RHCG Antibody
-
中文名稱:RHCG兔多克隆抗體
-
貨號:CSB-PA299946
-
規格:¥1100
-
圖片:
-
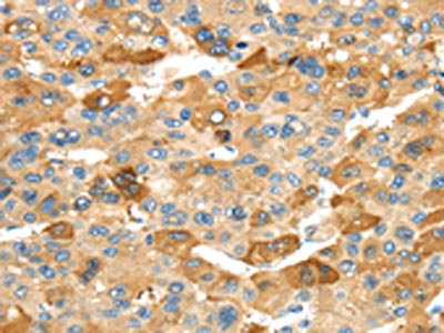
The image on the left is immunohistochemistry of paraffin-embedded Human liver cancer tissue using CSB-PA299946(RHCG Antibody) at dilution 1/30, on the right is treated with synthetic peptide. (Original magnification: ×200)
-
The image on the left is immunohistochemistry of paraffin-embedded Human prostate cancer tissue using CSB-PA299946(RHCG Antibody) at dilution 1/30, on the right is treated with synthetic peptide. (Original magnification: ×200)
-
-
其他:
產品詳情
-
Uniprot No.:
-
基因名:RHCG
-
別名:Ammonium transporter Rh type C antibody; C15orf6 antibody; CDRC2 antibody; chromosome 15 open reading frame 6 antibody; PDRC2 antibody; Rh family type C glycoprotein antibody; Rh glycoprotein kidney antibody; Rh type C glycoprotein antibody; rhcg antibody; RHCG_HUMAN antibody; Rhesus blood group family type C glycoprotein antibody; Rhesus blood group; C glycoprotein antibody; RHGK antibody; SLC42A3 antibody; Tumor-related protein DRC2 antibody
-
宿主:Rabbit
-
反應種屬:Human
-
免疫原:Synthetic peptide of Human RHCG
-
免疫原種屬:Homo sapiens (Human)
-
標記方式:Non-conjugated
-
抗體亞型:IgG
-
純化方式:Antigen affinity purification
-
濃度:It differs from different batches. Please contact us to confirm it.
-
保存緩沖液:-20°C, pH7.4 PBS, 0.05% NaN3, 40% Glycerol
-
產品提供形式:Liquid
-
應用范圍:ELISA,IHC
-
推薦稀釋比:
Application Recommended Dilution ELISA 1:2000-1:5000 IHC 1:25-1:100 -
Protocols:
-
儲存條件:Upon receipt, store at -20°C or -80°C. Avoid repeated freeze.
-
貨期:Basically, we can dispatch the products out in 1-3 working days after receiving your orders. Delivery time maybe differs from different purchasing way or location, please kindly consult your local distributors for specific delivery time.
-
用途:For Research Use Only. Not for use in diagnostic or therapeutic procedures.
相關產品
靶點詳情
-
功能:Functions as an electroneutral and bidirectional ammonium transporter. May regulate transepithelial ammonia secretion.
-
基因功能參考文獻:
- RhCG and H+ATPases are located within the same cellular protein complex in the kidney and this interaction is required for maximal urinary acidification by H+-ATPases, a prerequisite for efficient NH3 secretion and urine excretion of NH4+. PMID: 29054531
- RHCG was down-regulated in cervical cancers compared to that in normal cervical tissues, and further decreased in cervical cancer cell lines. Functionally, RHCG overexpression reduced cervical cancer cell proliferation and migration, as evidenced by the decreased transforming growth factor (TGF)-beta1, matrix metalloproteinase (MMP)-2 and MMP-9 expressions in cancer cells. PMID: 29852177
- The results support the notion that RHCG is a novel tumor suppressor gene that plays an important role in the development and progression of ESCC. PMID: 29290801
- The molecular mechanism of NH4(+) recruitment and NH3 transport by RHCG is described. PMID: 26190573
- Rh B Glycoprotein (Rhbg) and Rh C Glycoprotein (Rhcg) are identified as ammonia transporters. They are expressed in specific cell populations and membrane domains in distal renal epithelial cells, where they facilitate ammonia secretion. PMID: 24647713
- RhAG, RhBG and RhCG-exhibit significant permeability to NH3 and show for the first time that RhBG and RhCG can conduct CO2. PMID: 24077989
- Amt and Rh proteins are not functionally equivalent and that permeation takes place according to two distinct mechanisms. PMID: 24021113
- X-ray crystallographic structure of human RhCG, determined at 2.1 A resolution, reveals the mechanism of ammonia transport. PMID: 20457942
- major finding of this study is that RhCG protein is active as an NH(3) channel and that this function does not require any protein partner PMID: 20126667
- RhBG and RhCG facilitate ammonium movement across the plasma membrane; these results favor the hypothesis that these Rh glycoproteins, together with their homolog RhAG, constitute a family of NH3 channels in mammalian cells. PMID: 15929723
- RhCG expression enhanced the ammonium-induced initial alkalinization (related to NH3 influx)& secondary acidification (related to NH4+ influx). Sub-millimolar NH4+ concentrations induced inward currents in voltage-clamped RhCG-expressing cells. PMID: 16564724
- Review. Mutations at positions F74, V137 and F235 resulted in a severe reduction of NH3 transport. PMID: 16580862
- This study concludes that under normal conditions, RhCG is the major putative ammonia transporter expressed in the human kidney and RhBG is not expressed at detectable levels. PMID: 19357182
- Rhbg and Rhcg may contribute to bronchial epithelial cell ammonia metabolism and suggest that they do not contribute to pulmonary carbon dioxide transport. PMID: 19429772
顯示更多
收起更多
-
亞細胞定位:Apical cell membrane; Multi-pass membrane protein.
-
蛋白家族:Ammonium transporter (TC 2.A.49) family, Rh subfamily
-
組織特異性:Expressed in brain, testis, placenta, pancreas, esophagus and prostate. Expressed in squamous epithelial tissues (at protein level). According to PubMed:11062476, specifically expressed in kidney.
-
數據庫鏈接:
Most popular with customers
-
-
YWHAB Recombinant Monoclonal Antibody
Applications: ELISA, WB, IHC, IF, FC
Species Reactivity: Human, Mouse, Rat
-
Phospho-YAP1 (S127) Recombinant Monoclonal Antibody
Applications: ELISA, WB, IHC
Species Reactivity: Human
-
-
-
-
-















