, Rat
-
Phospho-YAP1 (S127) Recombinant Monoclonal Antibody
Applications: ELISA, WB, IHC
Species Reactivity: Human
-
-
-
-
-















