RND1 Antibody
-
中文名稱:RND1兔多克隆抗體
-
貨號:CSB-PA835694LA01HU
-
規格:¥440
-
圖片:
-
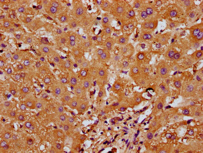
IHC image of CSB-PA835694LA01HU diluted at 1:200 and staining in paraffin-embedded human liver tissue performed on a Leica BondTM system. After dewaxing and hydration, antigen retrieval was mediated by high pressure in a citrate buffer (pH 6.0). Section was blocked with 10% normal goat serum 30min at RT. Then primary antibody (1% BSA) was incubated at 4°C overnight. The primary is detected by a biotinylated secondary antibody and visualized using an HRP conjugated SP system.
-
Immunofluorescence staining of A549 cells with CSB-PA835694LA01HU at 1:66, counter-stained with DAPI. The cells were fixed in 4% formaldehyde, permeabilized using 0.2% Triton X-100 and blocked in 10% normal Goat Serum. The cells were then incubated with the antibody overnight at 4°C. The secondary antibody was Alexa Fluor 488-congugated AffiniPure Goat Anti-Rabbit IgG(H+L).
-
-
其他:
產品詳情
-
產品名稱:Rabbit anti-Homo sapiens (Human) RND1 Polyclonal antibody
-
Uniprot No.:
-
基因名:RND1
-
別名:ARHS antibody; FLJ42294 antibody; GTP binding protein RHO6 antibody; Ras homolog gene family member S antibody; RHO 6 antibody; Rho family GTPase 1 antibody; Rho related GTP binding protein Rho6 antibody; RHO S antibody; Rho-related GTP-binding protein Rho6 antibody; RHO6 antibody; RHOS antibody; RND 1 antibody; Rnd1 antibody; RND1_HUMAN antibody
-
宿主:Rabbit
-
反應種屬:Human
-
免疫原:Recombinant Human Rho-related GTP-binding protein Rho6 protein (1-106AA)
-
免疫原種屬:Homo sapiens (Human)
-
標記方式:Non-conjugated
本頁面中的產品,RND1 Antibody (CSB-PA835694LA01HU),的標記方式是Non-conjugated。對于RND1 Antibody,我們還提供其他標記。見下表:
-
克隆類型:Polyclonal
-
抗體亞型:IgG
-
純化方式:>95%, Protein G purified
-
濃度:It differs from different batches. Please contact us to confirm it.
-
保存緩沖液:Preservative: 0.03% Proclin 300
Constituents: 50% Glycerol, 0.01M PBS, pH 7.4 -
產品提供形式:Liquid
-
應用范圍:ELISA, IHC, IF
-
推薦稀釋比:
Application Recommended Dilution IHC 1:200-1:500 IF 1:50-1:200 -
Protocols:
-
儲存條件:Upon receipt, store at -20°C or -80°C. Avoid repeated freeze.
-
貨期:Basically, we can dispatch the products out in 1-3 working days after receiving your orders. Delivery time maybe differs from different purchasing way or location, please kindly consult your local distributors for specific delivery time.
-
用途:For Research Use Only. Not for use in diagnostic or therapeutic procedures.
相關產品
靶點詳情
-
功能:Lacks intrinsic GTPase activity. Has a low affinity for GDP, and constitutively binds GTP. Controls rearrangements of the actin cytoskeleton. Induces the Rac-dependent neuritic process formation in part by disruption of the cortical actin filaments. Causes the formation of many neuritic processes from the cell body with disruption of the cortical actin filaments.
-
基因功能參考文獻:
- Reduced RND1 expression in HCC was associated with cancer progression, likely through regulation of the Ras signaling pathway. PMID: 27770342
- Studies suggest that Rho GTPase signalling is a complicated mechanism in RhoA-driven cancer cell invasive migration. PMID: 27913679
- RND1 plays an important role in the progression of esophageal squamous cell carcinoma PMID: 26250459
- These results reveal a previously unappreciated mechanism through which Rnd1 restrains activation of Ras-MAPK signalling and breast tumour initiation and progression PMID: 25531777
- Data indicate that Rnd1 efficiently displaces Rac1 from its complex with Plexin-B1 but not vice versa. PMID: 23603360
- role of the N-terminal region in signaling; Rnd1 and Rnd3 have a KERRA (Lys-Glu-Arg-Arg-Ala) sequence of amino acids in their N-terminus, which functions as the lipid raft-targeting determinant; the sequence mediates lipid raft targeting of p190 RhoGAP correlated with its activation PMID: 22357615
- Rnd1 does not play a role in the activation of plexin-C1 and -D1 PMID: 21610070
- Socius is a novel Rnd GTPase-interacting protein involved in disassembly of actin stress fibers PMID: 11940653
- The RND1 mRNA expression levels increased significantly after gestation in myometria. PMID: 16311049
- Binding of Rac1, Rnd1, and RhoD to a novel Rho GTPase interaction motif destabilizes dimerization of the plexin-B1 effector domain PMID: 17916560
顯示更多
收起更多
-
亞細胞定位:Cell membrane; Lipid-anchor; Cytoplasmic side. Cytoplasm, cytoskeleton.
-
蛋白家族:Small GTPase superfamily, Rho family
-
組織特異性:Mostly expressed in brain and liver.
-
數據庫鏈接:
Most popular with customers
-
-
YWHAB Recombinant Monoclonal Antibody
Applications: ELISA, WB, IHC, IF, FC
Species Reactivity: Human, Mouse, Rat
-
-
-
-
-
-















