RHOU Antibody
-
中文名稱:RHOU兔多克隆抗體
-
貨號:CSB-PA239457
-
規格:¥1100
-
圖片:
-
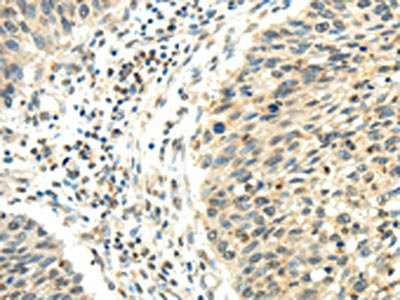
The image on the left is immunohistochemistry of paraffin-embedded Human liver cancer tissue using CSB-PA239457(RHOU Antibody) at dilution 1/30, on the right is treated with synthetic peptide. (Original magnification: ×200)
-
The image on the left is immunohistochemistry of paraffin-embedded Human lung cancer tissue using CSB-PA239457(RHOU Antibody) at dilution 1/30, on the right is treated with synthetic peptide. (Original magnification: ×200)
-
-
其他:
產品詳情
-
Uniprot No.:
-
基因名:RHOU
-
宿主:Rabbit
-
反應種屬:Human
-
免疫原:Synthetic peptide of Human RHOU
-
免疫原種屬:Homo sapiens (Human)
-
標記方式:Non-conjugated
-
抗體亞型:IgG
-
純化方式:Antigen affinity purification
-
濃度:It differs from different batches. Please contact us to confirm it.
-
保存緩沖液:-20°C, pH7.4 PBS, 0.05% NaN3, 40% Glycerol
-
產品提供形式:Liquid
-
應用范圍:ELISA,IHC
-
推薦稀釋比:
Application Recommended Dilution ELISA 1:2000-1:5000 IHC 1:20-1:100 -
Protocols:
-
儲存條件:Upon receipt, store at -20°C or -80°C. Avoid repeated freeze.
-
貨期:Basically, we can dispatch the products out in 1-3 working days after receiving your orders. Delivery time maybe differs from different purchasing way or location, please kindly consult your local distributors for specific delivery time.
-
用途:For Research Use Only. Not for use in diagnostic or therapeutic procedures.
靶點詳情
-
功能:Acts upstream of PAK1 to regulate the actin cytoskeleton, adhesion turnover and increase cell migration. Stimulates quiescent cells to reenter the cell cycle. Has no detectable GTPase activity but its high intrinsic guanine nucleotide exchange activity suggests it is constitutively GTP-bound. Plays a role in the regulation of cell morphology and cytoskeletal organization. Required in the control of cell shape.
-
亞細胞定位:Cell membrane; Lipid-anchor; Cytoplasmic side. Golgi apparatus membrane; Lipid-anchor. Cell junction, focal adhesion. Cell projection, podosome.
-
蛋白家族:Small GTPase superfamily, Rho family
-
組織特異性:Ubiquitously expressed in all tissues examined. Expressed at high levels in the stomach, small intestine, brain, skeletal muscle and placenta.
-
數據庫鏈接:
Most popular with customers
-
-
YWHAB Recombinant Monoclonal Antibody
Applications: ELISA, WB, IHC, IF, FC
Species Reactivity: Human, Mouse, Rat
-
-
-
-
-
-
VDAC1 Recombinant Monoclonal Antibody
Applications: ELISA, WB, IHC
Species Reactivity: Human, Mouse, Rat















