REG1A Antibody
-
中文名稱:REG1A兔多克隆抗體
-
貨號:CSB-PA019546LA01HU
-
規格:¥440
-
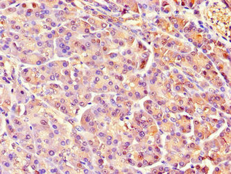
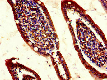
圖片:
-
其他:
產品詳情
-
產品名稱:Rabbit anti-Homo sapiens (Human) REG1A Polyclonal antibody
-
Uniprot No.:
-
基因名:REG1A
-
別名:ICRF antibody; Islet cells regeneration factor antibody; Islet of Langerhans regenerating protein antibody; Lithostathine 1 alpha antibody; Lithostathine 1 alpha precursor antibody; Lithostathine antibody; Lithostathine-1-alpha antibody; MGC12447 antibody; P19 antibody; Pancreatic stone protein antibody; Pancreatic stone protein secretory antibody; Pancreatic thread protein antibody; Protein X antibody; PSP antibody; PSPS antibody; PSPS1 antibody; PTP antibody; RATRGPI antibody; REG antibody; REG-1-alpha antibody; Reg1 antibody; REG1A antibody; REG1A_HUMAN antibody; Regenerating islet derived 1 alpha antibody; Regenerating islet derived 1 alpha pancreatic stone protein pancreatic thread protein antibody; Regenerating islet-derived protein 1-alpha antibody; Regenerating protein I alpha antibody
-
宿主:Rabbit
-
反應種屬:Human
-
免疫原:Recombinant Human Lithostathine-1-alpha protein (23-166AA)
-
免疫原種屬:Homo sapiens (Human)
-
標記方式:Non-conjugated
本頁面中的產品,REG1A Antibody (CSB-PA019546LA01HU),的標記方式是Non-conjugated。對于REG1A Antibody,我們還提供其他標記。見下表:
-
克隆類型:Polyclonal
-
抗體亞型:IgG
-
純化方式:>95%, Protein G purified
-
濃度:It differs from different batches. Please contact us to confirm it.
-
保存緩沖液:Preservative: 0.03% Proclin 300
Constituents: 50% Glycerol, 0.01M PBS, PH 7.4 -
產品提供形式:Liquid
-
應用范圍:ELISA, IHC
-
推薦稀釋比:
Application Recommended Dilution IHC 1:20-1:200 -
Protocols:
-
儲存條件:Upon receipt, store at -20°C or -80°C. Avoid repeated freeze.
-
貨期:Basically, we can dispatch the products out in 1-3 working days after receiving your orders. Delivery time maybe differs from different purchasing way or location, please kindly consult your local distributors for specific delivery time.
-
用途:For Research Use Only. Not for use in diagnostic or therapeutic procedures.
相關產品
靶點詳情
-
功能:Might act as an inhibitor of spontaneous calcium carbonate precipitation. May be associated with neuronal sprouting in brain, and with brain and pancreas regeneration.
-
基因功能參考文獻:
- Serum levels of PCT and PSP are promising biomarkers for early diagnosis of pediatric acute osteomyelitis. PMID: 29091592
- PSP/reg levels are significantly up-regulated in diabetic kidney disease patients and might be related to renal injury PMID: 28418911
- Both univariate and multivariate analysis demonstrated that REG1A expression was associated with OS and PFS, and conducted harmful effects on nasopharyngeal carcinoma progression and survival. This study suggested that REG1A expression could serve as an independent adverse factor for survival in nasopharyngeal carcinoma. PMID: 29162157
- Reg I may play a role in the maintenance of mucosal barrier function by inducing tight junction proteins such as claudins 3 and 4. PMID: 27055226
- the prognostic value of procalcitonin (PCT), high-sensitivity C-reactive protein (hs-CRP), and pancreatic stone protein (PSP) in children with sepsis, was investigated. PMID: 28358790
- REG1alpha was overexpressed in bladder cancer tissues compared with adjacent normal samples. Downregulation of REG1alpha expression in urothelial bladder cancer can reduce tumor growth, migration, invasion and angiogenesis. PMID: 28209239
- REG-I is expressed in head and neck squamous cell carcinoma and is associated with a longer survival status. PMID: 27539087
- We have established a novel, three-protein biomarker panel that is able to detect patients with early-stage pancreatic cancer in urine specimens:LYVE-1, REG1A, and TFF1 were selected as candidate biomarkers PMID: 26240291
- post-operative serum PSP levels were significantly associated with the presence of infection in both the on-pump and off-pump setting. PMID: 25793700
- REG Ialpha protein may play a role in angiogenesis during progression of gastric cancer PMID: 25813126
- PSP/reg is significantly up-regulated in T2DM patients, and PSP/reg levels are related to the duration of diabetes. PMID: 25234740
- the expression of REG Ialpha and REG Ibeta may be upregulated in human beta cells under inflammatory conditions through the JAK/STAT pathway PMID: 25767811
- Collectively, these findings suggest that REG Ialpha activates c-Jun via the JNK and ERK pathway, thereby enhancing radiosensitivity PMID: 25656613
- Pancreactic stone protein levels were able to diagnose sepsis in patients admitted to intensive care units. PMID: 23531337
- PSP/reg levels were significantly higher in patients with a PELOD score of 12 or higher or in those with multiple organ dysfunction syndrome. Patients who died tended to have higher PSP/reg levels. PMID: 24594294
- REG Ialpha overexpression is a characteristic ofsessile serrated adenoma/polyps of the colon, which appears to reflect aberration of crypt cell compartmentalization. PMID: 24225137
- The effects of REG IA on AD and SCC cells were different in the in vitro study, and a correlation between REG IA expression and patient prognosis was noted in the in vivo study PMID: 24065141
- Reduced REG1A expression is associated with chemosensitivity in advanced thoracic esophageal squamous cell carcinoma. PMID: 23645481
- PSP/reg and CRP are differentially regulated by HNF1A and HNF4A in maturity-onset diabetes of the young PMID: 23803251
- Immunohistochemistry against known cell-type markers on serial sections has localised the expression of REGs to metaplastic Paneth cells (REG1A, REG1B and REG3A) and enteroendocrine cells (REG4), with a marked expansion of expression during inflammation. PMID: 23519454
- Reg family proteins stimulate pancreatic beta cell proliferation. PMID: 24055447
- Autoimmunity to REG Ialpha might play a role in the degeneration of minor salivary gland ductal epithelial cells in primary Sjogren's syndrome. PMID: 23701206
- Regenerating gene (REG) 1 alpha promotes pannus progression in patients with rheumatoid arthritis. PMID: 22203215
- REG 1A and REG 1B were upregulated during amebiasis and may function to protect the intestinal epithelium from parasite-induced apoptosis. PMID: 21586335
- Regenerating islet-derived 1alpha (Reg-1alpha) protein is new neuronal secreted factor that stimulates neurite outgrowth via exostosin Tumor-like 3 (EXTL3) receptor. PMID: 22158612
- Regenerating I protein was highly expressed in pure seminoma and in placental-like alkaline phosphatase-positive seminiferous tubules with in situ carcinoma. PMID: 21683984
- found a significant increase in REG Ialpha in the sera of celiac disease patients when compared with controls PMID: 21867979
- ELISA showed that the serum level of REG1alpha was significantly higher in patients with pancreatic cancer than it was in the normal controls. PMID: 21691750
- Raised serum Reg1alpha protein in type 1 and type 2 diabetes and anti-Reg1alpha antibodies in type 1 diabetes, are reported. PMID: 20972946
- Upregulation of REG Ialpha accelerates tumor progression in pancreatic cancer with diabetes. PMID: 20099282
- REG Ialpha protein may have a pathophysiological role as a biological mediator for immune cell-derived IL-22 in the ulcerative colitis mucosa. PMID: 20065946
- This finding suggests that REG I may act through IL-6 to exert effects on squamous esophageal cancer cell biology. PMID: 20056108
- did not find any association between abnormalities of either reg1 alpha or reg1 beta gene with type 1 diabetes mellitus, fibrocalculous pancreatopathy, or type 2 diabetes mellitus PMID: 11796176
- Characterization, structural analysis and putative functions. Review. PMID: 12369899
- REG expression was reported to be an independent predictor of overall gastric adenocarcinoma patient survival PMID: 15022278
- Reg I alpha protein may play a role in the development of gastric cancers PMID: 15166487
- Reg I was observed not only in pancreatic acinar cells but also in the duct-like cells and dilated duct cells. Reg I expression was linked to acinar cell dedifferentiation. PMID: 15211106
- Analysis of the protein in the bile of patients with pancreaticobiliary maljunction/ choledochal cysts PMID: 15628732
- REG Ialpha gene is inducible by cytokine stimulation and its gene product may function as a mitogenic and/or an antiapoptotic factor in the development of early gastric cancer. PMID: 15765400
- Damaged heart may be a target for Reg action, and Reg may protect against acute heart stress. PMID: 15778284
- Polymorphisms in reg1alpha gene, including the regulatory variants singly or in combination with the known mutations in SPINK1 and/or CTSB genes, are not associated with tropical calcific pancreatitis. PMID: 17990360
- REG Ialpha protein mediated the anti-apoptotic effects of STAT3 signaling in gastric cancer cells by enhancing Akt activation, Bad phosphorylation and Bcl-xL expression PMID: 18024479
- in patients treated with chemoradiotherapy, 8 of 23 REG I-positive patients showed complete responses to chemoradiotherapy; only 1 of 19 REG I-negatives did so; survival rate among REG I-positive patients was significantly better than REG I-negatives PMID: 18259819
- REG expression in Barrett's esophagus. Expression of REG Ialpha was more frequently observed in patients who showed squamous re-epithelialization of Barrett's esophagus at biopsy sites. PMID: 18289358
- REG1A is prognostic molecular marker associated with peritoneal carcinomatosis in colorectal cancer and is significantly raised in peritumoral normal tissue compared to mucosa from healthy individuals, suggesting a molecular field effect of secreted REG1A PMID: 18452172
- The expression of the REG1A gene is closely related to the infiltrating property of primary gastric carcinoma. PMID: 18630596
- Overexpression of REG1A is associated with breast cancer. PMID: 18781363
- REG1A enhances chemo- and radiosensitivity in squamous cell esophageal cancer cells. PMID: 19032369
- Expression of REG Ialpha but not REG IV was an independent predictor of poor outcome in patients with gastric cancer. PMID: 19329938
- The expression of REG gene is closely related to the carcinoma invasiveness of gastric neoplasms. PMID: 14508825
顯示更多
收起更多
-
亞細胞定位:Secreted.
-
組織特異性:In pancreatic acinar cells and, in lower levels, in brain. Enhanced expression of PSP-related transcripts and intraneuronal accumulation of PSP-like proteins is found in brain from Alzheimer disease and Down syndrome patients.
-
數據庫鏈接:
Most popular with customers
-
-
YWHAB Recombinant Monoclonal Antibody
Applications: ELISA, WB, IHC, IF, FC
Species Reactivity: Human, Mouse, Rat
-
Phospho-YAP1 (S127) Recombinant Monoclonal Antibody
Applications: ELISA, WB, IHC
Species Reactivity: Human
-
-
-
-
-















