RAD51 Antibody
-
中文名稱:RAD51兔多克隆抗體
-
貨號:CSB-PA283902
-
規格:¥1100
-
圖片:
-
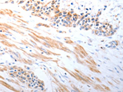
The image on the left is immunohistochemistry of paraffin-embedded Human cervical cancer tissue using CSB-PA283902(RAD51 Antibody) at dilution 1/30, on the right is treated with synthetic peptide. (Original magnification: ×200)
-
The image on the left is immunohistochemistry of paraffin-embedded Human esophagus cancer tissue using CSB-PA283902(RAD51 Antibody) at dilution 1/30, on the right is treated with synthetic peptide. (Original magnification: ×200)
-
-
其他:
產品詳情
-
Uniprot No.:
-
基因名:RAD51
-
別名:BRCA1/BRCA2 containing complex; subunit 5 antibody; BRCC 5 antibody; BRCC5 antibody; DNA repair protein RAD51 homolog 1 antibody; DNA repair protein rhp51 antibody; FANCR antibody; hRAD51 antibody; HsRAD51 antibody; HsT16930 antibody; MRMV2 antibody; Rad 51 antibody; RAD51 antibody; RAD51 homolog (RecA homolog; E. coli) (S. cerevisiae) antibody; RAD51 homolog A antibody; RAD51 homolog antibody; RAD51 recombinase antibody; RAD51; S. cerevisiae; homolog of antibody; RAD51_HUMAN antibody; RAD51A antibody; RECA antibody; RecA like protein antibody; RecA; E. coli; homolog of antibody; Recombination protein A antibody
-
宿主:Rabbit
-
反應種屬:Human,Mouse
-
免疫原:Synthetic peptide of Human RAD51
-
免疫原種屬:Homo sapiens (Human)
-
標記方式:Non-conjugated
-
抗體亞型:IgG
-
純化方式:Antigen affinity purification
-
濃度:It differs from different batches. Please contact us to confirm it.
-
保存緩沖液:-20°C, pH7.4 PBS, 0.05% NaN3, 40% Glycerol
-
產品提供形式:Liquid
-
應用范圍:ELISA,IHC
-
推薦稀釋比:
Application Recommended Dilution ELISA 1:1000-1:5000 IHC 1:25-1:100 -
Protocols:
-
儲存條件:Upon receipt, store at -20°C or -80°C. Avoid repeated freeze.
-
貨期:Basically, we can dispatch the products out in 1-3 working days after receiving your orders. Delivery time maybe differs from different purchasing way or location, please kindly consult your local distributors for specific delivery time.
-
用途:For Research Use Only. Not for use in diagnostic or therapeutic procedures.
相關產品
靶點詳情
-
功能:Plays an important role in homologous strand exchange, a key step in DNA repair through homologous recombination (HR). Binds to single and double-stranded DNA and exhibits DNA-dependent ATPase activity. Catalyzes the recognition of homology and strand exchange between homologous DNA partners to form a joint molecule between a processed DNA break and the repair template. Binds to single-stranded DNA in an ATP-dependent manner to form nucleoprotein filaments which are essential for the homology search and strand exchange. Part of a PALB2-scaffolded HR complex containing BRCA2 and RAD51C and which is thought to play a role in DNA repair by HR. Plays a role in regulating mitochondrial DNA copy number under conditions of oxidative stress in the presence of RAD51C and XRCC3. Also involved in interstrand cross-link repair.
-
基因功能參考文獻:
- Evidence has been provided that the majority of the Cas9-induced single nicks at the target DNA strand rely on RAD51 and BRCA2 for efficient and scar-less DNA repair. PMID: 28067217
- RAD51 135G>C polymorphism is not associated with colorectal cancer. PMID: 29893328
- Data show that short ssDNA traverses the nuclear membrane, but is drawn into the nucleus by binding to the DNA replication and repair factors replication protein A (RPA) and Rad51 recombinase (Rad51). PMID: 27230542
- region in the N terminus of BRCA2 exhibits DNA binding activity and promotes RAD51-mediated homologous recombination PMID: 27628236
- We have identified and characterised a novel DNA damage response mechanism in melanoma. Instead of increasing levels of RAD51 on encountering cisplatin-induced interstrand crosslinks during replication, melanoma cells shut down RAD51 synthesis and instead boost levels of translesion synthesis DNA polymerase zeta to allow replication to proceed PMID: 29254481
- Twenty-one different deleterious variants were identified in the RAD51 paralogs in 30 patients with ovarian and/or beast cancer. PMID: 29255180
- he results of the study indicate that Akt1 seems to be a regulatory component in the homologous recombination (HR) repair of DNA double-strand break in a Rad51-dependent manner. PMID: 29156644
- RAD51 135G/C polymorphism was a risk factor for the three common gynecological tumors, especially for endometrial cancer among hospital-based populations. PMID: 29952992
- Fanconi anemia-associated RAD51 mutants are defective at stalled fork protection. Mutant RAD51 nucleoprotein filaments are unstable due to aberrant ATP binding and hydrolysis. PMID: 29020621
- Inactivation of homologous recombination factors BRCA1, BRCA2, or RAD51 hypersensitizes cells to acetaldehyde treatment, in spite of the Fanconi anemia pathway being functional. PMID: 28729482
- DNA sequencing was performed for six single-nucleotide polymorphisms in the GSTP1, RAD51, XRCC1 and XRCC3 genes in BC patients and the control group. Two variants in the 5'-UTR of the XRCC3 and RAD51 genes showed a significant association with susceptibility to breast cancer. Additionally, authors reported 2 mutations in intron 7 of the XRCC3 gene. PMID: 28315507
- our data demonstrated for the first time that inhibition of RAD51 suppressed the cervical cancer cell proliferation and the growth of cervical cancer xenografts by attenuating cell cycle transition, which could be a functional link between RAD51 and cyclin D1 and p21. PMID: 28627709
- Low RAD51 gene expression is associated with breast cancer. PMID: 28058614
- (-)-Guaiol is involved in cell autophagy to regulate the expression of RAD51, leading to double-strand breaks triggered cell apoptosis PMID: 27566579
- Report a requirement for PARP2 in stabilizing replication forks that encounter base excision repair (BER) intermediates through Fbh1-dependent regulation of Rad51. Whereas PARP2 is dispensable for tolerance of cells to single stranded breaks or homologous recombination dysfunction, it is redundant with PARP1 in BER. PMID: 29467415
- Histone deacetylases 1 and 2 cooperate in regulating BRCA1, CHK1, and RAD51 expression in acute myeloid leukemia cells. PMID: 28030834
- BRCA1-BARD1 mutants with weakened RAD51 interactions show compromised DNA joint formation and impaired mediation of homologous recombination and DNA repair in cells; results identify a late role of BRCA1-BARD1 in homologous recombination, an attribute of the tumour suppressor complex that could be targeted in cancer therapy PMID: 28976962
- Our data suggest that in both BRCA1-mutant and BRCA1-wild-type TNBCs, CSCs are relatively resistant to PARP inhibition. This resistance is mediated by RAD51, suggesting that strategies aimed at targeting RAD51 may increase the therapeutic efficacy of PARPi PMID: 28034904
- Data show that the combination of targeting RAD51 and p38 inhibits cell proliferation both in vitro and in vivo, which was further enhanced by targeting of PARP1. PMID: 27507046
- Data suggest that oleandrin may be a potential anti-tumor agent by suppressing the expression of RAD51 recombinase. PMID: 27449097
- we demonstrated that Y54 phosphorylation enhances the RAD51 recombinase activity by at least two different mechanisms, modifies the RAD51 nucleoprotein filament formation, and allows RAD51 to compete efficiently with ssDNA binding protein RPA. PMID: 27671650
- Mutations F86L & E258A affect the multimerization/BRCA2 binding region of RAD51.Both variants exhibit altered thermal stability,reduced DNA binding affinity,reduced ATPase activity compared to wild-type. F86L efficiently catalyzes DNA strand exchange reactions,whereas strand exchange activity of E258A is severely reduced.Mixtures of either variant with wild-type RAD51 exhibit strong defects in DNA strand exchange activity PMID: 29100040
- Data indicate that lupus autoantibody 3E10 directly binds to the N-terminus of RAD51 recombinase, sequesters RAD51 in the cytoplasm, and impedes RAD51 binding to DNA. PMID: 29036688
- Study suggested that RAD51, XRCC1, and XRCC3 polymorphisms may be predictive factors for radiation-induced acute toxicity in rectal cancer patients treated with preoperative combined therapy. PMID: 25811296
- n metastatic high grade clear cell carcinoma, this expression was more pronounced. Though we could not demonstrate direct correlation, we showed that epigenetic modification by methylation is associated with decreased genomic translation of Rad51. PMID: 27170370
- our study provides a strong rationale for targeting RAD51-mediated repair to specifically radiosensitize GSCs. PMID: 28076755
- The anti-recombinase activity of BLM is of general importance for normal retention of RAD51 at DNA double strand break sites and regulation of homologous recombination. PMID: 28912125
- Results showed that the expression of RAD51 is both nuclear and cytoplasmic and it varies among breast cancer (BC) phenotypes. Lack of RAD51 nuclear expression is associated with poor prognostic parameters and shorter survival in invasive BC patients suggesting that RAD51 might play a role in BC development and progression. PMID: 27464795
- USP21 interacts with, deubiquitinates and stabilizes BRCA2 to promote efficient RAD51 loading at DNA double-strand breaks. PMID: 28743957
- CTC1/STN1/TEN1 (CST) deficiency diminishes HU-induced RAD51 foci formation. PMID: 27487043
- These results underscore the importance of RAD51 in radioresistance of glioblastoma stem cells PMID: 27495836
- PLAUR to be essential for activation of Checkpoint kinase 1 (CHK1); maintenance of cell cycle arrest after DNA damage in a TP53-dependent manner; expression, nuclear import and recruitment to DNA-damage foci of RAD51 recombinase, the principal protein involved in the homologous recombination repair pathway. PMID: 27685627
- By antagonizing RAD51 at forks, RADX allows cells to maintain a high capacity for homology-directed repair while ensuring that replication functions of RAD51 are properly regulated. Thus, RADX is essential to achieve the proper balance of RAD51 activity to maintain genome stability. PMID: 28735897
- E3 ligase RFWD3 functions in timely removal and degradation of RPA and RAD51 to allow homologous recombination progression to subsequent steps following mitomycin C damage. PMID: 28575658
- In the absence of RAD51, the unprotected newly replicated genome is degraded by the exonuclease activity of MRE11, and the fragmented nascent DNA accumulates in the cytosol, initiating an innate immune response. PMID: 28334891
- Architectural plasticity of human BRCA2-RPA-RAD51 complexes in DNA break repair has been described. PMID: 28168276
- cyclin D1 and other cyclins such as cyclin A regulates DNA integrity through RAD51 interaction with the BRCA2 C-terminal domain PMID: 26387543
- Upregulation of RAD51 and overexpression of Ki67 may be associated with the progression of thyroid cancer. PMID: 28502582
- Data suggest that RAD51, BRCA2, and BRCA1 promote stability of nascent DNA at replication forks; RAD51 prevents MRE11 nuclease-mediated degradation of nascent ssDNA; BRCA2 displaces RPA (replication protein A) complex by recruiting RAD51 to protect ssDNA; BRCA1 promotes repair foci following DNA damage and is essential for cell survival. (BRCA = breast cancer recombination protein; RAD51 = Rad51 recombinase) [REVIEW] PMID: 28079255
- Data suggest RAD52 binds tightly to RPA/ssDNA complex in presynaptic complex and inhibits RPA turnover; during presynaptic complex assembly, most of RPA and RAD52 is displaced from ssDNA, but some RAD52/RPA/ssDNA complexes persist as interspersed clusters surrounded by RAD51 filaments. (RAD52 = Rad52 DNA repair/recombination protein; RPA = replication protein A; ssDNA = single-stranded DNA; RAD51 = Rad51 recombinase) PMID: 28551686
- High RAD51 expression is associated with drug Resistance in Malignant Melanoma. PMID: 26980768
- Cryo-EM analyses of human RAD51 in different states of the DNA-strand-exchange process and structures of presynaptic and postsynaptic complexes of RAD51 at near-atomic resolution. PMID: 27941862
- By specifically regulating RAD51 activity at uncoupled replication forks, MMS22L-TONSL stabilizes perturbed replication forks by promoting replication fork reversal and stimulating their homologous recombination-mediated restart in vivo. PMID: 27797818
- S100A11 is involved in homologous recombination by regulating the appearance of RAD51 in double strand break repair sites. PMID: 27590262
- HsRAD51 NPF which may form on nucleosome bound dsDNA can have profound effects on the dynamic nature of nucleosomes, and may even facilitate the recruitment of other factors such as homologous HsRAD51-ssDNA NPFs or HsRAD54. PMID: 27738136
- ubiquitination of RAD51 hinders RAD51-BRCA2 interaction, while deubiquitination of RAD51 facilitates RAD51-BRCA2 binding and RAD51 recruitment and thus is critical for proper homologous recombination PMID: 27941124
- NEK8 plays a critical role in replication fork stability through its regulation of the DNA repair and replication fork protection protein RAD51. PMID: 27892797
- we demonstrate that BCCIPbeta induces a conformational change within the RAD51 filament that promotes release of ADP to help maintain an active presynaptic filament. Our findings reveal a functional role for BCCIPbeta as a RAD51 accessory factor in HR. PMID: 27694622
- It has been concluded that stable binding and/or the melting of secondary DNA structures by RPA1 is required for DNA repair, including RAD51-mediated DNA strand exchange, but is dispensable for DNA replication. PMID: 27131385
- Results suggest that cell cycle progression and proliferation of HeLa cells can be tightly controlled by the abundance of RAD51 and RAD54 proteins, which are essential for the rapid response to postreplicative stress and DNA damage stress. PMID: 28190324
顯示更多
收起更多
-
相關疾病:Breast cancer (BC); Mirror movements 2 (MRMV2); Fanconi anemia, complementation group R (FANCR)
-
亞細胞定位:Nucleus. Cytoplasm. Cytoplasm, perinuclear region. Mitochondrion matrix. Chromosome. Cytoplasm, cytoskeleton, microtubule organizing center, centrosome.
-
蛋白家族:RecA family, RAD51 subfamily
-
組織特異性:Highly expressed in testis and thymus, followed by small intestine, placenta, colon, pancreas and ovary. Weakly expressed in breast.
-
數據庫鏈接:
Most popular with customers
-
-
YWHAB Recombinant Monoclonal Antibody
Applications: ELISA, WB, IHC, IF, FC
Species Reactivity: Human, Mouse, Rat
-
Phospho-YAP1 (S127) Recombinant Monoclonal Antibody
Applications: ELISA, WB, IHC
Species Reactivity: Human
-
-
-
-
-















