RAD50 Antibody
-
中文名稱:RAD50兔多克隆抗體
-
貨號:CSB-PA075718
-
規格:¥1100
-
圖片:
-
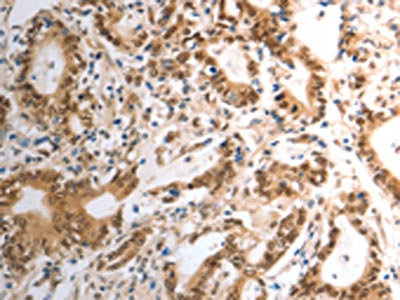
The image on the left is immunohistochemistry of paraffin-embedded Human colon cancer tissue using CSB-PA075718(RAD50 Antibody) at dilution 1/40, on the right is treated with synthetic peptide. (Original magnification: ×200)
-
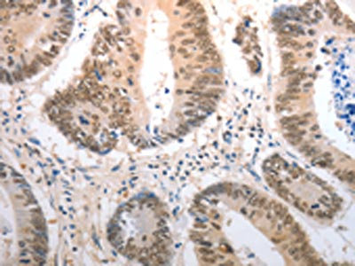
The image on the left is immunohistochemistry of paraffin-embedded Human gastric cancer tissue using CSB-PA075718(RAD50 Antibody) at dilution 1/40, on the right is treated with synthetic peptide. (Original magnification: ×200)
-
Gel: 8%SDS-PAGE, Lysate: 40 μg, Lane 1-5: 293T cells, Hela cells, K562 cells, NIH/3T3 cells, RAW264.7 cells, Primary antibody: CSB-PA075718(RAD50 Antibody) at dilution 1/900, Secondary antibody: Goat anti rabbit IgG at 1/8000 dilution, Exposure time: 5 minutes
-
-
其他:
產品詳情
-
Uniprot No.:
-
基因名:
-
別名:DNA repair protein RAD50 antibody; hRAD50 antibody; hsRAD50 antibody; Mrell antibody; NBSLD antibody; Rad 50 antibody; RAD50 2 antibody; rad50 antibody; RAD50 homolog (S cerevisiae) antibody; RAD50 homolog antibody; RAD50 PEN antibody; RAD50, S. cerevisiae, homolog of antibody; RAD50_HUMAN antibody; RAD502 antibody; Rad50l antibody; Truncated RAD50 protein antibody
-
宿主:Rabbit
-
反應種屬:Human,Mouse,Rat
-
免疫原:Synthetic peptide of Human RAD50
-
免疫原種屬:Homo sapiens (Human)
-
標記方式:Non-conjugated
-
抗體亞型:IgG
-
純化方式:Antigen affinity purification
-
濃度:It differs from different batches. Please contact us to confirm it.
-
保存緩沖液:-20°C, pH7.4 PBS, 0.05% NaN3, 40% Glycerol
-
產品提供形式:Liquid
-
應用范圍:ELISA,WB,IHC
-
推薦稀釋比:
Application Recommended Dilution ELISA 1:2000-1:10000 WB 1:500-1:2000 IHC 1:50-1:200 -
Protocols:
-
儲存條件:Upon receipt, store at -20°C or -80°C. Avoid repeated freeze.
-
貨期:Basically, we can dispatch the products out in 1-3 working days after receiving your orders. Delivery time maybe differs from different purchasing way or location, please kindly consult your local distributors for specific delivery time.
-
用途:For Research Use Only. Not for use in diagnostic or therapeutic procedures.
相關產品
靶點詳情
-
功能:Component of the MRN complex, which plays a central role in double-strand break (DSB) repair, DNA recombination, maintenance of telomere integrity and meiosis. The complex possesses single-strand endonuclease activity and double-strand-specific 3'-5' exonuclease activity, which are provided by MRE11. RAD50 may be required to bind DNA ends and hold them in close proximity. This could facilitate searches for short or long regions of sequence homology in the recombining DNA templates, and may also stimulate the activity of DNA ligases and/or restrict the nuclease activity of MRE11 to prevent nucleolytic degradation past a given point. The complex may also be required for DNA damage signaling via activation of the ATM kinase. In telomeres the MRN complex may modulate t-loop formation.
-
基因功能參考文獻:
- Expression levels of MRN complex proteins(MRE11/RAD50/NBS1) significantly predict disease-free survival in rectal cancer patients, including those treated with neoadjuvant radiotherapy, and may have value in the management of these patients. PMID: 30176843
- These data suggest that RAD50 foci formation in CTCs and CAMLs may be used to track cells subjected to radiation occurring at primary tumors, and following PD-L1 expression in circulating cells may be used as a surrogate for tracking adaptive changes in immunotherapeutic targets. PMID: 28679765
- These evidences suggest that NBS1 is regulated by two kind of mechanisms: complex formation dependent on ATM, and protein degradation mediated by an unknown MG132-resistant pathway. PMID: 28369484
- Five out of twelve patients with defects in either of MSH2, RAD50 and NBN genes suffered from rare life-threatening AE, more frequently than in control group (p = 0.0005). When all detected variants were taken into account, the majority of patients (8 out of 15) suffered from life-threatening toxicity during chemotherapy. PMID: 28376765
- Low RAD50 expression is associated with low-grade epithelial ovarian cancer. PMID: 28073364
- although recruitment of the MRE11-RAD50-NBS1 (MRN) DSB-sensing complex to viral genomes and activation of the ATM kinase can promote KSHV replication, proteins involved in nonhomologous end joining (NHEJ) repair restrict amplification of viral DNA. PMID: 28855246
- Mre11-Rad50-Nbs1 complex initiates DNA double strand break repair. PMID: 28867292
- symmetrical engagement of the Rad50 catalytic head domains with ATP bound at both sites is important for MRN functions in eukaryotic cells. PMID: 28369545
- The results illuminate the important role of Nbs1 and CtIP in determining the substrates and consequences of human Mre11/Rad50 nuclease activities on protein-DNA lesions. PMID: 27814491
- identification of a novel association for longevity in the RAD50/IL13 region on chromosome 5q31.1; the lead SNP rs2706372 is located in the intronic region of the RAD50 gene and is in strong linkage disequilibrium with other associated SNPs close to IL13 and IL5 PMID: 27004735
- the structure of the human Rad50 hook and coiled-coil domains, was determined. PMID: 28134932
- although Mre11 is required for efficient HR-dependent repair of ionizing-radiation-induced DSBs, Mre11 is largely dispensable for DSB resection in both chicken DT40 and human TK6 B cell lines. PMID: 27311583
- The high expression of MRE11-RAD50-NBS1 complex constituents could be a predictor for poor prognosis and chemoresistance in gastric cancer PMID: 27798884
- Germline mutation in RAD50 gene is associated with familial breast cancer. PMID: 26824983
- The MRN complex is essential to restrain MYCN-induced replication stress during neural cell proliferation. PMID: 26068589
- The C allele of rs6871536 was positively associated with atopic asthma in a Chinese population. PMID: 26493291
- study identified the copy number deletion of RAD50 as a candidate marker for survival PMID: 27016230
- Lack of association between RAD50-IL13 polymorphisms and pediatric asthma susceptibility in Northeastern Han Chinese PMID: 26365633
- we present an in-depth genomic and functional genetic analysis identifying RAD50 hypomorphism as a contributing factor to a curative response to systemic combination therapy in a patient with recurrent, metastatic small-cell cancer. PMID: 24934408
- a significant increase in DKC1, RAD50, MRE11 and RPA1 expression in MM cases with high bone marrow infiltration (p=0.03) and a tendency towards cases with advanced ISS stage PMID: 26366868
- RAD50 is required for ataxia-telangiectasia and Rad3-related (ATR) activation in mammalian cells in response to DNA replication stress. It is in turn phosphorylated at a specific site (S635) by ATR, which is required for ATR signaling through Chk1. PMID: 24694934
- These results suggest that MRE11 is important in maintaining the structural arrangement of RAD50 in the protein complex and perhaps has a role in reinforcing proper alignment of the coiled coils in the ATP-bound state. PMID: 25828805
- Furthermore, they collectively help to explain how MRN regulates DNA repair pathway choice. [review] PMID: 25576492
- The results did not confirm the previously reported association between the RAD50 SNP Rs2237060 and the development of either common variable immunodeficiency or selective IgA deficiency. PMID: 26310047
- ). We find that RAD50 and INPP4B expression levels have a synergistic influence on breast cancer survival, possibly through their effects on treatment response. PMID: 25528023
- SNP (rs17166050) in RAD50 gene is associated with the susceptibility to acute lymphoid leukemia in children PMID: 26014697
- This work demonstrates that the Mre11-Rad50-Nbs1 DNA repair complex positively regulates AAV replication and plays a role in the integration of adeno-associated airus in the presence of herpes simplex virus 1. PMID: 25903339
- ATP switches the Mre11-Rad50-Nbs1 repair factor between signaling and processing of DNA ends. (Review) PMID: 25213441
- Results suggest that BRCA1 participates in ALT through its interactions with RAD50 and BLM. PMID: 25084169
- These data establish that MRE11A, RAD50, and NBN are intermediate-risk breast cancer susceptibility genes. PMID: 24894818
- These results articulate a model of inhibition of adeno-associated virus gene expression in which physical interaction of viral DNA with Mre11/Rad50/Nbs1 complex is more important than enzymatic activity. PMID: 25320294
- RAD50 abrogation impairs DNA damage response and sensitizes breast cancer cells to cisplatin-combined therapies. PMID: 24642965
- this study reports a direct cytosolic interaction between the DNA-damage sensor Rad50 and the innate immune system adaptor CARD9. PMID: 24777530
- Common genetic variations in the MRE11 and RAD50 genes do not contribute to an increased risk of laryngeal cancer. PMID: 24079363
- The formerly reported sequence variants in the RAD50 and MRE11 gene may not constitute a risk factor of childhood ALL in Polish population. PMID: 24093751
- Rad17 is phosphorylated by ATM at Thr622 resulting in a direct interaction of Rad17 with NBS1, facilitating recruitment of MRE11, RAD50 and ATM to the DNA double-strand breaks. PMID: 24534091
- Immunohistochemistry was performed for MRE11, RAD50 and NIBRIN PMID: 23954013
- The RAD50 gene was screened for mutations in well-characterized, Finnish, high-risk hereditary breast and/or ovarian cancer individuals. PMID: 21356067
- The Mre11-Rad50-Nbs1 (MRN) complex further stimulates resection in the presence of Ku and DNA-PKcs by recruiting Exo1 and enhancing DNA-PKcs autophosphorylation, and it also inhibits DNA ligase IV/XRCC4-mediated end rejoining. PMID: 24220101
- The association of asthma with variation near RAD50/IL13, first discovered in individuals of European ancestry, replicates in individuals of African ancestry. PMID: 23666277
- Ataxia telangiectasia-mutated (ATM) kinase activity is regulated by ATP-driven conformational changes in the Mre11/Rad50/Nbs1 (MRN) complex. PMID: 23525106
- Rad50 zinc hook is important for the Mre11 complex to bind chromosomal DNA double-stranded breaks and initiate various DNA damage responses PMID: 22833675
- Adenovirus 5 regulates sumoylation of Mre11-Rad50-Nbs1 components through a paralog-specific mechanism. PMID: 22740413
- The staining features of Rad50, a component of an essential DNA double-strand break repair complex, are clearly increased in melanoma cells with regards to both staining intensity and the number of positive melanoma cells PMID: 22725639
- germline variants of RAD50 and NBS1 in non-BRCA1/2 high-risk families were not correlated with a breast cancer susceptibility in a cohort of Chinese women. PMID: 21811815
- Carriers of the RAD50 haplotype may be susceptible to the DNA-damaging effects of radiation therapy associated with radiation-induced breast cancer. PMID: 21898661
- Human Ku70/80 protein blocks exonuclease 1-mediated DNA resection in the presence of human Mre11 or Mre11/Rad50 protein complex. PMID: 22179609
- RAD50, DNA-PKcs kinase activity, and transcription context are each important to limit incorrect end use during EJ repair of multiple DSBs, but each has distinct roles during repair events requiring end processing PMID: 22027841
- Studies indicate that RAD50 and PTPRE of crude associations with asthma at a Bonferroni-corrected level of significance, while IL4R, CCL5 and TBXA2R of nominal significance. PMID: 21734400
- phosphorylation of Rad50 plays a key regulatory role as an adaptor for specific ATM-dependent downstream signaling through SMC1 for DNA repair and cell cycle checkpoint control in the maintenance of genome integrity. PMID: 21757780
顯示更多
收起更多
-
相關疾病:Nijmegen breakage syndrome-like disorder (NBSLD)
-
亞細胞定位:Nucleus. Chromosome, telomere. Chromosome.
-
蛋白家族:SMC family, RAD50 subfamily
-
組織特異性:Expressed at very low level in most tissues, except in testis where it is expressed at higher level. Expressed in fibroblasts.
-
數據庫鏈接:
Most popular with customers
-
-
YWHAB Recombinant Monoclonal Antibody
Applications: ELISA, WB, IHC, IF, FC
Species Reactivity: Human, Mouse, Rat
-
-
-
-
-
-















