RASAL1 Antibody
-
中文名稱:RASAL1兔多克隆抗體
-
貨號:CSB-PA912569
-
規格:¥1100
-
圖片:
-
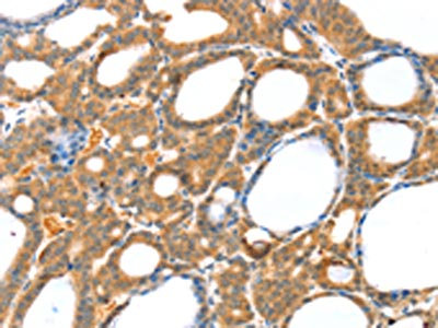
The image on the left is immunohistochemistry of paraffin-embedded Human thyroid cancer tissue using CSB-PA912569(RASAL1 Antibody) at dilution 1/20, on the right is treated with fusion protein. (Original magnification: ×200)
-
The image on the left is immunohistochemistry of paraffin-embedded Human liver cancer tissue using CSB-PA912569(RASAL1 Antibody) at dilution 1/20, on the right is treated with fusion protein. (Original magnification: ×200)
-
-
其他:
產品詳情
-
Uniprot No.:
-
基因名:
-
別名:GAP1 like protein antibody; MRASAL antibody; RAS GTPase activating protein like antibody; RAS protein activator like 1 (GAP1 like) antibody; RAS protein activator like 1 antibody; RASAL antibody; Rasal1 antibody; rasGAP activating like protein 1 antibody; RasGAP-activating-like protein 1 antibody; RASGAP1 LIKE antibody; RASL1_HUMAN antibody
-
宿主:Rabbit
-
反應種屬:Human,Mouse
-
免疫原:Fusion protein of Human RASAL1
-
免疫原種屬:Homo sapiens (Human)
-
標記方式:Non-conjugated
-
抗體亞型:IgG
-
純化方式:Antigen affinity purification
-
濃度:It differs from different batches. Please contact us to confirm it.
-
保存緩沖液:-20°C, pH7.4 PBS, 0.05% NaN3, 40% Glycerol
-
產品提供形式:Liquid
-
應用范圍:ELISA,IHC
-
推薦稀釋比:
Application Recommended Dilution ELISA 1:2000-1:5000 IHC 1:20-1:100 -
Protocols:
-
儲存條件:Upon receipt, store at -20°C or -80°C. Avoid repeated freeze.
-
貨期:Basically, we can dispatch the products out in 1-3 working days after receiving your orders. Delivery time maybe differs from different purchasing way or location, please kindly consult your local distributors for specific delivery time.
-
用途:For Research Use Only. Not for use in diagnostic or therapeutic procedures.
相關產品
靶點詳情
-
功能:Probable inhibitory regulator of the Ras-cyclic AMP pathway. Plays a role in dendrite formation by melanocytes.
-
基因功能參考文獻:
- Domain topology of human Rasal PMID: 28885980
- HIF1alpha and transforming growth factor (TGF)/SMAD signalling pathways synergistically regulate hypoxia-induced endothelial-to-mesenchymal transition through both DNMT3a-mediated hypermethylation of RASAL1 promoter and direct SNAIL induction. PMID: 27012941
- RASAL1 role in in sorafenib-resistance of liver cancer cells PMID: 27878301
- our study showed significantly longer overall survival times for oesophagogastric adenocarcinoma patients without RASAL1 expression PMID: 28011578
- DNA methylation, TGFbeta1 and RASAL1 appear to have an interacting relationship. PMID: 27124111
- Report a new subtype of high-grade mandibular osteosarcoma with RASAL1/MDM2 amplification. PMID: 26997440
- These findings suggest that Ebp1 suppressed thyroid cancer cell lines by upregulating RASRAL expression. PMID: 26008146
- large chromosome 12 rearrangement, spanning MDM2 and RASAL1, is the first recurrent molecular abnormality to be reported in juvenile ossifying fibroma PMID: 24925056
- Loss of RASAL1 expression is associated with gastric carcinogenesis. PMID: 25735335
- Transcriptional suppression of RASAL1 through aberrant promoter methylation contributes to endothelial-mesenchymal transition and ultimately to progression of cardiac fibrosis. PMID: 25616414
- Promoter hypermethylation of the RASAL1 gene was detected in MKN-28, SGC-790l and BGC-823 cancer cells. PMID: 24377515
- It is a tumor suppressor gene which influences the proliferation and invasion of gastric cancer by regulating RAS/ERK signaling pathway. PMID: 24531877
- Germline RASAL1 alterations are uncommon in patients with Cowden syndrome but may not be infrequent in patients with apparently sporadic follicular-variant papillary thyroid cancer. PMID: 24712574
- We identified RASAL1 as a major tumor suppressor gene that is frequently inactivated by hypermethylation and mutations, providing a new alternative genetic background for thyroid cancer, particularly FTC and ATC. PMID: 24136889
- Hypermethylations of RASAL1 and KLOTHO is associated with renal dysfunction in a Chinese population environmentally exposed to cadmium PMID: 23665422
- decreased RASAL1 expression is a characteristic of gastric cancer and regulated by epigenetic mechanisms PMID: 22825043
- Ras GTPase activating (RasGAP) activity of the dual specificity GAP protein Rasal requires colocalization and C2 domain binding to lipid membranes. PMID: 23251034
- Reduced expression of RAS protein activator like-1 is associated with gastric cancer. PMID: 20473946
- Galpha and Gbeta gamma require distinct Src-dependent pathways for its activation PMID: 12221082
- RASAL preservs of Ca2+ frequency information PMID: 16009725
- RASAL constitutes a tumor suppressor gene and therefore further emphasized the importance of Ca(2+) in the regulation of Ras signaling and has established that deregulation of this pathway is an important step in Ras-mediated tumorigenesis PMID: 17640920
- Decreased expression of the RAS-GTPase activating protein RASAL1 is associated with colorectal tumor progression. PMID: 18992247
顯示更多
收起更多
-
組織特異性:Highly expressed in thyroid and adrenal medulla, lower expression in brain, spinal cord and trachea. Expressed in melanocytes.
-
數據庫鏈接:
Most popular with customers
-
Phospho-YAP1 (S127) Recombinant Monoclonal Antibody
Applications: ELISA, WB, IHC
Species Reactivity: Human
-
-
-
-
-
-
-















