RNF125 Antibody
-
中文名稱:RNF125兔多克隆抗體
-
貨號:CSB-PA836205ESR2HU
-
規格:¥440
-
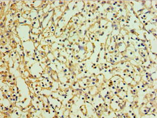
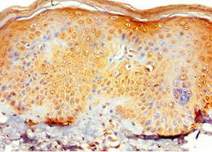
圖片:
-
其他:
產品詳情
-
產品名稱:Rabbit anti-Homo sapiens (Human) RNF125 Polyclonal antibody
-
Uniprot No.:
-
基因名:RNF125
-
別名:RNF125 antibody; E3 ubiquitin-protein ligase RNF125 antibody; EC 2.3.2.27 antibody; RING finger protein 125 antibody; T-cell RING activation protein 1 antibody; TRAC-1 antibody
-
宿主:Rabbit
-
反應種屬:Human
-
免疫原:Recombinant Human E3 ubiquitin-protein ligase RNF125 protein (1-232AA)
-
免疫原種屬:Homo sapiens (Human)
-
標記方式:Non-conjugated
-
克隆類型:Polyclonal
-
抗體亞型:IgG
-
純化方式:Antigen Affinity Purified
-
濃度:It differs from different batches. Please contact us to confirm it.
-
保存緩沖液:PBS with 0.02% sodium azide, 50% glycerol, pH7.3.
-
產品提供形式:Liquid
-
應用范圍:ELISA, IHC
-
推薦稀釋比:
Application Recommended Dilution IHC 1:20-1:200 -
Protocols:
-
儲存條件:Upon receipt, store at -20°C or -80°C. Avoid repeated freeze.
-
貨期:Basically, we can dispatch the products out in 1-3 working days after receiving your orders. Delivery time maybe differs from different purchasing way or location, please kindly consult your local distributors for specific delivery time.
-
用途:For Research Use Only. Not for use in diagnostic or therapeutic procedures.
相關產品
靶點詳情
-
功能:E3 ubiquitin-protein ligase that mediates ubiquitination and subsequent proteasomal degradation of target proteins, such as DDX58/RIG-I, MAVS/IPS1, IFIH1/MDA5, JAK1 and p53/TP53. Acts as a negative regulator of type I interferon production by mediating ubiquitination of DDX58/RIG-I at 'Lys-181', leading to DDX58/RIG-I degradation. Mediates ubiquitination and subsequent degradation of p53/TP53. Mediates ubiquitination and subsequent degradation of JAK1. Acts as a positive regulator of T-cell activation.
-
基因功能參考文獻:
- this study shows that RNF125 activates Interleukin-36 receptor signaling and contributes to its turnover PMID: 29176319
- for the ubiquitin ligase RNF125 that, in addition to the RING domain, a C2HC Zn finger (ZnF) is crucial for activity. PMID: 27411375
- high RNF125 expression is related with aggressive characteristics and unfavorable prognosis of GBC patients; RNF125 promotes the invasion and metastasis of human GBCs via activating the TGF-beta1-SMAD3-ID1 signaling pathway. PMID: 28611292
- study identifies new gene-type zinc finger protein 125 (RNF125) as a negative regulator of TRIM14 in the innate antiviral immune response PMID: 28476934
- we identified the downregulation of the ubiquitin ligase RNF125 in BRAFi-resistant melanomas PMID: 26027934
- Results indicate that the nucleotide sequence in the 3' untranslated region (3' UTR) of ring finger protein 125 (RNF125) is a potential microRNA miR-15b targeting site. PMID: 26202983
- studies of the RNF125 pathway point to upregulation of RIG-I-IPS1-MDA5 and/or disruption of the PI3K-AKT and interferon signaling pathways as the putative final effectors PMID: 25196541
- In controls, RNF125 is the highest expressed gene, whereas in HIV infection progressors, RIG-I is either the highest expressed gene or is expressed similarly to RNF125 and TRIM25. PMID: 24131985
- study reports human bocavirus VP2 modulates IFN pathway by targeting the ring finger protein 125, a negative regulator of type I IFN signaling, which conjugates Lys(48)-linked ubiquitination to retinoic acid-inducible gene-I and leads to the proteasome-dependent degradation of RIG-I PMID: 23772026
- These results suggest that RNF125/TRAC-1 could function to recruit host factor(s) controlling HIV-1 transcription to the ubiquitin-proteasome pathway. PMID: 17643463
- TRAC-1 associates with membranes and is excluded from the nucleus through myristoylation PMID: 17990982
顯示更多
收起更多
-
相關疾病:Tenorio syndrome (TNORS)
-
亞細胞定位:Golgi apparatus membrane; Lipid-anchor.
-
組織特異性:Predominantly expressed in lymphoid tissues, including bone marrow, spleen and thymus. Also weakly expressed in other tissues. Predominant in the CD4(+) and CD8(+) T-cells, suggesting that it is preferentially confined to T-cells.
-
數據庫鏈接:
Most popular with customers
-
YWHAB Recombinant Monoclonal Antibody
Applications: ELISA, WB, IHC, IF, FC
Species Reactivity: Human, Mouse, Rat
-
Phospho-YAP1 (S127) Recombinant Monoclonal Antibody
Applications: ELISA, WB, IHC
Species Reactivity: Human
-
-
-
-
-
-















