REC8 Antibody
-
中文名稱:REC8兔多克隆抗體
-
貨號:CSB-PA019535ESR2HU
-
規格:¥440
-
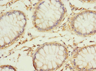
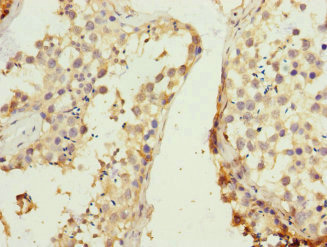
圖片:
-
其他:
產品詳情
-
產品名稱:Rabbit anti-Homo sapiens (Human) REC8 Polyclonal antibody
-
Uniprot No.:
-
基因名:REC8
-
別名:Cohesin Rec8p antibody; Human homolog of rad21 S. pombe antibody; Meiotic recombination and sister chromatid cohesion phosphoprotein of the rad21p family antibody; Meiotic recombination protein REC8 homolog antibody; Meiotic recombination protein REC8-like 1 antibody; rec8 antibody; REC8 homolog (yeast) antibody; REC8 like 1 antibody; REC8_HUMAN antibody; Rec8p antibody; Recombination and sister chromatid cohesion protein homolog antibody
-
宿主:Rabbit
-
反應種屬:Human
-
免疫原:Recombinant Human Meiotic recombination protein REC8 homolog protein (1-270AA)
-
免疫原種屬:Homo sapiens (Human)
-
標記方式:Non-conjugated
-
克隆類型:Polyclonal
-
抗體亞型:IgG
-
純化方式:Antigen Affinity Purified
-
濃度:It differs from different batches. Please contact us to confirm it.
-
保存緩沖液:PBS with 0.02% sodium azide, 50% glycerol, pH7.3.
-
產品提供形式:Liquid
-
應用范圍:ELISA, IHC
-
推薦稀釋比:
Application Recommended Dilution IHC 1:20-1:200 -
Protocols:
-
儲存條件:Upon receipt, store at -20°C or -80°C. Avoid repeated freeze.
-
貨期:Basically, we can dispatch the products out in 1-3 working days after receiving your orders. Delivery time maybe differs from different purchasing way or location, please kindly consult your local distributors for specific delivery time.
-
用途:For Research Use Only. Not for use in diagnostic or therapeutic procedures.
相關產品
靶點詳情
-
功能:Required during meiosis for separation of sister chromatids and homologous chromosomes. Proteolytic cleavage of REC8 on chromosome arms by separin during anaphase I allows for homologous chromosome separation in meiosis I and cleavage of REC8 on centromeres during anaphase II allows for sister chromatid separation in meiosis II.
-
基因功能參考文獻:
- we determined that REC8 interacted with EGR1, and inhibited EMT in gastric cancer cells. We thus propose further studies of the pathways associated with REC8 and EGR1 to potentially find novel targets in the treatment for gastric cancer. PMID: 29393474
- Study confirmed that REC8 was downregulated in gastric neoplasm, especially in the EBV-associated subtype, via promoter methylation. PMID: 27212034
- REC8 being a novel major bona fide tumor suppressor gene and a robust epigenetic target of the PI3K pathway. Aberrant inactivation of REC8 through hypermethylation by the PI3K pathway may represent an important mechanism mediating the oncogenic functions of the PI3K pathway PMID: 26472282
- Indicate that polymorphisms of the Rec 8 gene are not a common cause of severe male factor infertility. PMID: 18570052
- Data show that REC8 is constitutively expressed in tumour cells, along with SGOL1 and SGOL2, and that REC8 becomes modified after irradiation. PMID: 19463812
- The mouse ortholog of REC8L1 is required for proper synapsis of homologous chromosomes during meiosis PMID: 15935783
顯示更多
收起更多
-
亞細胞定位:Nucleus. Chromosome. Chromosome, centromere.
-
蛋白家族:Rad21 family
-
組織特異性:Expressed in testis and thymus. Expressed in the B-cell lines WI-L2-NS and Namalwa (at protein level).
-
數據庫鏈接:
Most popular with customers
-
-
Phospho-YAP1 (S127) Recombinant Monoclonal Antibody
Applications: ELISA, WB, IHC
Species Reactivity: Human
-
-
-
-
-
-















