RASSF9 Antibody
-
中文名稱:RASSF9兔多克隆抗體
-
貨號:CSB-PA258476
-
規格:¥1100
-
圖片:
-
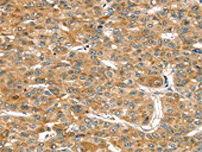
The image on the left is immunohistochemistry of paraffin-embedded Human liver cancer tissue using CSB-PA258476(RASSF9 Antibody) at dilution 1/45, on the right is treated with fusion protein. (Original magnification: ×200)
-
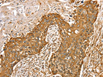
The image on the left is immunohistochemistry of paraffin-embedded Human esophagus cancer tissue using CSB-PA258476(RASSF9 Antibody) at dilution 1/45, on the right is treated with fusion protein. (Original magnification: ×200)
-
-
其他:
產品詳情
-
Uniprot No.:
-
基因名:RASSF9
-
別名:P CIP1 antibody; P-CIP1 antibody; PAM COOH-terminal interactor protein 1 antibody; PCIP antibody; Peptidylglycine alpha amidating monooxygenase COOH terminal interactor antibody; peptidylglycine alpha-amidating monooxygenase COOH terminal interactor protein 1 antibody; Peptidylglycine alpha-amidating monooxygenase COOH-terminal interactor antibody; Ras association (RalGDS/AF 6) domain family (N terminal) member 9 antibody; Ras association domain-containing protein 9 antibody; RASF9_HUMAN antibody; Rassf9 antibody
-
宿主:Rabbit
-
反應種屬:Human,Mouse,Rat
-
免疫原:Fusion protein of Human RASSF9
-
免疫原種屬:Homo sapiens (Human)
-
標記方式:Non-conjugated
-
抗體亞型:IgG
-
純化方式:Antigen affinity purification
-
濃度:It differs from different batches. Please contact us to confirm it.
-
保存緩沖液:-20°C, pH7.4 PBS, 0.05% NaN3, 40% Glycerol
-
產品提供形式:Liquid
-
應用范圍:ELISA,IHC
-
推薦稀釋比:
Application Recommended Dilution ELISA 1:2000-1:5000 IHC 1:50-1:200 -
Protocols:
-
儲存條件:Upon receipt, store at -20°C or -80°C. Avoid repeated freeze.
-
貨期:Basically, we can dispatch the products out in 1-3 working days after receiving your orders. Delivery time maybe differs from different purchasing way or location, please kindly consult your local distributors for specific delivery time.
-
用途:For Research Use Only. Not for use in diagnostic or therapeutic procedures.
相關產品
靶點詳情
-
功能:May play a role in regulating vesicuar trafficking in cells.
-
基因功能參考文獻:
- Our analysis revealed 10 sun-exposure-dependent gene expression quantitative trait loci (se-eQTLs), including genes involved in skin pigmentation (SLC45A2) and epidermal differentiation (RASSF9). PMID: 27760139
-
亞細胞定位:Endosome.
-
數據庫鏈接:
Most popular with customers
-
Phospho-YAP1 (S127) Recombinant Monoclonal Antibody
Applications: ELISA, WB, IHC
Species Reactivity: Human
-
-
-
-
-
-
-















