RNASEH1 Antibody
-
中文名稱:RNASEH1兔多克隆抗體
-
貨號:CSB-PA019801LA01HU
-
規格:¥440
-
圖片:
-
Western Blot
Positive WB detected in: Hela whole cell lysate, PC-3 whole cell lysate
All lanes: RNASEH1 antibody at 3.59µg/ml
Secondary
Goat polyclonal to rabbit IgG at 1/50000 dilution
Predicted band size: 33 kDa
Observed band size: 33 kDa -
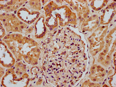
IHC image of CSB-PA019801LA01HU diluted at 1:300 and staining in paraffin-embedded human kidney tissue performed on a Leica BondTM system. After dewaxing and hydration, antigen retrieval was mediated by high pressure in a citrate buffer (pH 6.0). Section was blocked with 10% normal goat serum 30min at RT. Then primary antibody (1% BSA) was incubated at 4°C overnight. The primary is detected by a biotinylated secondary antibody and visualized using an HRP conjugated SP system.
-
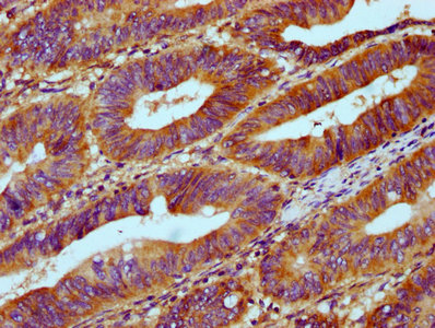
IHC image of CSB-PA019801LA01HU diluted at 1:300 and staining in paraffin-embedded human colon cancer performed on a Leica BondTM system. After dewaxing and hydration, antigen retrieval was mediated by high pressure in a citrate buffer (pH 6.0). Section was blocked with 10% normal goat serum 30min at RT. Then primary antibody (1% BSA) was incubated at 4°C overnight. The primary is detected by a biotinylated secondary antibody and visualized using an HRP conjugated SP system.
-
-
其他:
產品詳情
-
產品名稱:Rabbit anti-Homo sapiens (Human) RNASEH1 Polyclonal antibody
-
Uniprot No.:
-
基因名:
-
別名:RNASEH1 antibody; RNH1 antibody; Ribonuclease H1 antibody; RNase H1 antibody; EC 3.1.26.4 antibody; Ribonuclease H type II antibody
-
宿主:Rabbit
-
反應種屬:Human
-
免疫原:Recombinant Human Ribonuclease H1 protein (73-185AA)
-
免疫原種屬:Homo sapiens (Human)
-
標記方式:Non-conjugated
本頁面中的產品,RNASEH1 Antibody (CSB-PA019801LA01HU),的標記方式是Non-conjugated。對于RNASEH1 Antibody,我們還提供其他標記。見下表:
-
克隆類型:Polyclonal
-
抗體亞型:IgG
-
純化方式:>95%, Protein G purified
-
濃度:It differs from different batches. Please contact us to confirm it.
-
保存緩沖液:Preservative: 0.03% Proclin 300
Constituents: 50% Glycerol, 0.01M PBS, pH 7.4 -
產品提供形式:Liquid
-
應用范圍:ELISA, WB, IHC
-
推薦稀釋比:
Application Recommended Dilution WB 1:500-1:5000 IHC 1:200-1:500 -
Protocols:
-
儲存條件:Upon receipt, store at -20°C or -80°C. Avoid repeated freeze.
-
貨期:Basically, we can dispatch the products out in 1-3 working days after receiving your orders. Delivery time maybe differs from different purchasing way or location, please kindly consult your local distributors for specific delivery time.
-
用途:For Research Use Only. Not for use in diagnostic or therapeutic procedures.
相關產品
靶點詳情
-
功能:Endonuclease that specifically degrades the RNA of RNA-DNA hybrids. Plays a role in RNA polymerase II (RNAp II) transcription termination by degrading R-loop RNA-DNA hybrid formation at G-rich pause sites located downstream of the poly(A) site and behind the elongating RNAp II.
-
基因功能參考文獻:
- RNASEH1 gene variants associate with susceptibility/protection to T1 Diabetes in Colombia. PMID: 29204916
- Studies indicate that ribonuclease H1 is essential for mitochondrial DNA replication. PMID: 27402764
- Data show that the catalytic domains of E. coli and human RNase H have nearly identical sequence preferences, which correlate with the efficiency of RNase H-recruiting antisense oligonucleotides. PMID: 29126318
- Data suggest that ribonuclease H1 (RNASEH1) plays important role in replication fork movement by resolving R-loops (RNA-DNA hybrids); RNASEH1 depletion results in accumulation of RNA-DNA hybrids, slowing of replication forks, and increased DNA damage; RNASEH1 appears to contribute to genome stability and preserves telomere integrity. PMID: 28717002
- RPA is a sensor of R loops and a regulator of RNaseH1, extending the versatile role of RPA in suppression of genomic instability. PMID: 28257700
- RNaseH1 maintains regulated levels of telomeric RNA-DNA hybrids at ALT telomeres to trigger homologous recombination without compromising telomere integrity too severely PMID: 25330849
- found that the 3' fragments of target pre-mRNA generated by ASO were almost completely degraded from their 5' ends by nuclear XRN2 after RNase H1-mediated cleavage PMID: 26159921
- Altered RNaseH1 has a reduced capability to remove the RNA from RNA-DNA hybrids leading to impaired mtDNA replication and adult-onset mitochondrial encephalomyopathy. PMID: 26094573
- RNase H1 and protein P32 are involved in mitochondrial pre-rRNA processing PMID: 23990920
- data implicate the H264 side chain in phosphodiester hydrolysis as well as in product release, and are consistent with a proposed model in which the RNAse H1 H264 side chain interacts with a divalent metal ion to support catalysis PMID: 23078533
- On the basis of its nuclear magnetic resonance (NMR) nucleic acid structure, a boranophosphonate-modified, fully R(P) BH(3) DNA/RNA hybrid is predicted not to be a substrate for RNase H1. PMID: 21443203
- Observational study of gene-disease association. (HuGE Navigator) PMID: 20877624
- The cysteine residues responsible for the redox-dependent activity of RNase H1 were determined by site-directed mutagenesis to involve Cys(147) and Cys(148), producing an inactive enzyme conformation by disulfide bond formation. PMID: 12473655
- Human RNase H1 uses one tryptophan and two lysines to position the enzyme at the 3'-DNA/5'-RNA terminus of the heteroduplex substrate PMID: 14506260
- in human cells RNase H1 is responsible for most of the activity of DNA-like antisense drugs PMID: 14960586
- analysis of catalytic site of human RNase H1 for heteroduplex substrate catalysis PMID: 15205459
- method for enhancing the human RNase H1 activity of chimeric antisense oligonucleotides PMID: 17028157
- THE role substrate structure plays in directing human RNase H1 activity as well as the design of effective antisense oligodeoxyribonucleotides. PMID: 17028158
- Report crystal structures of RNase H1 in complex with RNA/DNA hybrids. PMID: 17964265
- Characterization of full-length enzymes with defective hybrid binding domain indicates that this domain dramatically enhances both the specific activity and processivity of RNase H1. PMID: 18337749
顯示更多
收起更多
-
相關疾?。?/div>Progressive external ophthalmoplegia with mitochondrial DNA deletions, autosomal recessive 2 (PEOB2)亞細胞定位:Cytoplasm.蛋白家族:RNase H family組織特異性:Ubiquitous.數據庫鏈接:
Most popular with customers
-
-
-
-
-
-
-
-
VDAC1 Recombinant Monoclonal Antibody
Applications: ELISA, WB, IHC
Species Reactivity: Human, Mouse, Rat















