RBMS3 Antibody
-
中文名稱:RBMS3兔多克隆抗體
-
貨號:CSB-PA998451
-
規格:¥1100
-
圖片:
-
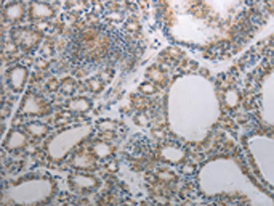
The image on the left is immunohistochemistry of paraffin-embedded Human thyroid cancer tissue using CSB-PA998451(RBMS3 Antibody) at dilution 1/70, on the right is treated with synthetic peptide. (Original magnification: ×200)
-
The image on the left is immunohistochemistry of paraffin-embedded Human liver cancer tissue using CSB-PA998451(RBMS3 Antibody) at dilution 1/70, on the right is treated with synthetic peptide. (Original magnification: ×200)
-
Gel: 10%SDS-PAGE, Lysate: 40 μg, Lane: Human liver cancer tissue, Primary antibody: CSB-PA998451(RBMS3 Antibody) at dilution 1/1000, Secondary antibody: Goat anti rabbit IgG at 1/8000 dilution, Exposure time: 20 seconds
-
-
其他:
產品詳情
-
Uniprot No.:
-
基因名:RBMS3
-
別名:RBMS3 antibody; RNA-binding motif antibody; single-stranded-interacting protein 3 antibody
-
宿主:Rabbit
-
反應種屬:Human,Mouse
-
免疫原:Synthetic peptide of Human RBMS3
-
免疫原種屬:Homo sapiens (Human)
-
標記方式:Non-conjugated
-
抗體亞型:IgG
-
純化方式:Antigen affinity purification
-
濃度:It differs from different batches. Please contact us to confirm it.
-
保存緩沖液:-20°C, pH7.4 PBS, 0.05% NaN3, 40% Glycerol
-
產品提供形式:Liquid
-
應用范圍:ELISA,WB,IHC
-
推薦稀釋比:
Application Recommended Dilution ELISA 1:2000-1:10000 WB 1:1000-1:5000 IHC 1:50-1:100 -
Protocols:
-
儲存條件:Upon receipt, store at -20°C or -80°C. Avoid repeated freeze.
-
貨期:Basically, we can dispatch the products out in 1-3 working days after receiving your orders. Delivery time maybe differs from different purchasing way or location, please kindly consult your local distributors for specific delivery time.
-
用途:For Research Use Only. Not for use in diagnostic or therapeutic procedures.
相關產品
靶點詳情
-
功能:Binds poly(A) and poly(U) oligoribonucleotides.
-
基因功能參考文獻:
- RBMS3 inhibited the proliferation and tumorigenesis of breast cancer cells, at least in part, through inactivation of the Wnt/beta-catenin signaling pathway PMID: 28409548
- These findings implicated that RBMS3 and nuclear HIF1A could act as prognostic biomarkers and therapeutic targets for GC. PMID: 27902480
- We identified rs117026326 on GTF2I with GWAS significance (P = 1.10 x 10(-15)) and rs13079920 on RBMS3 with suggestive significance (P = 2.90 x 10(-5)) associating with Primary Sjogren's syndrome in women. PMID: 27503288
- one interacting gene pair (RBMS3 versus ZNF516) which, even after Bonferroni correction for multiple testing, showed consistently significant effects on hip bone mineral density. PMID: 23045156
- RBMS3 is a novel tumor suppressor gene in lung squamous cell carcinoma PMID: 25588924
- RBMS3 at 3p24 inhibits nasopharyngeal carcinoma development via inhibiting cell proliferation, angiogenesis, and inducing apoptosis PMID: 22957092
- genetic susceptibility plays a role in the pathophysiology of Bisphosphonate-related osteonecrosis of the jaw (BRONJ), with RBMS3 having a significant effect in the risk. PMID: 22267851
- a tumor suppression function for the human RBMS3 gene in esophageal squamous cell carcinoma, acting through c-Myc downregulation, with genetic loss of this gene contributing to poor outcomes in disease PMID: 21844183
- These results suggest that RBMS3, by binding Prx1 mRNA in a sequence-specific manner, controls Prx1 expression and indirectly collagen synthesis. PMID: 17586524
顯示更多
收起更多
-
亞細胞定位:Cytoplasm.
-
組織特異性:Expressed in fetal brain, fetal lung, fetal liver, heart, brain, placenta, lung, liver, muscle, kidney and pancreas.
-
數據庫鏈接:
Most popular with customers
-
-
Phospho-YAP1 (S127) Recombinant Monoclonal Antibody
Applications: ELISA, WB, IHC
Species Reactivity: Human
-
-
-
-
-
-















