RABGAP1L Antibody
-
中文名稱:RABGAP1L兔多克隆抗體
-
貨號:CSB-PA732584LA01HU
-
規格:¥440
-
圖片:
-
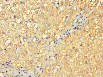
Immunohistochemistry of paraffin-embedded human liver cancer using CSB-PA732584LA01HU at dilution of 1:100
-
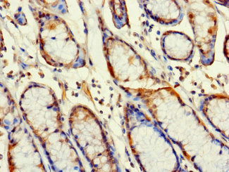
Immunohistochemistry of paraffin-embedded human gastric cancer using CSB-PA732584LA01HU at dilution of 1:100
-
Western Blot
Positive WB detected in: MCF-7 whole cell lysate, K562 whole cell lysate, HepG2 whole cell lysate, Mouse stomach tissue, Mouse heart tissue, Mouse brain tissue, Mouse liver tissue
All lanes: RABGAP1L antibody at 3μg/ml
Secondary
Goat polyclonal to rabbit IgG at 1/50000 dilution
Predicted band size: 30, 93, 69, 95, 91, 44, 42, 43, 9 kDa
Observed band size: 30 kDa
-
-
其他:
產品詳情
-
產品名稱:Rabbit anti-Homo sapiens (Human) RABGAP1L Polyclonal antibody
-
Uniprot No.:
-
基因名:RABGAP1L
-
別名:RABGAP1L antibody; HHL antibody; KIAA0471 antibody; Rab GTPase-activating protein 1-like antibody; isoform 10 antibody
-
宿主:Rabbit
-
反應種屬:Human, Mouse
-
免疫原:Recombinant Human Rab GTPase-activating protein 1-like, isoform 10 protein (11-262AA)
-
免疫原種屬:Homo sapiens (Human)
-
標記方式:Non-conjugated
本頁面中的產品,RABGAP1L Antibody (CSB-PA732584LA01HU),的標記方式是Non-conjugated。對于RABGAP1L Antibody,我們還提供其他標記。見下表:
-
克隆類型:Polyclonal
-
抗體亞型:IgG
-
純化方式:>95%, Protein G purified
-
濃度:It differs from different batches. Please contact us to confirm it.
-
保存緩沖液:Preservative: 0.03% Proclin 300
Constituents: 50% Glycerol, 0.01M PBS, PH 7.4 -
產品提供形式:Liquid
-
應用范圍:ELISA, WB, IHC
-
推薦稀釋比:
Application Recommended Dilution WB 1:2000-1:10000 IHC 1:20-1:200 -
Protocols:
-
儲存條件:Upon receipt, store at -20°C or -80°C. Avoid repeated freeze.
-
貨期:Basically, we can dispatch the products out in 1-3 working days after receiving your orders. Delivery time maybe differs from different purchasing way or location, please kindly consult your local distributors for specific delivery time.
-
用途:For Research Use Only. Not for use in diagnostic or therapeutic procedures.
相關產品
Most popular with customers
-
-
YWHAB Recombinant Monoclonal Antibody
Applications: ELISA, WB, IHC, IF, FC
Species Reactivity: Human, Mouse, Rat
-
Phospho-YAP1 (S127) Recombinant Monoclonal Antibody
Applications: ELISA, WB, IHC
Species Reactivity: Human
-
-
-
-
-















