RHEB Antibody
-
中文名稱:RHEB兔多克隆抗體
-
貨號:CSB-PA124825
-
規格:¥1100
-
圖片:
-
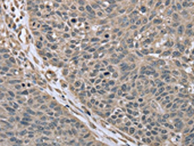
The image on the left is immunohistochemistry of paraffin-embedded Human liver cancer tissue using CSB-PA124825(RHEB Antibody) at dilution 1/40, on the right is treated with synthetic peptide. (Original magnification: ×200)
-
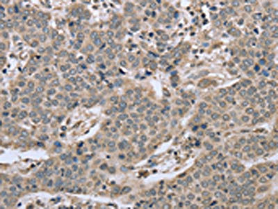
The image on the left is immunohistochemistry of paraffin-embedded Human lung cancer tissue using CSB-PA124825(RHEB Antibody) at dilution 1/40, on the right is treated with synthetic peptide. (Original magnification: ×200)
-
Gel: 10%SDS-PAGE, Lysate: 40 μg, Lane 1-6: Human brain malignant glioma tissue, Jurkat cells, Raji cells, 231 cells, human fetal brain tissue, Hela cells, Primary antibody: CSB-PA124825(RHEB Antibody) at dilution 1/300, Secondary antibody: Goat anti rabbit IgG at 1/8000 dilution, Exposure time: 5 seconds
-
-
其他:
產品詳情
-
Uniprot No.:
-
基因名:
-
別名:g enriched in brain 2; formerly antibody; GTP binding protein Rheb antibody; GTP-binding protein Rheb antibody; MGC111559 antibody; Ras homolog enriched in brain 2 antibody; Ras homolog enriched in brain antibody; RHEB 2 antibody; Rheb antibody; RHEB_HUMAN antibody; RHEB2 antibody; RHEB2; formerly antibody
-
宿主:Rabbit
-
反應種屬:Human,Mouse,Rat
-
免疫原:Synthetic peptide of Human RHEB
-
免疫原種屬:Homo sapiens (Human)
-
標記方式:Non-conjugated
-
抗體亞型:IgG
-
純化方式:Antigen affinity purification
-
濃度:It differs from different batches. Please contact us to confirm it.
-
保存緩沖液:-20°C, pH7.4 PBS, 0.05% NaN3, 40% Glycerol
-
產品提供形式:Liquid
-
應用范圍:ELISA,WB,IHC
-
推薦稀釋比:
Application Recommended Dilution ELISA 1:2000-1:5000 WB 1:500-1:2000 IHC 1:50-1:200 -
Protocols:
-
儲存條件:Upon receipt, store at -20°C or -80°C. Avoid repeated freeze.
-
貨期:Basically, we can dispatch the products out in 1-3 working days after receiving your orders. Delivery time maybe differs from different purchasing way or location, please kindly consult your local distributors for specific delivery time.
-
用途:For Research Use Only. Not for use in diagnostic or therapeutic procedures.
相關產品
靶點詳情
-
功能:Activates the protein kinase activity of mTORC1, and thereby plays a role in the regulation of apoptosis. Stimulates the phosphorylation of S6K1 and EIF4EBP1 through activation of mTORC1 signaling. Has low intrinsic GTPase activity.
-
基因功能參考文獻:
- Cycling between the inactive GDP- and the active GTP-bound state modulates the backbone dynamics of a C-terminal truncated form, RhebDeltaCT, which is suggested to influence its interactions. We further investigated the interactions between RhebDeltaCT and the proposed Rheb-binding domain of the regulatory protein FKBP38. PMID: 29194576
- Rheb transcription is regulated by direct Notch1 binding to the Rheb promoter. Rheb expression in the angiomyolipoma and lymphangioleiomyomatosis cells. PMID: 29184052
- RHEB Y35N expressing cells undergo cancer transformation due to decreased interaction between RHEB and BRAF resulting in overactive RAF/MEK/ERK signaling. Taken together with the previously established function of RHEB to activate mTORC1 signaling, it appears that RHEB performs a dual function; one is to suppress the RAF/MEK/ERK signaling and the other is to activate mTORC1 signaling. PMID: 29320991
- SNPs of mTORC1-related genes individually or jointly contribute to colorectal cancer susceptibility in Chinese. PMID: 29996312
- Results identified Rheb as a critical mediator of EP3 expression in cells with mTORC1 hyperactivation. PMID: 28710231
- RHEB maintained the innate characteristics of chondrocytes by regulating senescence, dedifferentiation and oxidative stress, leading to the upregulation of COL2 expression via SOX9 and the downregulation of p27 expression via MCL1. PMID: 27061379
- 3.0 angstrom cryo-electron microscopy structure of mTORC1 and the 3.4 angstrom Xray structure of activated RHEB-mTORC1 PMID: 29236692
- The mTOR activator gene RHEB is an intellectual disability gene that is associated with megalencephaly when mutated. PMID: 29051493
- Cellular treatment with AG2037, an inhibitor of the purine biosynthetic enzyme GARFT, profoundly inhibits mTORC1 activity via a reduction in the level of GTP-bound Rheb, an obligate upstream activator of mTORC1, because of a reduction in intracellular guanine nucleotides. PMID: 28658616
- FADD interference down-regulated Rheb expression and repressed mTORC1 activity in breast cancer cell lines. The autophagy was induced by FADD deficiency in MCF7 or MDA-231 cells but rescued by recovering Rheb expression. PMID: 27013580
- Describe a novel interaction between Rheb and the tumor suppressor RASSF1A. This interaction may allow coordinate upregulation of Hippo while TOR is suppressed to modulate the balance of apoptosis and autophagy in lung tumor cells. PMID: 27034171
- activation of mTOR signalling via RHEB over-expression inhibited the starvation-induced autophagy but did not affect trafficking of tf-Amyloid precursor protein (APP). These results show tf-APP can be used to determine how APP is trafficked through the lysosomal system of the cell. PMID: 28641977
- Data suggest DNM2/RRAGB- (or DNM2/RRAGC-)dependent endocytosis of extracellular amino acids (AAs) plays critical role in mTORC1 transport/activation; recruitment of mTORC1 from cytoplasm to lysosome is suppressed by DNM2 inhibition; AA deprivation appears to be main cause of mTORC1 inactivation via DNM2 inhibition. (RHEB = Ras homolog enriched in brain; DNM2 = dynamin II; RRAG = Ras-related GTP binding protein) PMID: 28808055
- By interfering with TSC-Rheb complex, arginine relieves allosteric inhibition of Rheb by TSC. Arginine cooperates with growth factor signaling which further promotes dissociation of TSC2 from lysosomes and activation of mTORC1. PMID: 26742086
- Data show that Rheb/p27 axis induces autophagy-dependent cancer cell survival under stress conditions. PMID: 25594310
- Mutations in the TSC2-RHEB-mTOR signaling axis may lead to a loss of inhibitory inputs thus conferring a survival advantage to a dividing tumor cell. PMID: 26255626
- Activation of CNTF/CNTFRalpha signaling pathway by hRheb(S16H) transduction of dopaminergic neurons PMID: 25799580
- In TSC2-deficient angiomyolipoma patient cells, IRF7 is a pivotal factor in the Rheb/mTOR pathway. PMID: 25476905
- These results establish CAD as a downstream effector of Rheb and suggest a possible role of Rheb in regulating de novo pyrimidine nucleotide synthesis.(Rheb small GTPases, which consist of Rheb1 and Rheb2 (also known as RhebL1) PMID: 25422319
- In vitro data indicated that miR-155 suppressed the macrophage-mediated bacterial phagocytosis and intracellular killing of Pseudomonas aeruginosa by targeting Rheb (Ras homolog enriched in brain). PMID: 24403554
- Data indicate that Rheb G63A stimulated phosphorylation of the mTORC1 substrate p70S6 kinase more strongly than wild-type, thus offering a new tool for mammalian target of rapamycin (mTOR) signaling. PMID: 24648513
- study defines Rheb as a novel physiological regulator of BACE1 levels and Abeta generation, and the Rheb-BACE1 circuitry may have a role in brain biology and disease. PMID: 24368770
- Maturation of endosomes into lysosomes may be required to assure a continuous supply of GTP-bound Rheb for mTORC1 activation, which may help to drive the maturation process PMID: 23863162
- The propose models of membrane-dependent signal regulation by Rheb that shed light on previously unexplained in vivo properties of this GTPase. PMID: 23409921
- In a human embryonic brain cDNA library mTOR-activating GTPase Rheb is screened as an interacting protein of the NMDAR subunit NR3A. PMID: 21135540
- Redox regulates mammalian target of rapamycin complex 1 (mTORC1) activity by modulating the TSC1/TSC2-Rheb GTPase pathway. PMID: 21784859
- The activating transcription factor (ATF)6alpha/Rheb pathway is altered in Huntington's disease, as the decrease in ATF6alpha processing is accompanied by a decrease in the accumulation of Rheb. PMID: 20732420
- Adenoassociated virus-mediated transduction of substantia nigra dopaminergic neurons with constitutively active forms of kinase Akt and Ras homolog enriched in brain (Rheb) induces regrowth of axons after they have been destroyed by neurotoxin lesion. PMID: 21437936
- TSC1, TSC2 and Rheb function independently of TORC1 in tuberous sclerosis complex.[Review] PMID: 21412983
- Rheb inactivation by PRAK-mediated phosphorylation is essential for energy-depletion-induced suppression of mTORC1 PMID: 21336308
- Rheb controls proliferation of TSC2-deficient cells by a mechanism that involves regulation of AMPK and p27, and that Rheb is a potential target for TSC/LAM therapy. PMID: 20818424
- Ras homolog enriched in brain (Rheb) enhances apoptotic signaling PMID: 20685651
- results suggest a novel regulatory mechanism for mTORC1 in which the cAMP-determined dynamic interaction between Rheb and PDE4D provides a key, unique regulatory event, and propose a new role for PDE4 as a molecular transducer for cAMP signaling. PMID: 20837708
- Results suggest that Rheb is a critical target for farnesyltransferase inhibitor therapy in non-small cell lung cancer cells. PMID: 20554106
- integrity of late endosomes is essential for amino acid- and insulin-stimulated mTORC1 signaling and blocking the early/late endosomal conversion prevents mTOR from interacting with Rheb in the late endosomal compartment PMID: 20053679
- Findings illustrate a mechanism for the cardioprotective effects of lovastatin through inhibition of Rheb and mTORC1 and promotion of a differentiated vascular smooth muscle cell phenotype. PMID: 20375271
- Rheb potentiates proliferation of prostate cancer cells PMID: 20127734
- RHEB is an MTOR activator that facilitates multistage carcinogenesis through induction of multiple oncogenic mechanisms PMID: 20388784
- Rheb GTPase controls apoptosis by regulating interaction of FKBP38 with Bcl-2 and Bcl-XL PMID: 20048149
- Data inidicate that FTS could be a promising treatment for Rheb- and mTOR-dependent cancers. PMID: 19838215
- Rheb binds tuberous sclerosis complex 2 (TSC2) and promotes S6 kinase activation in a rapamycin- and farnesylation-dependent manner PMID: 12842888
- Rheb acts downstream of TSC1/TSC2 and upstream of mTOR to regulate cell growth PMID: 12869586
- Rheb has a role in regulation of B-Raf kinase activity along with tuberin but without involvement of mTOR PMID: 15150271
- To investigate the function of TSC2 and Rheb in mTOR signaling, we analyzed the TSC2-stimulated Rheb GTPase activity. PMID: 15340059
- The GTPase domain of human Rheb (hRheb) has been recombinantly expressed in Escherichia coli, purified and cocrystallized in complexes with GDP, GTP and GppNHp. PMID: 15388940
- Rheb forms a new group of the Ras/Rap subfamily and uses a novel GTP hydrolysis mechanism that utilizes Asn1643 of the tuberous sclerosis complex 2 GTPase-activating protein domain instead of Gln64 of Rheb as the catalytic residue PMID: 15728574
- results suggest that Rheb regulates endocytic trafficking pathway independent of the previously identified mTOR pathway. PMID: 15809346
- The target of rapamycin (TOR) complex 1 is a direct target of Rheb-GTP, whose binding enables activation of the TOR kinase. PMID: 15854902
- binding of Rheb to endogenous and recombinant mTOR is reversibly inhibited by withdrawal of all extracellular amino acids or just leucine PMID: 15878852
- Data show that the farnesyl transferase inhibitor (FTI) SCH66336 (lonafarnib) inhibits Rheb farnesylation and mTOR signaling. PMID: 16006564
顯示更多
收起更多
-
亞細胞定位:Endomembrane system; Lipid-anchor; Cytoplasmic side. Golgi apparatus membrane; Lipid-anchor; Cytoplasmic side. Cytoplasm, cytosol. Endoplasmic reticulum membrane; Lipid-anchor; Cytoplasmic side.
-
蛋白家族:Small GTPase superfamily, Rheb family
-
組織特異性:Ubiquitous. Highest levels observed in skeletal and cardiac muscle.
-
數據庫鏈接:
Most popular with customers
-
-
YWHAB Recombinant Monoclonal Antibody
Applications: ELISA, WB, IHC, IF, FC
Species Reactivity: Human, Mouse, Rat
-
Phospho-YAP1 (S127) Recombinant Monoclonal Antibody
Applications: ELISA, WB, IHC
Species Reactivity: Human
-
-
-
-
-















