RASSF3 Antibody
-
中文名稱:RASSF3兔多克隆抗體
-
貨號:CSB-PA801247LA01HU
-
規格:¥440
-
圖片:
-
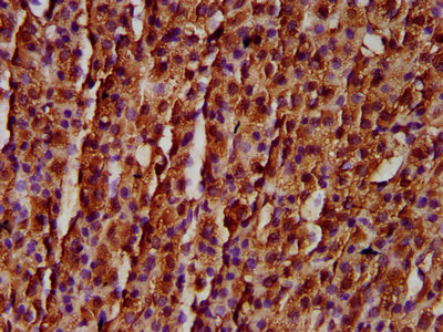
IHC image of CSB-PA801247LA01HU diluted at 1:300 and staining in paraffin-embedded human adrenal gland tissue performed on a Leica BondTM system. After dewaxing and hydration, antigen retrieval was mediated by high pressure in a citrate buffer (pH 6.0). Section was blocked with 10% normal goat serum 30min at RT. Then primary antibody (1% BSA) was incubated at 4°C overnight. The primary is detected by a biotinylated secondary antibody and visualized using an HRP conjugated SP system.
-
Immunofluorescence staining of A549 cells with CSB-PA801247LA01HU at 1:100, counter-stained with DAPI. The cells were fixed in 4% formaldehyde, permeabilized using 0.2% Triton X-100 and blocked in 10% normal Goat Serum. The cells were then incubated with the antibody overnight at 4°C. The secondary antibody was Alexa Fluor 488-congugated AffiniPure Goat Anti-Rabbit IgG(H+L).
-
-
其他:
產品詳情
-
產品名稱:Rabbit anti-Homo sapiens (Human) RASSF3 Polyclonal antibody
-
Uniprot No.:
-
基因名:RASSF3
-
別名:MGC119194 antibody; MGC119195 antibody; MGC119197 antibody; Ras association (RalGDS/AF 6) domain family 3 antibody; Ras association domain containing protein 3 antibody; Ras association domain-containing protein 3 antibody; RASF3_HUMAN antibody; Rassf3 antibody
-
宿主:Rabbit
-
反應種屬:Human
-
免疫原:Recombinant Human Ras association domain-containing protein 3 protein (2-109AA)
-
免疫原種屬:Homo sapiens (Human)
-
標記方式:Non-conjugated
本頁面中的產品,RASSF3 Antibody (CSB-PA801247LA01HU),的標記方式是Non-conjugated。對于RASSF3 Antibody,我們還提供其他標記。見下表:
-
克隆類型:Polyclonal
-
抗體亞型:IgG
-
純化方式:>95%, Protein G purified
-
濃度:It differs from different batches. Please contact us to confirm it.
-
保存緩沖液:Preservative: 0.03% Proclin 300
Constituents: 50% Glycerol, 0.01M PBS, pH 7.4 -
產品提供形式:Liquid
-
應用范圍:ELISA, IHC, IF
-
推薦稀釋比:
Application Recommended Dilution IHC 1:200-1:500 IF 1:50-1:200 -
Protocols:
-
儲存條件:Upon receipt, store at -20°C or -80°C. Avoid repeated freeze.
-
貨期:Basically, we can dispatch the products out in 1-3 working days after receiving your orders. Delivery time maybe differs from different purchasing way or location, please kindly consult your local distributors for specific delivery time.
-
用途:For Research Use Only. Not for use in diagnostic or therapeutic procedures.
相關產品
靶點詳情
-
基因功能參考文獻:
- low expression is associated with malignant phenotypes in non-small cell lung cancer patients PMID: 24246507
- Taken together, these findings indicate that the RASSF3 promoter rs6581580 T>G SNP is potentially functional, modulating susceptibility to SCCHN among non-Hispanic whites. PMID: 24295637
- hypermethylation-induced RASSF3 silencing plays an important role in the tumorigenesis of pituitary somatotroph adenomas. PMID: 23555615
- tumor suppressor activity of RASSF3, which occurs through p53 stabilization and regulation of apoptosis and the cell cycle. PMID: 22593196
- Observational study of gene-disease association. (HuGE Navigator) PMID: 20237496
- Mammary tumor incidence in bi-transgenic mice is delayed, suggesting that transgenic Rassf3 may influence mammary tumor incidence in transgenic mice PMID: 19148488
- The presence of a Ras association domain common to NORE1,RASSF1, and RASSF3 suggests their possible involvement inRas-like signaling pathways. PMID: 11965544
顯示更多
收起更多
-
亞細胞定位:Cytoplasm. Cytoplasm, cytoskeleton. Note=Localized to microtubules in vascular endothelial cells.
-
組織特異性:Widely expressed.
-
數據庫鏈接:
Most popular with customers
-
-
YWHAB Recombinant Monoclonal Antibody
Applications: ELISA, WB, IHC, IF, FC
Species Reactivity: Human, Mouse, Rat
-
Phospho-YAP1 (S127) Recombinant Monoclonal Antibody
Applications: ELISA, WB, IHC
Species Reactivity: Human
-
-
-
-
-















