RACGAP1 Antibody
-
中文名稱:RACGAP1兔多克隆抗體
-
貨號:CSB-PA884432DSR2HU
-
規格:¥440
-
圖片:
-
Western blot
All lanes: RACGAP1 antibody at 2.68 μg/ml
+ Raji whole cell lysate
Secondary
Goat polyclonal to rabbit IgG at 1/10000 dilution
Predicted band size: 71 kDa
Observed band size: 71, 40 kDa -
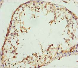
Immunohistochemistry of paraffin-embedded human testis tissue using CSB-PA884432DSR2HU at dilution of 1:100
-
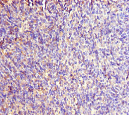
Immunohistochemistry of paraffin-embedded human thymus tissue using CSB-PA884432DSR2HU at dilution of 1:100
-
-
其他:
產品詳情
-
產品名稱:Rabbit anti-Homo sapiens (Human) RACGAP1 Polyclonal antibody
-
Uniprot No.:
-
基因名:RACGAP1
-
別名:CYK4 antibody; GAP antibody; Gap1 antibody; GTPase activating protein antibody; HsCYK-4 antibody; ID GAP antibody; KIAA1478 antibody; Male germ cell RacGap antibody; MgcRacGAP antibody; Protein CYK4 homolg antibody; Protein CYK4 homolog antibody; Rac GTPase activating protein 1 antibody; Rac GTPase-activating protein 1 antibody; RACGAP 1 antibody; Racgap1 antibody; RGAP1_HUMAN antibody
-
宿主:Rabbit
-
反應種屬:Human
-
免疫原:Recombinant Human Rac GTPase-activating protein 1 protein (353-632AA)
-
免疫原種屬:Homo sapiens (Human)
-
標記方式:Non-conjugated
-
克隆類型:Polyclonal
-
抗體亞型:IgG
-
純化方式:Antigen Affinity Purified
-
濃度:It differs from different batches. Please contact us to confirm it.
-
保存緩沖液:PBS with 0.02% sodium azide, 50% glycerol, pH7.3.
-
產品提供形式:Liquid
-
應用范圍:ELISA, WB, IHC
-
推薦稀釋比:
Application Recommended Dilution WB 1:1000-1:5000 IHC 1:20-1:200 -
Protocols:
-
儲存條件:Upon receipt, store at -20°C or -80°C. Avoid repeated freeze.
-
貨期:Basically, we can dispatch the products out in 1-3 working days after receiving your orders. Delivery time maybe differs from different purchasing way or location, please kindly consult your local distributors for specific delivery time.
-
用途:For Research Use Only. Not for use in diagnostic or therapeutic procedures.
相關產品
靶點詳情
-
功能:Component of the centralspindlin complex that serves as a microtubule-dependent and Rho-mediated signaling required for the myosin contractile ring formation during the cell cycle cytokinesis. Required for proper attachment of the midbody to the cell membrane during cytokinesis. Plays key roles in controlling cell growth and differentiation of hematopoietic cells through mechanisms other than regulating Rac GTPase activity. Also involved in the regulation of growth-related processes in adipocytes and myoblasts. May be involved in regulating spermatogenesis and in the RACGAP1 pathway in neuronal proliferation. Shows strong GAP (GTPase activation) activity towards CDC42 and RAC1 and less towards RHOA. Essential for the early stages of embryogenesis. May play a role in regulating cortical activity through RHOA during cytokinesis. May participate in the regulation of sulfate transport in male germ cells.
-
基因功能參考文獻:
- RACGAP1 promotes proliferation of hepatocellular carcinoma cells by reducing activation of the Hippo and YAP pathways and promoting cytokinesis in coordination with nuclear basket protein, TPR. PMID: 30009820
- The rs615382 variant disrupts the recombination signal binding protein with immunoglobulin kappa J binding site in Rac GTPase activating protein 1. Disruption of notch 1 mediated-repression of RACGAP1 may contribute to Prostate Cancer in African Americans. PMID: 29695400
- Study showed that a subset of epithelial ovarian cancer (EOC) patients have RacGAP1 overexpression which is associated with advanced tumor stages and poor clinical outcomes. Also, RacGAP1 can positively regulate the activation of RhoA and Erk proteins, thus up-enhance the migration and invasion process of EOC. PMID: 29095547
- Data show that comparing with Ki-67 and TOP2A, RacGAP1 allowed for a clearer prognostic statement. PMID: 27259241
- RACGAP1 promotes the metastatic phenotype in uterine carcinosarcoma via a STAT3/survivin signaling pathway. PMID: 27121792
- High RACGAP1 expression is associated with Basal-like Breast Cancers. PMID: 27216196
- This study showed that the overexpressions of Ki67, RacGAP1, and TOP2a affect the prognosis of female breast cancer patients adversely PMID: 27284123
- Data confirmed a strong correlation of AURKA and Wnt-modulator RACGAP1 gene expression both in the gastric tumor, the tumor-adjacent and the tumor-distant mucosa. PMID: 26778597
- RacGAP1 Is a Novel Downstream Effector of E2F7-Dependent Resistance to Doxorubicin and Is Prognostic for Overall Survival in Squamous Cell Carcinoma PMID: 26018753
- RACGAP1 expression levels in the nucleus and cytoplasm, determined by immunohistochemical staining, predict opposite clinical outcomes and that both could be independent prognostic markers for colorectal cancer. PMID: 26508373
- central spindle assembly and 2 Plk1-dependent phosphorylations are required to establish efficient binding of the Ect2 BRCT in early cytokinesis. PMID: 25486482
- RacGAP1 expression at the invasive front in gastric cancer was significantly correlated with factors reflecting tumor progression and poor prognosis.RACGAP1 gene expression in diffuse type gastric cancer was elevated. PMID: 24615626
- RacGAP1 mediated endothelial barrier function loss and melanoma transmigration in a focal adhesion-dependent manner.RacGAP1 activation mediates focal adhesion assembly and actin stress fiber formation. PMID: 25475728
- High RacGAP1 expression was an independent predictive marker for lymph node metastasis, recurrence and poor prognosis in colorectal cancer patients. PMID: 25568185
- HCV viral protein NS5B polymerase activity was significantly reduced by silencing RacGAP1 and, vice versa, was increased by overexpression of RacGAP1 in a cell-based reporter assay. PMID: 25305482
- We show that some are new substrates of the anaphase-promoting complex/cyclosome and validate KIFC1 and RacGAP1/Cyk4 as two such targets involved respectively in timely mitotic spindle disassembly and cell spreading PMID: 24857844
- MgcRacGAP colocalizes with CGN and CGNL1 at TJs and forms a complex and interacts directly in vitro with CGN and CGNL1. PMID: 24807907
- High expression of RACGAP1 is associated with meningiomas. PMID: 23525949
- APC(CDH1) targets MgcRacGAP for destruction in the late M phase. PMID: 23696789
- The crystal structure of the GAP domain of MgcRacGAP has been determined at a resolution of 1.9A; MgcRacGAP (residues 348-546) exists as a monomer in solution. PMID: 23665020
- In untreated patients, Ki67, TOP2A, and RacGAP1 are significant and independent prognostic markers. PMID: 23135572
- High RACGAP1 mRNA expression (above the median) was associated with poor disease-free survival and overall survival in high risk early breast cancer PMID: 23096218
- MKlp1-CYK4 centralspindlin complex is a guanosine triphosphatase-activating protein (GAP) for Rac1 and not RhoA. PMID: 22945935
- several Rho family small GTPases activate PI3K by an indirect cooperative positive feedback that required a combination of Rac, CDC42, and RhoG small GTPase activities PMID: 22683270
- the level of RACGAP1 expression is sufficient to predict the early recurrence of HCC. PMID: 21825042
- The plexin-B1/Rac interaction inhibits PAK activation and enhances Sema4D ligand binding PMID: 11937491
- This enzyme is down-regulated by estradiol. PMID: 12493759
- Expression of a GTPase-activating protein (GAP)-deficient mutant (R386A) of MgcRacGAP induces abnormal cortical activity during cytokinesis in U2OS cells. Multiple large blebs were observed in cells expressing MgcRacGAP R386A. PMID: 14729465
- data reveal an important role for MgcRacGAP in STAT3 activation, and demonstrate that MgcRacGAP regulates IL-6-induced cellular differentiation in which STAT3 plays a pivotal role PMID: 15284113
- MgcRacGAP regulates the activation and function of Cdc42 in mitosis. PMID: 15642749
- H-Ras-specific activation of Rac-MKK3/6-p38 pathway has a role in invasion and migration of breast epithelial cells PMID: 15677464
- intracellular Ca2+ is mobilized by sphingosine 1 phosphate and mediates rac activation and adherens junction assembly in endothelial cells PMID: 15728185
- beta 2 chimerin has a role in rac-GAP-dependent inhibition of breast cancer cell proliferation PMID: 15863513
- activation of Vav1-Rac signaling pathway by CXCL12 represents an important inside-out event controlling efficient up-regulation of alpha4beta1-dependent T lymphocyte adhesion PMID: 15872091
- Cdk1 inactivation is sufficient to activate a signaling pathway leading to cytokinesis, which emanates from mitotic spindles and is regulated by ECT2, MgcRacGAP, and RhoA PMID: 16118207
- MgcRacGAP controls the initiation of cytokinesis by regulating ECT2, which in turn induces the assembly of the contractile ring and triggers the ingression of the cleavage furrow PMID: 16129829
- This study defines a cellular mechanism that links centralspindlin to Cep55, which, in turn, controls the midbody structure and membrane fusion at the terminal stage of cytokinesis. PMID: 16790497
- These findings demonstrate that HIF-1alpha function is negatively affected by its interaction with MgcRacGAP. PMID: 17982282
- report here that (i) MgcRacGAP is phosphorylated by Aurora B and Cdk1, (ii) PP2A dephosphorylates Aurora B and Cdk1 phosphorylated sites and (iii) inhibition of PP2A abrogates MgcRacGAP/Ect2 interaction PMID: 18201571
- Study demonstrates that FIP3 and ECT2 form mutually exclusive complexes with Cyk-4 and that dissociation of ECT2 from the mid-body at late telophase may be required for the recruitment of FIP3 and recycling endosomes to the cleavage furrow. PMID: 18511905
- study reports that mitotic complex genes Ect2, RacGAP, and MKLP1 are coordinately induced in S phase in proliferating T lymphocytes as well as in epithelial cells, depending upon activity of the CUX1 and E2F1 transcription factors PMID: 19015243
- MKLP1 interacts with CYK4, a GTPase activating protein for the Rho GTPase, to form the centralspindlin complex. Centralspindlin is a key regulator of Rho function and microtubule organisation during cytokinesis, and is essential for cell division. PMID: 11782313
顯示更多
收起更多
-
亞細胞定位:Nucleus. Cytoplasm. Cytoplasm, cytoskeleton, spindle. Cytoplasmic vesicle, secretory vesicle, acrosome. Cleavage furrow. Midbody, Midbody ring. Cell membrane; Peripheral membrane protein; Cytoplasmic side.
-
組織特異性:Highly expressed in testis, thymus and placenta. Expressed at lower levels in spleen and peripheral blood lymphocytes. In testis, expression is restricted to germ cells with the highest levels of expression found in spermatocytes. Expression is regulated
-
數據庫鏈接:
Most popular with customers
-
-
YWHAB Recombinant Monoclonal Antibody
Applications: ELISA, WB, IHC, IF, FC
Species Reactivity: Human, Mouse, Rat
-
Phospho-YAP1 (S127) Recombinant Monoclonal Antibody
Applications: ELISA, WB, IHC
Species Reactivity: Human
-
-
-
-
-















