RASSF7 Antibody
-
中文名稱:RASSF7兔多克隆抗體
-
貨號:CSB-PA447601
-
規格:¥1100
-
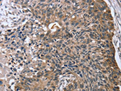
圖片:
-
The image on the left is immunohistochemistry of paraffin-embedded Human esophagus cancer tissue using CSB-PA447601(RASSF7 Antibody) at dilution 1/45, on the right is treated with fusion protein. (Original magnification: ×200)
-
Gel: 8%SDS-PAGE, Lysate: 60 μg, Lane: Raji cells, Primary antibody: CSB-PA447601(RASSF7 Antibody) at dilution 1/800, Secondary antibody: Goat anti rabbit IgG at 1/8000 dilution, Exposure time: 5 seconds
-
-
其他:
產品詳情
-
Uniprot No.:
-
基因名:RASSF7
-
別名:C11orf13 antibody; Chromosome 11 open reading frame 13 antibody; HRAS1 antibody; HRAS1 related cluster 1 antibody; HRAS1 related cluster protein 1 antibody; HRAS1-related cluster protein 1 antibody; HRC1 antibody; MGC126069 antibody; MGC126070 antibody; Ras association (RalGDS/AF 6) domain family (N terminal) member 7 antibody; Ras association (RalGDS/AF 6) domain family 7 antibody; Ras association domain containing protein 7 antibody; Ras association domain-containing protein 7 antibody; RASF7_HUMAN antibody; RASSF 7 antibody; RASSF7 antibody
-
宿主:Rabbit
-
反應種屬:Human
-
免疫原:Fusion protein of Human RASSF7
-
免疫原種屬:Homo sapiens (Human)
-
標記方式:Non-conjugated
-
抗體亞型:IgG
-
純化方式:Antigen affinity purification
-
濃度:It differs from different batches. Please contact us to confirm it.
-
保存緩沖液:-20°C, pH7.4 PBS, 0.05% NaN3, 40% Glycerol
-
產品提供形式:Liquid
-
應用范圍:ELISA,WB,IHC
-
推薦稀釋比:
Application Recommended Dilution ELISA 1:2000-1:5000 WB 1:500-1:2000 IHC 1:25-1:100 -
Protocols:
-
儲存條件:Upon receipt, store at -20°C or -80°C. Avoid repeated freeze.
-
貨期:Basically, we can dispatch the products out in 1-3 working days after receiving your orders. Delivery time maybe differs from different purchasing way or location, please kindly consult your local distributors for specific delivery time.
-
用途:For Research Use Only. Not for use in diagnostic or therapeutic procedures.
相關產品
靶點詳情
-
功能:Negatively regulates stress-induced JNK activation and apoptosis by promoting MAP2K7 phosphorylation and inhibiting its ability to activate JNK. Following prolonged stress, anti-apoptotic effect stops because of degradation of RASSF7 protein via the ubiquitin-proteasome pathway. Required for the activation of AURKB and chromosomal congression during mitosis where it stimulates microtubule polymerization.
-
基因功能參考文獻:
- RASSF7 promotes cell proliferation through activating MEK1/MEK2-ERK1/ERK2 signaling pathway in hepatocellular carcinoma. PMID: 29729697
- Suggest that loss of RASSF7 expression results in apoptosis in nucleus pulposus cells in human intervertebral disc degeneration. PMID: 26884887
- truncated RASSF7 could act as an oncogene in a small subset of tumours where it is mutated in this way. PMID: 26569555
- The RASSF gene family members RASSF5, RASSF6 and RASSF7 show frequent DNA methylation in neuroblastoma. PMID: 22695170
- RASSF7 acts in concert with N-Ras to constitute a stress-sensitive temporary mechanism of apoptotic regulation. PMID: 21278800
- RASSF7 regulates the microtubule cytoskeleton and is required for spindle formation, Aurora B activation and chromosomal congression during mitosis. PMID: 20629633
- rare alleles of HRas1 minisatellite are associated with increased risk of papillary thyroid cancer formation in children and adolescents after Chernobyl accident PMID: 15098441
顯示更多
收起更多
-
亞細胞定位:Cytoplasm, cytoskeleton, microtubule organizing center, centrosome. Note=Colocalizes with gamma-tubulin.
-
數據庫鏈接:
Most popular with customers
-
-
YWHAB Recombinant Monoclonal Antibody
Applications: ELISA, WB, IHC, IF, FC
Species Reactivity: Human, Mouse, Rat
-
Phospho-YAP1 (S127) Recombinant Monoclonal Antibody
Applications: ELISA, WB, IHC
Species Reactivity: Human
-
-
-
-
-















