RASSF6 Antibody
-
中文名稱:RASSF6兔多克隆抗體
-
貨號:CSB-PA754570ESR2HU
-
規格:¥440
-
圖片:
-
Immunohistochemistry of paraffin-embedded human ovarian cancer using CSB-PA754570ESR2HU at dilution of 1:100
-
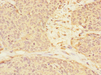
Immunohistochemistry of paraffin-embedded human prostate cancer using CSB-PA754570ESR2HU at dilution of 1:100
-
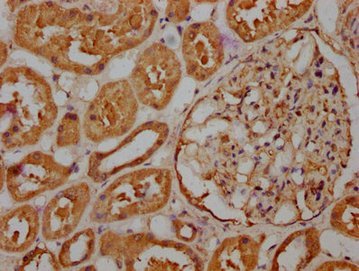
IHC image of CSB-PA754570ESR2HU diluted at 1:263 and staining in paraffin-embedded human kidney tissue performed on a Leica BondTM system. After dewaxing and hydration, antigen retrieval was mediated by high pressure in a citrate buffer (pH 6.0). Section was blocked with 10% normal goat serum 30min at RT. Then primary antibody (1% BSA) was incubated at 4°C overnight. The primary is detected by a biotinylated secondary antibody and visualized using an HRP conjugated SP system.
-
-
其他:
產品詳情
-
產品名稱:Rabbit anti-Homo sapiens (Human) RASSF6 Polyclonal antibody
-
Uniprot No.:
-
基因名:
-
別名:RASSF6 antibody; Ras association domain-containing protein 6 antibody
-
宿主:Rabbit
-
反應種屬:Human
-
免疫原:Recombinant Human Ras association domain-containing protein 6 protein (1-303AA)
-
免疫原種屬:Homo sapiens (Human)
-
標記方式:Non-conjugated
-
克隆類型:Polyclonal
-
抗體亞型:IgG
-
純化方式:Antigen Affinity Purified
-
濃度:It differs from different batches. Please contact us to confirm it.
-
保存緩沖液:PBS with 0.02% sodium azide, 50% glycerol, pH7.3.
-
產品提供形式:Liquid
-
應用范圍:ELISA, IHC
-
推薦稀釋比:
Application Recommended Dilution IHC 1:20-1:500 -
Protocols:
-
儲存條件:Upon receipt, store at -20°C or -80°C. Avoid repeated freeze.
-
貨期:Basically, we can dispatch the products out in 1-3 working days after receiving your orders. Delivery time maybe differs from different purchasing way or location, please kindly consult your local distributors for specific delivery time.
-
用途:For Research Use Only. Not for use in diagnostic or therapeutic procedures.
相關產品
靶點詳情
-
功能:Involved in the induction of apoptosis, through both caspase-dependent and caspase-independent pathways. May act as a Ras effector protein. May suppress the serum-induced basal levels of NF-kappa-B.
-
基因功能參考文獻:
- RASSF6 is down-regulated and exhibits tumor suppressor activities in hepatocellular carcinoma. PMID: 27983932
- Study reports the interaction of BCL-XL with RASSF6. BCL-XL inhibits the interaction between RASSF6 and MDM2 and suppresses p53 expression. Consequently, BCL-XL antagonizes RASSF6-mediated apoptosis. Thus, the inhibition of RASSF6-mediated apoptosis also underlies the prosurvival role of BCL-XL. PMID: 29193479
- Data suggest that Ras-association domain family protein 6 (RASSF6) may serve as a candidate against tumor growth for sporadic colorectal cancer (sCRC). PMID: 27009808
- RASSF6 and RASSF10 were frequently hypermethylated in the samples at the time of diagnosis of adult acute lymphoblastic leukemia patients PMID: 28869817
- Overexpression or silencing of RASSF6 could partially reverse the effects of the overexpression or repression of miR-181a-5p on GC progress caused by activation of the MAKP pathway in vitro and in vivo. PMID: 28043911
- Results suggest that down-regulation of RASSF2, and RASSF6 is a tumor-specific phenomenon and their inactivation through CpG island methylation may play important roles in gastric cardia carcinogenesis. PMID: 26456015
- Mechanistic investigation shows that RASSF6 triggers p21(Cip1/Waf1) accumulation to induce G 1 cell cycle arrest and promote apoptosis upon exposure to pro-apoptotic agents, and both of these mechanisms appear to be mediated by activated JNK signaling. PMID: 24626183
- RASSF6 expression is an independent biomarker of an unfavorable prognosis in patients with pancreatic ductal adenocarcinoma. PMID: 26074700
- RASSF6 exhibits promoter hypermethylation in metastatic melanoma and inhibits invasion in melanoma cells.RASSF6 exhibits the highest frequency of inactivation in melanoma and in melanoma brain metastases. PMID: 25482183
- downregulation of RASSF6 in highly metastatic nasopharyngeal carcinoma cells contributed to their treatment resistance PMID: 25028967
- RASSF6-induced apoptosis partially depends on p53. RASSF6 binds MDM2 and facilitates its ubiquitination. RASSF6 depletion blocks the increase of p53 in response to UV exposure and up-regulation of p53 target genes. PMID: 24003224
- Decreased expression of RASSF6 is associated with gastric cancer. PMID: 21442347
- These findings indicate that RASSF6 is implicated in apoptosis in HeLa cells and that it triggers both caspase-dependent and caspase-independent pathways. PMID: 17367779
- Demonstrates properties of a Ras effector and tumor suppressor but exhibits biological properties that are unique and distinct from those of other family members. PMID: 17404571
- Sequencing revealed RASSF6 and RASSF10 were the only RASSF members with a high frequency of leukaemia-specific methylation. PMID: 19570220
- activation of MST2 causes apoptosis through the Hippo pathway, as well as through a RASSF6-mediated pathway PMID: 19797269
顯示更多
收起更多
-
組織特異性:Highest expression in thymus, kidney and placenta. Also detected in colon, small intestine and lung. Tends to be down-regulated in 30-60% of tumors derived from breast, colon, kidney liver, rectum, pancreas, stomach and the thyroid gland compared to the n
-
數據庫鏈接:
Most popular with customers
-
-
YWHAB Recombinant Monoclonal Antibody
Applications: ELISA, WB, IHC, IF, FC
Species Reactivity: Human, Mouse, Rat
-
Phospho-YAP1 (S127) Recombinant Monoclonal Antibody
Applications: ELISA, WB, IHC
Species Reactivity: Human
-
-
-
-
-















