RAVER2 Antibody
-
中文名稱:RAVER2兔多克隆抗體
-
貨號:CSB-PA872547LA01HU
-
規格:¥440
-
圖片:
-
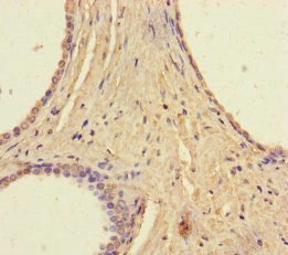
Immunohistochemistry of paraffin-embedded human prostate cancer using CSB-PA872547LA01HU at dilution of 1:100
-
Western Blot
Positive WB detected in: Jurkat whole cell lysate, SH-SY5Y whole cell lysate
All lanes: RAVER2 antibody at 3µg/ml
Secondary
Goat polyclonal to rabbit IgG at 1/50000 dilution
Predicted band size: 75, 73 kDa
Observed band size: 75 kDa -
Immunofluorescent analysis of PC-3 cells using CSB-PA872547LA01HU at dilution of 1:100 and Alexa Fluor 488-congugated AffiniPure Goat Anti-Rabbit IgG(H+L)
-
-
其他:
產品詳情
-
產品名稱:Rabbit anti-Homo sapiens (Human) RAVER2 Polyclonal antibody
-
Uniprot No.:
-
基因名:RAVER2
-
別名:DKFZp762D1011 antibody; FLJ10770 antibody; KIAA1579 antibody; Protein raver 2 antibody; Protein raver-2 antibody; Raver2 antibody; RAVR2_HUMAN antibody; Ribonucleoprotein PTB binding 2 antibody; Ribonucleoprotein PTB-binding 2 antibody
-
宿主:Rabbit
-
反應種屬:Human
-
免疫原:Recombinant Human Ribonucleoprotein PTB-binding 2 protein (2-691AA)
-
免疫原種屬:Homo sapiens (Human)
-
標記方式:Non-conjugated
本頁面中的產品,RAVER2 Antibody (CSB-PA872547LA01HU),的標記方式是Non-conjugated。對于RAVER2 Antibody,我們還提供其他標記。見下表:
-
克隆類型:Polyclonal
-
抗體亞型:IgG
-
純化方式:>95%, Protein G purified
-
濃度:It differs from different batches. Please contact us to confirm it.
-
保存緩沖液:Preservative: 0.03% Proclin 300
Constituents: 50% Glycerol, 0.01M PBS, PH 7.4 -
產品提供形式:Liquid
-
應用范圍:ELISA, WB, IHC, IF
-
推薦稀釋比:
Application Recommended Dilution WB 1:500-1:5000 IHC 1:20-1:200 IF 1:50-1:200 -
Protocols:
-
儲存條件:Upon receipt, store at -20°C or -80°C. Avoid repeated freeze.
-
貨期:Basically, we can dispatch the products out in 1-3 working days after receiving your orders. Delivery time maybe differs from different purchasing way or location, please kindly consult your local distributors for specific delivery time.
-
用途:For Research Use Only. Not for use in diagnostic or therapeutic procedures.
相關產品
靶點詳情
-
功能:May bind single-stranded nucleic acids.
-
基因功能參考文獻:
- Deregulation of LMNB1 expression induces modified splicing of several genes, likely driven by raver-2 overexpression, and suggest that an alteration of mRNA processing could be a pathogenic mechanism in adult-onset autosomal dominant leukodystrophy. PMID: 25637521
- genetic polymorphism is ssociated with increased susceptibility for ulcerative colitis PMID: 22561236
- Together, our results suggest that regulation of human Raver2 expression involves TATA-less transcriptional activity. PMID: 22146317
-
亞細胞定位:Nucleus. Cytoplasm.
-
數據庫鏈接:
Most popular with customers
-
-
YWHAB Recombinant Monoclonal Antibody
Applications: ELISA, WB, IHC, IF, FC
Species Reactivity: Human, Mouse, Rat
-
Phospho-YAP1 (S127) Recombinant Monoclonal Antibody
Applications: ELISA, WB, IHC
Species Reactivity: Human
-
-
-
-
-
VDAC1 Recombinant Monoclonal Antibody
Applications: ELISA, WB, IHC
Species Reactivity: Human, Mouse, Rat















