RASGEF1A Antibody
-
中文名稱:RASGEF1A兔多克隆抗體
-
貨號:CSB-PA829156
-
規格:¥1100
-
圖片:
-
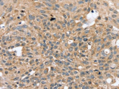
The image on the left is immunohistochemistry of paraffin-embedded Human breast cancer tissue using CSB-PA829156(RASGEF1A Antibody) at dilution 1/20, on the right is treated with fusion protein. (Original magnification: ×200)
-
The image on the left is immunohistochemistry of paraffin-embedded Human thyroid cancer tissue using CSB-PA829156(RASGEF1A Antibody) at dilution 1/20, on the right is treated with fusion protein. (Original magnification: ×200)
-
-
其他:
產品詳情
-
Uniprot No.:
-
基因名:RASGEF1A
-
別名:CG4853 gene product antibody; Ras-GEF domain-containing family member 1A antibody; RasGEF domain family, member 1A antibody; rasgef1a antibody; RGF1A_HUMAN antibody
-
宿主:Rabbit
-
反應種屬:Human
-
免疫原:Fusion protein of Human RASGEF1A
-
免疫原種屬:Homo sapiens (Human)
-
標記方式:Non-conjugated
-
抗體亞型:IgG
-
純化方式:Antigen affinity purification
-
濃度:It differs from different batches. Please contact us to confirm it.
-
保存緩沖液:-20°C, pH7.4 PBS, 0.05% NaN3, 40% Glycerol
-
產品提供形式:Liquid
-
應用范圍:ELISA,IHC
-
推薦稀釋比:
Application Recommended Dilution ELISA 1:2000-1:5000 IHC 1:20-1:100 -
Protocols:
-
儲存條件:Upon receipt, store at -20°C or -80°C. Avoid repeated freeze.
-
貨期:Basically, we can dispatch the products out in 1-3 working days after receiving your orders. Delivery time maybe differs from different purchasing way or location, please kindly consult your local distributors for specific delivery time.
-
用途:For Research Use Only. Not for use in diagnostic or therapeutic procedures.
相關產品
靶點詳情
-
功能:Guanine nucleotide exchange factor (GEF) with specificity for RAP2A, KRAS, HRAS, and NRAS (in vitro). Plays a role in cell migration.
-
基因功能參考文獻:
- analyzed residues that allow RasGEF1 proteins to discriminate between Rap1 and Rap2, and identified Phe39 in the switch I region of Rap2 as a specificity residue. PMID: 19645719
-
組織特異性:Detected in brain and spinal cord. Highly expressed in a number of intrahepatic cholangiocarcinoma tissue biopsies.
-
數據庫鏈接:
Most popular with customers
-
-
Phospho-YAP1 (S127) Recombinant Monoclonal Antibody
Applications: ELISA, WB, IHC
Species Reactivity: Human
-
-
-
-
-
-















