RAMP3 Antibody
-
中文名稱:RAMP3兔多克隆抗體
-
貨號:CSB-PA869855
-
規格:¥1100
-
圖片:
-
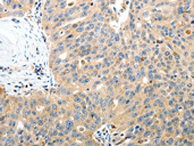
The image on the left is immunohistochemistry of paraffin-embedded Human ovarian cancer tissue using CSB-PA869855(RAMP3 Antibody) at dilution 1/40, on the right is treated with fusion protein. (Original magnification: ×200)
-
The image on the left is immunohistochemistry of paraffin-embedded Human thyroid cancer tissue using CSB-PA869855(RAMP3 Antibody) at dilution 1/40, on the right is treated with fusion protein. (Original magnification: ×200)
-
-
其他:
產品詳情
-
Uniprot No.:
-
基因名:
-
別名:RAMP3; Receptor activity-modifying protein 3; Calcitonin-receptor-like receptor activity-modifying protein 3; CRLR activity-modifying protein 3
-
宿主:Rabbit
-
反應種屬:Human,Mouse,Rat
-
免疫原:Fusion protein of Human RAMP3
-
免疫原種屬:Homo sapiens (Human)
-
標記方式:Non-conjugated
-
抗體亞型:IgG
-
純化方式:Antigen affinity purification
-
濃度:It differs from different batches. Please contact us to confirm it.
-
保存緩沖液:-20°C, pH7.4 PBS, 0.05% NaN3, 40% Glycerol
-
產品提供形式:Liquid
-
應用范圍:ELISA,IHC
-
推薦稀釋比:
Application Recommended Dilution ELISA 1:2000-1:5000 IHC 1:50-1:200 -
Protocols:
-
儲存條件:Upon receipt, store at -20°C or -80°C. Avoid repeated freeze.
-
貨期:Basically, we can dispatch the products out in 1-3 working days after receiving your orders. Delivery time maybe differs from different purchasing way or location, please kindly consult your local distributors for specific delivery time.
-
用途:For Research Use Only. Not for use in diagnostic or therapeutic procedures.
相關產品
靶點詳情
-
功能:Plays a role in cardioprotection by reducing cardiac hypertrophy and perivascular fibrosis in a GPER1-dependent manner. Transports the calcitonin gene-related peptide type 1 receptor (CALCRL) and GPER1 to the plasma membrane. Acts as a receptor for adrenomedullin (AM) together with CALCRL.
-
基因功能參考文獻:
- The expression of RAMP3 is downregulated in the fetal lung with increasing gestational age. PMID: 24169318
- the RAMP3 TMD participates in the negative regulation of CLR/RAMP3 internalization. PMID: 22445753
- Data show that LOXL2 and RAMP3 are strongly coexpressed in human colon, breast, and gastric carcinomas but not in normal colon or gastric epithelial cells. PMID: 20802105
- This study provides insight into the role of three amino acid changes in human RAMP3. PMID: 20034525
- Morphological fluorescence techniques, bioluminescence resonance energy transfer, and bimolecular fluorescence complementation analysis demonstrate that the secretin receptor associates specifically with RAMP3, but not with RAMP1 or RAMP2. PMID: 19886671
- RAMP3 interacts with N-ethylmaleimide-sensitive factor to cause the change in trafficking PMID: 15613468
- results, using both endogenous and overexpressed cellular models, indicate a novel function for NHERF-1 and RAMP3 in the internalization of the adrenomedullin receptor and suggest additional regulatory mechanisms for receptor trafficking PMID: 15805108
- Identification of RAMP3 residues for adrenomedjullin receptors are reported. PMID: 18593822
顯示更多
收起更多
-
亞細胞定位:Cell membrane; Single-pass type I membrane protein. Membrane; Single-pass type I membrane protein. Note=Moves from intracellular puncta to the plasma membrane in a RAMP3-dependent manner.
-
蛋白家族:RAMP family
-
組織特異性:Strongly expressed in lung, breast, immune system and fetal tissues.
-
數據庫鏈接:
Most popular with customers
-
-
YWHAB Recombinant Monoclonal Antibody
Applications: ELISA, WB, IHC, IF, FC
Species Reactivity: Human, Mouse, Rat
-
Phospho-YAP1 (S127) Recombinant Monoclonal Antibody
Applications: ELISA, WB, IHC
Species Reactivity: Human
-
-
-
-
-















