RAC1 Antibody
-
中文名稱:RAC1兔多克隆抗體
-
貨號:CSB-PA04329A0Rb
-
規格:¥440
-
圖片:
-
Immunohistochemistry of paraffin-embedded human tonsil tissue using CSB-PA04329A0Rb at dilution of 1:100
-
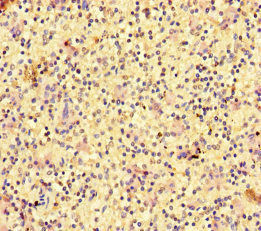
Immunohistochemistry of paraffin-embedded human spleen tissue using CSB-PA04329A0Rb at dilution of 1:100
-
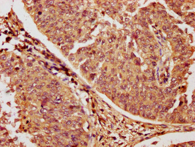
IHC image of CSB-PA04329A0Rb diluted at 1:1200 and staining in paraffin-embedded human cervical cancer performed on a Leica BondTM system. After dewaxing and hydration, antigen retrieval was mediated by high pressure in a citrate buffer (pH 6.0). Section was blocked with 10% normal goat serum 30min at RT. Then primary antibody (1% BSA) was incubated at 4°C overnight. The primary is detected by a biotinylated secondary antibody and visualized using an HRP conjugated SP system.
-
Immunofluorescence staining of Hela cells with CSB-PA04329A0Rb at 1:400, counter-stained with DAPI. The cells were fixed in 4% formaldehyde, permeabilized using 0.2% Triton X-100 and blocked in 10% normal Goat Serum. The cells were then incubated with the antibody overnight at 4°C. The secondary antibody was Alexa Fluor 488-congugated AffiniPure Goat Anti-Rabbit IgG(H+L).
-
-
其他:
產品詳情
-
產品名稱:Rabbit anti-Homo sapiens (Human) RAC1 Polyclonal antibody
-
Uniprot No.:
-
基因名:
-
別名:Cell migration inducing gene 5 protein antibody; Cell migration-inducing gene 5 protein antibody; MGC111543 antibody; MIG5 antibody; Migration inducing gene 5 antibody; Migration inducing protein 5 antibody; p21 Rac1 antibody; p21-Rac1 antibody; Rac 1 antibody; RAC1 antibody; RAC1_HUMAN antibody; Ras like protein TC25 antibody; Ras related C3 botulinum toxin substrate 1 (rho family; small GTP binding protein Rac1) antibody; Ras-like protein TC25 antibody; Ras-related C3 botulinum toxin substrate 1 antibody; Rho family small GTP binding protein Rac1 antibody; TC 25 antibody; TC25 antibody
-
宿主:Rabbit
-
反應種屬:Human
-
免疫原:Recombinant Human Ras-related C3 botulinum toxin substrate 1 protein (11-185AA)
-
免疫原種屬:Homo sapiens (Human)
-
標記方式:Non-conjugated
本頁面中的產品,RAC1 Antibody (CSB-PA04329A0Rb),的標記方式是Non-conjugated。對于RAC1 Antibody,我們還提供其他標記。見下表:
-
克隆類型:Polyclonal
-
抗體亞型:IgG
-
純化方式:>95%, Protein G purified
-
濃度:It differs from different batches. Please contact us to confirm it.
-
保存緩沖液:Preservative: 0.03% Proclin 300
Constituents: 50% Glycerol, 0.01M PBS, PH 7.4 -
產品提供形式:Liquid
-
應用范圍:ELISA, IHC, IF
-
推薦稀釋比:
Application Recommended Dilution IHC 1:100-1:1200 IF 1:200-1:500 -
Protocols:
-
儲存條件:Upon receipt, store at -20°C or -80°C. Avoid repeated freeze.
-
貨期:Basically, we can dispatch the products out in 1-3 working days after receiving your orders. Delivery time maybe differs from different purchasing way or location, please kindly consult your local distributors for specific delivery time.
-
用途:For Research Use Only. Not for use in diagnostic or therapeutic procedures.
相關產品
靶點詳情
-
功能:Plasma membrane-associated small GTPase which cycles between active GTP-bound and inactive GDP-bound states. In its active state, binds to a variety of effector proteins to regulate cellular responses such as secretory processes, phagocytosis of apoptotic cells, epithelial cell polarization, neurons adhesion, migration and differentiation, and growth-factor induced formation of membrane ruffles. Rac1 p21/rho GDI heterodimer is the active component of the cytosolic factor sigma 1, which is involved in stimulation of the NADPH oxidase activity in macrophages. Essential for the SPATA13-mediated regulation of cell migration and adhesion assembly and disassembly. Stimulates PKN2 kinase activity. In concert with RAB7A, plays a role in regulating the formation of RBs (ruffled borders) in osteoclasts. In podocytes, promotes nuclear shuttling of NR3C2; this modulation is required for a proper kidney functioning. Required for atypical chemokine receptor ACKR2-induced LIMK1-PAK1-dependent phosphorylation of cofilin (CFL1) and for up-regulation of ACKR2 from endosomal compartment to cell membrane, increasing its efficiency in chemokine uptake and degradation. In neurons, is involved in dendritic spine formation and synaptic plasticity. In hippocampal neurons, involved in spine morphogenesis and synapse formation, through local activation at synapses by guanine nucleotide exchange factors (GEFs), such as ARHGEF6/ARHGEF7/PIX. In synapses, seems to mediate the regulation of F-actin cluster formation performed by SHANK3. In neurons, plays a crucial role in regulating GABA(A) receptor synaptic stability and hence GABAergic inhibitory synaptic transmission through its role in PAK1 activation and eventually F-actin stabilization.; Isoform B has an accelerated GEF-independent GDP/GTP exchange and an impaired GTP hydrolysis, which is restored partially by GTPase-activating proteins. It is able to bind to the GTPase-binding domain of PAK but not full-length PAK in a GTP-dependent manner, suggesting that the insertion does not completely abolish effector interaction.
-
基因功能參考文獻:
- Authors found that miR-885-5p was a direct target of hsa_circ_0004458, and silencing of hsa_circ_0004458 inhibited PTC cell proliferation by miR-885-5p. Authors also demonstrated that RAC1 was a direct target of miR-885-5p and silencing of RAC1 suppressed PTC cell proliferation. PMID: 30086127
- MiR-142-3p promotes cellular invasion in colorectal cancer cells by activating RAC1. PMID: 30064309
- A functional interplay between HACE1 and Rac1 in cancer, is reported. PMID: 28317937
- Results suggest that transient receptor potential vanilloid 4 (TRPV4) accelerates glioma migration and invasion through the AKT/Rac1 signaling, and TRPV4 might be considered as a potential target for glioma therapy. PMID: 29928875
- The spatial extent of Rho GTPases gradients governs cell migration, a sharp Cdc42 gradient maximizes directionality while an extended Rac1 gradient controls the speed. PMID: 30446664
- that Rac1 plays a major role in the phosphorylation of HACE1 downstream CNF1 toxin. PMID: 29362425
- Data indicate that the major mechanism is the ability of p140Cap to interfere with ERBB2-dependent activation of Rac GTPase-controlled circuitries. PMID: 28300085
- the B-cell receptor BR3 modulates cellular branching via Rac1 during neuronal migration PMID: 27436754
- Results show that in cisplatin-resistant cervical cancer tissues, Rac1, and Wave2 mRNA expression was significantly up-regulated compared to that of the cisplatin-sensitive cervical cancer tissues. In HeLa and Caski cervical cancer cell lines, Rac1 activity and Wave2 protein expression was significantly promoted by SH3BP1 overexpression. PMID: 28786507
- RCC2 physically interacts and deactivates a small GTPase Rac1 that is known to be involved in metastasis. PMID: 28869598
- Once activated, c-Abl kinase regulated the activity of Vav1, which further affected Rac1/PAK1/LIMK1/cofilin signaling pathway. PMID: 29058761
- The effects of Tiam1 on metastasis and EMT mediated by the Wnt/beta-catenin pathway were reversed by Rac1 silencing, suggesting that the prometastatic effect of Tiam1 is mediated by the activation of Rac1. These results indicate that Tiam1 may be a prognostic factor and potential therapeutic target for the treatment of thyroid cancers. PMID: 29277502
- RAC1 is associated with giant cell tumor of bone recurrence, which might serve as biomarker for giant cell tumor of bone recurrence PMID: 29651441
- These findings highlight a regulatory pathway of Tiam1/Rac1 in Th17 cells and suggest that it may be a therapeutic target in multiple sclerosis. PMID: 27725632
- Rac1 is a novel therapeutic target in mantle cell lymphoma. PMID: 29434202
- RCC2 regulates apoptosis by blocking Rac1 signaling. RCC2 expression in tumor can be a useful marker for predicting chemotherapeutic response. PMID: 29321004
- Silencing Rac1 suppressed the growth and migration of Hypopharyngeal Squamous Cell Carcinoma through the P38 MAPK signaling pathway. PMID: 29410394
- Iranian study did not show any association between the studied RAC1 SNPs and ulcerative colitis. PMID: 28412192
- cyclin D1 was downregulated, whereas Bcell lymphoma 2associated agonist of cell death (BAD) was upregulated following RAC1 knockdown in colon cancer cells. PMID: 29286138
- Pharmacological inhibition of RAC1 could significantly inhibit the proliferation of both RT4 cells and human NF2-associated primary schwannoma cells by inducing apoptosis. Pharmacological inhibition of RAC1 effectively reduced Rac1 activity and down-regulated the pathway downstream of Rac. Moreover, pharmacological inhibition of RAC1 showed a potential antitumor effect, with low toxicity in vivo. PMID: 28934903
- Rac1 plays a role in CXCL12 but not CCL3-induced chemotaxis. PMID: 29050986
- we revisited the question of the relationship between Cav1 and Stat3-ptyr705 in non-transformed mouse fibroblasts and in human lung carcinoma cells, by examining their effect at different cell densities.Our results demonstrate that Cav1 downregulates cadherin-11, by a mechanism which requires the Cav1 scaffolding domain. This cadherin-11 downregulation, leads to a reduction in cRac1 and Stat3 activity levels. PMID: 29458077
- studies revealed that alpha-Syn(A53T) inhibited PDGF-induced Rac1 activation, whereas Cdc42 activation remained unaffected, resulting in unbalanced actin filament remodeling PMID: 27886249
- Endogenous Rac1 is critical for the recruitment of FMNL2 to newly forming junctions as well as within already established epithelial sheets. PMID: 29579104
- Data show that Ras-like without CAAX 1 protein (RIT1) binds the RHO GTPases CDC42 and RAC1, both of which are crucial regulators of actin dynamics upstream of PAK1. PMID: 29734338
- Glucotoxicity promotes aberrant activation and mislocalization of Rac1 and metabolic dysfunction in pancreatic islet beta-cells. PMID: 28828705
- This review describes the current knowledge regarding Rac1 pathway deregulation and its association with chemoresistance, radioresistance, resistance to targeted therapies and immune evasion. [review] PMID: 29548483
- Silencing of RAC1 did not affect ARF1 recruitment to the leading edges in neutrophil chemotaxis. PMID: 28969640
- Surprisingly, Rac1 is not located at the binding site on the Sra1 subunit of the WAVE regulatory complex previously identified by mutagenesis and biochemical data. Rather, it binds to a distinct, conserved site on the opposite end of Sra1. PMID: 28949297
- The NKD1/Rac1 feedback loop regulates the invasion and migration ability of hepatocellular carcinoma cells. PMID: 27231134
- the pathological role of Rac1 signaling PMID: 27442895
- Study demonstrate that the IAV NS1 protein can directly interact with the cellular protein Rac1 and modulate its activity via post-translational modifications to regulate IAV replication. PMID: 27869202
- MiR-142 inhibited the migration, invasion and MMP expression of glioma by targeting Rac1. PMID: 28714015
- Rac1 inhibition in gastric adenocarcinoma cells blocks EMT and CSC phenotypes, and thus may prevent metastasis and augment chemotherapy. In gastric adenocarcinoma, therapeutic targeting of the Rac1 pathway may prevent or reverse EMT and CSC phenotypes that drive tumor progression, metastasis, and chemotherapy resistance PMID: 28461325
- Taken together, our results indicate that integrin beta6 promotes tumor invasiveness in a Rac1-dependent manner and is a potential biomarker for tumor metastasis. PMID: 27440504
- Taken together, these results indicate that DOCK1 is a critical regulator of the malignant phenotypes induced by Rac1(P29S), and suggest that targeting DOCK1 might be an effective approach to treat cancers associated with Rac1(P29S) mutation. PMID: 29432733
- Downregulation of PLEKHA7 in PACG may affect BAB integrity and aqueous humor outflow via its Rac1/Cdc42 GAP activity, thereby contributing to disease etiology. PMID: 29016860
- MBQ-167 is 10x more potent than other currently available Rac/Cdc42 inhibitors and has the potential to be developed as an anticancer drug, as well as a dual inhibitory probe for the study of Rac and Cdc42 PMID: 28450422
- Filamin C promotes lymphatic invasion and lymphatic metastasis and increases cell motility by regulating Rac1/cdc42 activites in esophageal squamous cell carcinoma. PMID: 28031525
- We observed Bonferroni-corrected statistically significant interactions between albuminuria, urine cadmium levels and polymorphisms in gene SLC30A7 and RAC1. PMID: 28558300
- TIPE2 suppressed tumor invasiveness and angiogenesis in non-small cell lung cancer via inhibiting the activation of Rac1 and subsequently weakening its downstream effects, including F-actin polymerization and VEGF expression. PMID: 27556698
- High RAC1 expression is associated with increased cell migration in breast neoplasms. PMID: 27048259
- role of Cdc42 and Rac1 activities in pheochromocytoma, the adrenal medulla tumor PMID: 27355516
- High RAC1 expression is associated with breast cancer. PMID: 26910843
- analysis of the Kindlin-2-RhoGDIalpha-Rac1 signaling axis that is critical for regulation of podocyte structure and function in vivo PMID: 28775002
- Ubc9 is an essential regulator of ADAP where it is required for activation of the small GTPase Rac1 in T cell adhesion. PMID: 29127148
- MIIP is a key molecule in directing Rac1 signaling cascades in Endometrial carcinoma . Ectopically expressed MIIP consistently competed with Rac1-GTP for binding with the PAK1 p21-binding domain. PMID: 27760566
- the Ser179Glu mutant of SDC-4 binds strongly Tiam1, a Rac1-guanine nucleotide exchange factors reducing Rac1-GTP by 3-fold in MCF-7 breast adenocarcinoma cells. PMID: 29121646
- ROCK activation phosphorylated Rac1b at Ser71 and increased reactive oxygen species (ROS) levels by facilitating the interaction between Rac1b and cytochrome c. Conversely, ROCK inactivation abolished their interaction, concomitant with ROS reduction. PMID: 28317242
- The inhibition of Rac1 by NSC23766 inhibited NADPH oxidase activity and ROS generation induced by high glucose concentrations in INS-1 & human 1.1b4 beta cells. Inhibition of Rac1-NOX complex activation by NSC23766 significantly reduced CD36 expression in INS-1 and human 1.1b4 beta cell membrane fractions. PMID: 27912197
顯示更多
收起更多
-
亞細胞定位:Cell membrane; Lipid-anchor; Cytoplasmic side. Melanosome. Cytoplasm. Cell projection, lamellipodium. Cell projection, dendrite. Cell junction, synapse.
-
蛋白家族:Small GTPase superfamily, Rho family
-
組織特異性:Isoform B is predominantly identified in skin and epithelial tissues from the intestinal tract. Its expression is elevated in colorectal tumors at various stages of neoplastic progression, as compared to their respective adjacent tissues.
-
數據庫鏈接:
Most popular with customers
-
-
YWHAB Recombinant Monoclonal Antibody
Applications: ELISA, WB, IHC, IF, FC
Species Reactivity: Human, Mouse, Rat
-
Phospho-YAP1 (S127) Recombinant Monoclonal Antibody
Applications: ELISA, WB, IHC
Species Reactivity: Human
-
-
-
-
-















