RNF135 Antibody
-
中文名稱:RNF135兔多克隆抗體
-
貨號:CSB-PA811599ESR1HU
-
規格:¥440
-
圖片:
-
Western Blot
Positive WB detected in: SY5Y whole cell lysate(30μg), 293T whole cell lysate(30μg), JK whole cell lysate(30μg), U87 whole cell lysate(30μg), PC-12 whole cell lysate(30μg), 786-O whole cell lysate(30μg),U251 whole cell lysate(30μg),MCF7 whole cell lysate(30μg),Mouse Kidney tissue lysate(30μg)
All lanes: RNF135 antibody at 1:1000
Secondary
Goat polyclonal to rabbit IgG at 1/40000 dilution
Predicted band size: 48/23/31 kDa
Observed band size: 48,31 kDa
Exposure time: 120s -
IHC image of CSB-PA811599ESR1HU diluted at 1:100 and staining in paraffin-embedded human kidney tissue performed on a Leica BondTM system. After dewaxing and hydration, antigen retrieval was mediated by high pressure in a citrate buffer (pH 6.0). Section was blocked with 10% normal goat serum 30min at RT. Then primary antibody (1% BSA) was incubated at 4°C overnight. The primary is detected by a Goat anti-rabbit polymer IgG labeled by HRP and visualized using 0.05% DAB. Secondary antibody only control: uses 1% BSA instead of primary antibody
-
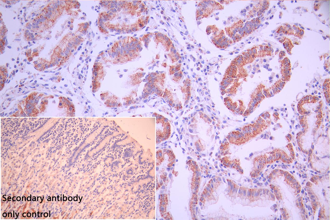
IHC image of CSB-PA811599ESR1HU diluted at 1:100 and staining in paraffin-embedded human stomach tissue performed on a Leica BondTM system. After dewaxing and hydration, antigen retrieval was mediated by high pressure in a citrate buffer (pH 6.0). Section was blocked with 10% normal goat serum 30min at RT. Then primary antibody (1% BSA) was incubated at 4°C overnight. The primary is detected by a Goat anti-rabbit polymer IgG labeled by HRP and visualized using 0.05% DAB. Secondary antibody only control: uses 1% BSA instead of primary antibody
-
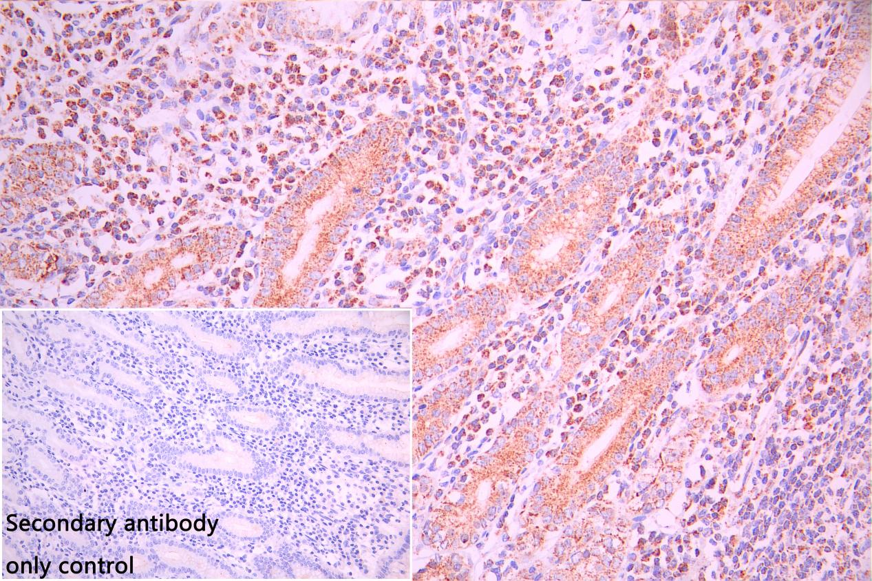
IHC image of CSB-PA811599ESR1HU diluted at 1:100 and staining in paraffin-embedded human stomach cancerperformed on a Leica BondTM system. After dewaxing and hydration, antigen retrieval was mediated by high pressure in a citrate buffer (pH 6.0). Section was blocked with 10% normal goat serum 30min at RT. Then primary antibody (1% BSA) was incubated at 4°C overnight. The primary is detected by a Goat anti-rabbit polymer IgG labeled by HRP and visualized using 0.05% DAB. Secondary antibody only control: uses 1% BSA instead of primary antibody
-
-
其他:
產品詳情
-
產品名稱:Rabbit anti-Homo sapiens (Human) RNF135 Polyclonal antibody
-
Uniprot No.:
-
基因名:RNF135
-
別名:E3 ubiquitin-protein ligase RNF135 antibody; L13 antibody; MGC13061 antibody; MMFD antibody; REUL antibody; RIG-I E3 ubiquitin ligase antibody; RING finger protein 135 antibody; Riplet antibody; RN135_HUMAN antibody; Rnf135 antibody
-
宿主:Rabbit
-
反應種屬:Human, Mouse
-
免疫原:Synthesized peptide derived from human RNF135
-
免疫原種屬:Homo sapiens (Human)
-
克隆類型:Polyclonal
-
抗體亞型:IgG
-
純化方式:Antigen Affinity Purified
-
濃度:It differs from different batches. Please contact us to confirm it.
-
保存緩沖液:Liquid in PBS containing 50% glycerol, 0.5% BSA and 0.02% sodium azide
-
產品提供形式:Liquid
-
應用范圍:ELISA, WB, IHC
-
推薦稀釋比:
Application Recommended Dilution WB 1:500-1:2000 IHC 1:20-1:200 -
Protocols:
-
儲存條件:Upon receipt, store at -20°C or -80°C. Avoid repeated freeze.
-
貨期:Basically, we can dispatch the products out in 1-3 working days after receiving your orders. Delivery time maybe differs from different purchasing way or location, please kindly consult your local distributors for specific delivery time.
-
用途:For Research Use Only. Not for use in diagnostic or therapeutic procedures.
相關產品
靶點詳情
-
功能:E2-dependent E3 ubiquitin-protein ligase that functions as a RIG-I/DDX58 coreceptor in the sensing of viral RNAs in cell cytoplasm and the activation of the antiviral innate immune response. Together with the UBE2D3, UBE2N and UB2V1 E2 ligases, catalyzes the 'Lys-63'-linked polyubiquitination of RIG-I/DDX58 oligomerized on viral RNAs, an essential step in the activation of the RIG-I signaling pathway. Through a ubiquitin-independent parallel mechanism, which consists in bridging RIG-I/DDX58 filaments forming on longer viral RNAs, further activates the RIG-I signaling pathway. This second mechanism that synergizes with the ubiquitin-dependent one would thereby allow an RNA length-dependent regulation of the RIG-I signaling pathway (Probable). Associated with the E2 ligase UBE2N, also constitutively synthesizes unanchored 'Lys-63'-linked polyubiquitin chains that may also activate the RIG-I signaling pathway.
-
基因功能參考文獻:
- Together with Riplet, Ube2D3 promotes covalent conjugation of polyubiquitin chains to RIG-I, while Ube2N preferentially facilitates production of unanchored chains. In the presence of these chains, RIG-I induces MAVS aggregation directly on the mitochondria. Data thus reveal two essential mechanisms underlying the activation of RIG-I and MAVS for triggering innate immune signaling in response to viral infection in cells. PMID: 28469175
- In-depth analysis of population-differentiated regions indicated that the coding gene, RNF135, represented a trans-regulation hotspot via cis-regulation by the population-specific variants in the region of selective sweep. PMID: 27992444
- findings demonstrate the biological effects of RNF135 in glioblastoma cell proliferation, migration and cell cycle, and its role in the progression of glioblastoma may be associated with the ERK signal transduction pathway. PMID: 26856755
- Data showed that the presence of the RNF135 K115 variant in the genotype of patients with autism was statistically significant. PMID: 26368817
- Riplet-mediated K63-linked polyubiquitination released RIG-I RD autorepression, which allowed the access of positive factors to the RIG-I protein. PMID: 23950712
- REUL is an E3 ubiquitin ligase of RIG-I and specifically stimulates RIG-I-mediated innate antiviral activity PMID: 19484123
- These data identify RNF135 as causative of a new overgrowth syndrome and demonstrate that RNF135 haploinsufficiency contributes to the phenotype of NF1 microdeletion cases. PMID: 17632510
- identify an alternative factor, Riplet/RNF135, that promotes RIG-I activation independent of TRIM25 PMID: 19017631
- RNF135 mutations are not present in patients with Sotos syndrome-like features. PMID: 19291764
顯示更多
收起更多
-
相關疾病:Macrocephaly, macrosomia, facial dysmorphism syndrome (MMFD)
-
亞細胞定位:Cytoplasm. Cytoplasm, Stress granule.
-
組織特異性:Expressed in skeletal muscle, spleen, kidney, placenta, prostate, stomach, thyroid and tongue. Also weakly expressed in heart, thymus, liver and lung.
-
數據庫鏈接:
Most popular with customers
-
-
YWHAB Recombinant Monoclonal Antibody
Applications: ELISA, WB, IHC, IF, FC
Species Reactivity: Human, Mouse, Rat
-
-
-
-
-
-















