REG3A Antibody
-
中文名稱:REG3A兔多克隆抗體
-
貨號:CSB-PA019548EA01HU
-
規格:¥440
-
圖片:
-
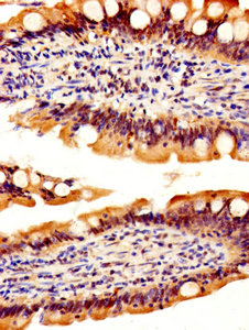
IHC image of CSB-PA019548EA01HU diluted at 1:500 and staining in paraffin-embedded human small intestine tissue performed on a Leica BondTM system. After dewaxing and hydration, antigen retrieval was mediated by high pressure in a citrate buffer (pH 6.0). Section was blocked with 10% normal goat serum 30min at RT. Then primary antibody (1% BSA) was incubated at 4°C overnight. The primary is detected by a biotinylated secondary antibody and visualized using an HRP conjugated SP system.
-
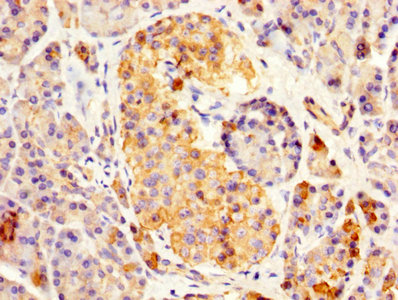
IHC image of CSB-PA019548EA01HU diluted at 1:500 and staining in paraffin-embedded human pancreatic tissue performed on a Leica BondTM system. After dewaxing and hydration, antigen retrieval was mediated by high pressure in a citrate buffer (pH 6.0). Section was blocked with 10% normal goat serum 30min at RT. Then primary antibody (1% BSA) was incubated at 4°C overnight. The primary is detected by a biotinylated secondary antibody and visualized using an HRP conjugated SP system.
-
Immunofluorescence staining of SH-SY5Y cells with CSB-PA019548EA01HU at 1:166, counter-stained with DAPI. The cells were fixed in 4% formaldehyde, permeabilized using 0.2% Triton X-100 and blocked in 10% normal Goat Serum. The cells were then incubated with the antibody overnight at 4°C. The secondary antibody was Alexa Fluor 488-congugated AffiniPure Goat Anti-Rabbit IgG(H+L).
-
-
其他:
產品詳情
-
產品名稱:Rabbit anti-Homo sapiens (Human) REG3A Polyclonal antibody
-
Uniprot No.:
-
基因名:REG3A
-
別名:FLJ18565 antibody; Hepatocarcinoma intestine pancreas antibody; Hepatointestinal pancreatic protein antibody; HIP antibody; HIP/PAP antibody; Human proislet peptide antibody; INGAP antibody; Pancreatic beta cell growth factor antibody; Pancreatitis associated protein 1 antibody; Pancreatitis associated protein antibody; Pancreatitis-associated protein 1 antibody; PAP antibody; PAP H antibody; PAP homologous protein antibody; PAP1 antibody; PBCGF antibody; Proliferation inducing protein 34 antibody; Proliferation inducing protein 42 antibody; Reg III alpha antibody; REG III antibody; Reg III-alpha antibody; REG-3-alpha antibody; REG3 antibody; Reg3a antibody; REG3A_HUMAN antibody; Regenerating islet derived 3 alpha antibody; Regenerating islet derived protein 3 alpha precursor antibody; Regenerating islet-derived protein 3-alpha 15 kDa form antibody; Regenerating islet-derived protein III-alpha antibody
-
宿主:Rabbit
-
反應種屬:Human
-
免疫原:Recombinant Human Regenerating islet-derived protein 3-alpha protein (27-175AA)
-
免疫原種屬:Homo sapiens (Human)
-
標記方式:Non-conjugated
本頁面中的產品,REG3A Antibody (CSB-PA019548EA01HU),的標記方式是Non-conjugated。對于REG3A Antibody,我們還提供其他標記。見下表:
-
克隆類型:Polyclonal
-
抗體亞型:IgG
-
純化方式:>95%, Protein G purified
-
濃度:It differs from different batches. Please contact us to confirm it.
-
保存緩沖液:Preservative: 0.03% Proclin 300
Constituents: 50% Glycerol, 0.01M PBS, PH 7.4 -
產品提供形式:Liquid
-
應用范圍:ELISA, IHC, IF
-
推薦稀釋比:
Application Recommended Dilution IHC 1:500-1:1000 IF 1:50-1:200 -
Protocols:
-
儲存條件:Upon receipt, store at -20°C or -80°C. Avoid repeated freeze.
-
貨期:Basically, we can dispatch the products out in 1-3 working days after receiving your orders. Delivery time maybe differs from different purchasing way or location, please kindly consult your local distributors for specific delivery time.
-
用途:For Research Use Only. Not for use in diagnostic or therapeutic procedures.
相關產品
靶點詳情
-
功能:Bactericidal C-type lectin which acts exclusively against Gram-positive bacteria and mediates bacterial killing by binding to surface-exposed carbohydrate moieties of peptidoglycan. Regulates keratinocyte proliferation and differentiation after skin injury via activation of EXTL3-PI3K-AKT signaling pathway.
-
基因功能參考文獻:
- Data show that regenerating family member 3 alpha protein (REG3A) can modulate specific cutaneous inflammatory responses and that the decrease in cutaneous REG3A exacerbates toll-like receptor 3 (TLR3)-mediated inflammation in diabetic skin wounds. PMID: 27830702
- Data found that REG3A was significantly downregulated in Gastric cancer and closely related with patient prognoses. REG3A overexpression suppressed the invasion and proliferation promoting apoptosis of GC cells. While REG3A knockdown promoted the invasion, and proliferation suppressing PMID: 29512686
- Mice with hepatocytes that express hREG3A, which travels to the intestinal lumen, are less sensitive to colitis than control mice. Suggest reduced oxidative stress preserves the gut microbiota and its ability to prevent inflammation. PMID: 29133078
- The pancreas reacts to remote lesions and septic insults in mice and rats with increased PSP synthesis, while PAP is selectively responsive to septic events. Furthermore, our results suggest that serum PSP in septic patients is predominantly derived through an acute phase response of the pancreas. PMID: 28415799
- Data show that interleukin-2 receptor alpha, tumor necrosis factor receptor 1, serum STimulation-2 (IL1RL1 gene product), and regenerating islet-derived 3-alpha were significantly associated with non-relapse mortality. PMID: 28126963
- skin injury increases IL-36gamma via the activation of TLR3-SLUG-VDR axis and IL-36gamma induces REG3A to promote wound healing PMID: 28774595
- Association between a SNP in the REG3A gene, rs7588571, located upstream of the REG3A gene, and bone marrow transplant outcomes including the incidence of chronic GVHD. Since REG proteins control intestinal microbiota, and since intestinal dysbiosis is in part responsible for the development of GVHD, findings lead to the concept that REG3A could have some protective effect through the regulation of gut microbiota. PMID: 28945764
- Patients with high levels of PAP/REG3A had overall shorter survival as well as poor surgical outcomes with reduced disease-free survival. PMID: 28656348
- Serum REG3alpha is not an accurate diagnostic and predictive biomarker in Crohn's disease patients undergoing hemopoetic stem cell transplantation. PMID: 26278889
- Up-regulation of REG3A correlates with colorectal cancer risk. PMID: 26646797
- Regulation network analysis confirmed the cell growth related differentially expressed genes, and further uncovered three transcription factor families with immune functions regulated by REG3A PMID: 26719042
- Reg3alpha is an extracellular matrix-targeted reactive oxygen species scavenger that binds the fibrin scaffold resulting from hepatocyte death during acute liver failure. PMID: 25938566
- our findings reveal a dual and contextual pathophysiologic role for REG3beta during pancreatitis and pancreatic ductal adenocarcinoma initiation PMID: 26404002
- Reg3A overexpression promoted cell growth in pancreatic cancer. SOCS3 is a key target in cancer by inhibiting cell growth and inducing apoptosis. SOCS3 negatively regulated Reg3A-mediated cell growth in pancreatic cancer. PMID: 24996521
- Reg3beta-dependent accumulation of macrophages in the ischemic heart has a role in myocardial healing PMID: 25751817
- Serum regenerating islet-derived 3-alpha is a biomarker of mucosal enteropathies PMID: 25112824
- Both live and heat-inactivated Bifidobacterium breve induced the expression of REGIII-alpha, the human ortholog and homolog of REGIII-gamma, in human colonic epithelial cells (Caco-2). PMID: 24096422
- Cells transfected with REG III exhibited significantly lower cell proliferation. PMID: 23743605
- human RegIIIalpha (also known as HIP/PAP) binds membrane phospholipids and kills bacteria by forming a hexameric membrane-permeabilizing oligomeric pore PMID: 24256734
- The INGAP-pp may facilitate the differentiation of hUCMSCs into IPCs. However, the IPCs are not as mature as normal human islet beta cells. PMID: 23388332
- Immunohistochemistry against known cell-type markers on serial sections has localised the expression of REGs to metaplastic Paneth cells (REG1A, REG1B and REG3A) and enteroendocrine cells (REG4), with a marked expansion of expression during inflammation. PMID: 23519454
- HIP/PAP was abundantly expressed in bladder cancer, and the urinary levels of HIP/PAP could be a novel biomarker for detection of bladder cancer. PMID: 22943287
- REG3A may mediate the epidermal hyperproliferation observed in normal wound repair and in psoriasis. PMID: 22727489
- Immunoreactivity to INGAP localized to the pancreatic endocrine cells in mouse. INGAP and/or related group 3 Reg proteins have a conserved expression in the pancreatic islet. PMID: 17998566
- Data suggest that PAP I may contribute to endogenous protective mechanisms relevant under harmful conditions like oxidative stress, brain injury, or neurodegeneration. PMID: 21643999
- The Reg3a can serve as novel target in diabetes mellitus genetic therapy. PMID: 20536387
- HIP/PAP recognizes the cell wall peptidoglycan carbohydrate backbone in a calcium-independent manner via a conserved "EPN" motif that is critical for bacterial killing. PMID: 20382864
- HIP/PAP stimulates liver regeneration after partial hepatectomy and combines mitogenic and anti-apoptotic functions through the protein kinase A signaling pathway. PMID: 12890698
- In transgenic mice, HIP/PAP is a promising candidate for the prevention and treatment of liver failure. PMID: 16116631
- findings show that RegIIIgamma and its human counterpart, HIP/PAP, are directly antimicrobial proteins that bind their bacterial targets via interactions with peptidoglycan carbohydrate PMID: 16931762
- human pancreatitis-associated protein fibrillization is initiated by protein aggregation primarily because of electrostatic interactions PMID: 16963458
- INGAP and/or related group 3 Reg proteins have a conserved expression in the pancreatic islet. PMID: 17998566
- PAP mRNA expression and serum PAP levels are closely related to neoplastic proliferative activity in patients with colorectal carcinoma. PMID: 19051257
- PAP diminished the expression of MMP-1 and -2 and TIMP-1 and -2 and their concentrations in pancreatic stellate cell supernatants. RECK was detected on the surface of PSCs and its expression was reduced after PAP application PMID: 19077460
- antibacterial activities of mouse RegIIIgamma and its human ortholog, HIP/PAP, are tightly controlled by an inhibitory N-terminal prosegment that is removed by trypsin in vivo. PMID: 19095652
- HIP enhanced EXTL3 translocation from the membrane to the nucleus, in support of a model whereby EXTL3 mediates HIP signaling for islet neogenesis. PMID: 19158046
- N-terminal processing is necessary for the peptidoglycan binding and bacteria-aggregating activity of PAP and that trypsin-processed and elastase-processed forms are functionally equivalent. PMID: 19254208
顯示更多
收起更多
-
亞細胞定位:Secreted. Note=Found in the apical region of pancreatic acinar cells.
-
組織特異性:Highly expressed in epidermal keratinocytes of psoriasis patients (at protein level). Constitutively expressed in intestine. Low expression is found in healthy pancreas. Overexpressed during the acute phase of pancreatitis and in some patients with chroni
-
數據庫鏈接:
Most popular with customers
-
-
YWHAB Recombinant Monoclonal Antibody
Applications: ELISA, WB, IHC, IF, FC
Species Reactivity: Human, Mouse, Rat
-
Phospho-YAP1 (S127) Recombinant Monoclonal Antibody
Applications: ELISA, WB, IHC
Species Reactivity: Human
-
-
-
-
-















