RNF11 Antibody
-
中文名稱:RNF11兔多克隆抗體
-
貨號:CSB-PA134767
-
規格:¥1100
-
圖片:
-
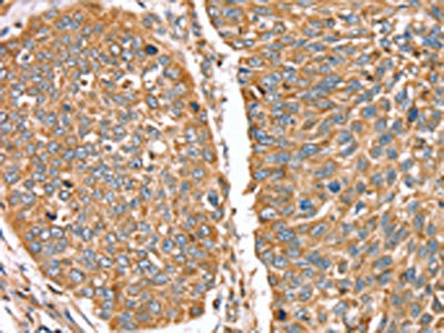
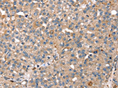
The image on the left is immunohistochemistry of paraffin-embedded Human breast cancer tissue using CSB-PA134767(RNF11 Antibody) at dilution 1/40, on the right is treated with fusion protein. (Original magnification: ×200)
-
The image on the left is immunohistochemistry of paraffin-embedded Human lung cancer tissue using CSB-PA134767(RNF11 Antibody) at dilution 1/40, on the right is treated with fusion protein. (Original magnification: ×200)
-
-
其他:
產品詳情
-
Uniprot No.:
-
基因名:RNF11
-
別名:CGI 123 antibody; RING finger protein 11 antibody; RNF11 antibody; RNF11_HUMAN antibody; Sid 1669 antibody; SID1669 antibody
-
宿主:Rabbit
-
反應種屬:Human,Mouse
-
免疫原:Fusion protein of Human RNF11
-
免疫原種屬:Homo sapiens (Human)
-
標記方式:Non-conjugated
-
抗體亞型:IgG
-
純化方式:Antigen affinity purification
-
濃度:It differs from different batches. Please contact us to confirm it.
-
保存緩沖液:-20°C, pH7.4 PBS, 0.05% NaN3, 40% Glycerol
-
產品提供形式:Liquid
-
應用范圍:ELISA,IHC
-
推薦稀釋比:
Application Recommended Dilution ELISA 1:2000-1:5000 IHC 1:25-1:100 -
Protocols:
-
儲存條件:Upon receipt, store at -20°C or -80°C. Avoid repeated freeze.
-
貨期:Basically, we can dispatch the products out in 1-3 working days after receiving your orders. Delivery time maybe differs from different purchasing way or location, please kindly consult your local distributors for specific delivery time.
-
用途:For Research Use Only. Not for use in diagnostic or therapeutic procedures.
相關產品
靶點詳情
-
功能:Essential component of a ubiquitin-editing protein complex, comprising also TNFAIP3, ITCH and TAX1BP1, that ensures the transient nature of inflammatory signaling pathways. Promotes the association of TNFAIP3 to RIPK1 after TNF stimulation. TNFAIP3 deubiquitinates 'Lys-63' polyubiquitin chains on RIPK1 and catalyzes the formation of 'Lys-48'-polyubiquitin chains. This leads to RIPK1 proteasomal degradation and consequently termination of the TNF- or LPS-mediated activation of NF-kappa-B. Recruits STAMBP to the E3 ubiquitin-ligase SMURF2 for ubiquitination, leading to its degradation by the 26S proteasome.
-
基因功能參考文獻:
- data suggest for the first time that the choice of binding partners for SMURF2 can sustain or repress TGFbeta signaling, and RNF11 may promote TGFbeta-induced cell migration. PMID: 28292929
- Up-regulation of COPII components requires the transcriptional regulator RNF11, which localizes to early endosomes and appears additionally in the cell nucleus upon continuous EGF stimulation. PMID: 27872256
- RNF11 is at the center of a finally regulated system where it acts both as an adaptor and a modulator of itch-mediated control of ubiquitination events underlying membrane traffic. PMID: 25195858
- Our data exemplifies the relevance of RNF11 and persistent NF-kappaB activation in Parkinson's disease PMID: 23669642
- The negative influence that perturbation of RNF11 and SARA levels exerts on the lysosomal degradation of EGFRs could underscore the significance of overexpression of RNF11 in certain cancers. PMID: 23222715
- RNF11 functions together with TAX1BP1 to restrict antiviral signaling and IFN-beta production. PMID: 23308279
- RNF11 negatively regulates canonical NF-kappaB signaling in the nervous system. PMID: 22507528
- Microglial RNF11 is a negative regulator of NF-kappaB signalling pathway and could be a strong potential target for modulating inflammatory responses in neurodegenerative diseases. PMID: 22975135
- Data show that membrane anchoring through acylation is necessary for RNF11 to be post-translationally modified by the addition of several ubiquitin moieties. PMID: 20676133
- overexpression of RNF11, through its interaction with Smurf2, can restore TGFbeta responsiveness in transfected tumor cells PMID: 14562029
- characterization of ring finger protein 11 PMID: 16123141
- RNF11 is a small RING E3 ligase that affects transforming growth factorbeta and EGF-R signaling and is overexpressed in invasive breast cancers PMID: 16925951
- these findings identify RNF11 as a strong candidate gene at the PARK10 locus and highlight its potential significance in the development of the common form of Parkinson disease PMID: 17917589
- Analysis reveals that the main determinants of selectivity between ubiquitin ligases RNF11 and E2 ubiquitin-conjugating enzymes resides on ring domains, rather than on the E2s. PMID: 18615712
- RNF11, together with TAX1BP1 and Itch, is an essential component of an A20 ubiquitin-editing protein complex that ensures transient activation of inflammatory signalling pathways. PMID: 19131965
顯示更多
收起更多
-
亞細胞定位:Early endosome. Recycling endosome. Cytoplasm. Nucleus.
-
組織特異性:Expressed at low levels in the lung, liver, kidney, pancreas, spleen, prostate, thymus, ovary, small intestine, colon, and peripheral blood lymphocytes, and, at intermediate levels, in the testis, heart, brain and placenta. Highest expression in the skele
-
數據庫鏈接:
Most popular with customers
-
-
YWHAB Recombinant Monoclonal Antibody
Applications: ELISA, WB, IHC, IF, FC
Species Reactivity: Human, Mouse, Rat
-
Phospho-YAP1 (S127) Recombinant Monoclonal Antibody
Applications: ELISA, WB, IHC
Species Reactivity: Human
-
-
-
-
-















