RAB9A Antibody
-
中文名稱:RAB9A兔多克隆抗體
-
貨號:CSB-PA994941
-
規格:¥1100
-
圖片:
-
The image on the left is immunohistochemistry of paraffin-embedded Human breast cancer tissue using CSB-PA994941(RAB9A Antibody) at dilution 1/25, on the right is treated with fusion protein. (Original magnification: ×200)
-
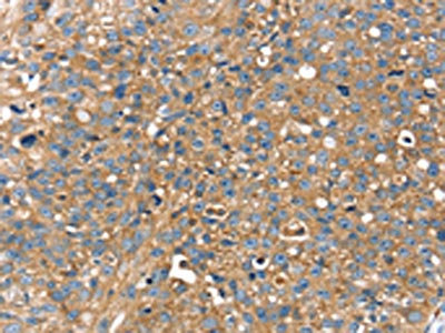
The image on the left is immunohistochemistry of paraffin-embedded Human brain tissue using CSB-PA994941(RAB9A Antibody) at dilution 1/25, on the right is treated with fusion protein. (Original magnification: ×200)
-
Gel: 12%SDS-PAGE, Lysate: 40 μg, Lane 1-3: RAW264.7, hepg2 cells, hela cells, Primary antibody: CSB-PA994941(RAB9A Antibody) at dilution 1/300, Secondary antibody: Goat anti rabbit IgG at 1/8000 dilution, Exposure time: 30 seconds
-
-
其他:
產品詳情
-
Uniprot No.:
-
基因名:RAB9A
-
別名:2410064E05Rik antibody; AI195561 antibody; DmRab9 antibody; Rab 9 antibody; RAB 9A antibody; RAB9 member RAS oncogene family antibody; RAB9A antibody; RAB9A member RAS oncogene family antibody; RAB9A_HUMAN antibody; RAS ASSOCIATED PROTEIN RAB9 antibody; Ras related protein Rab 9A antibody; Ras-related protein Rab-9A antibody; Sid6061p antibody; Sid99 antibody
-
宿主:Rabbit
-
反應種屬:Human,Mouse,Rat
-
免疫原:Fusion protein of Human RAB9A
-
免疫原種屬:Homo sapiens (Human)
-
標記方式:Non-conjugated
-
抗體亞型:IgG
-
純化方式:Antigen affinity purification
-
濃度:It differs from different batches. Please contact us to confirm it.
-
保存緩沖液:-20°C, pH7.4 PBS, 0.05% NaN3, 40% Glycerol
-
產品提供形式:Liquid
-
應用范圍:ELISA,WB,IHC
-
推薦稀釋比:
Application Recommended Dilution ELISA 1:2000-1:5000 WB 1:500-1:2000 IHC 1:25-1:100 -
Protocols:
-
儲存條件:Upon receipt, store at -20°C or -80°C. Avoid repeated freeze.
-
貨期:Basically, we can dispatch the products out in 1-3 working days after receiving your orders. Delivery time maybe differs from different purchasing way or location, please kindly consult your local distributors for specific delivery time.
-
用途:For Research Use Only. Not for use in diagnostic or therapeutic procedures.
相關產品
靶點詳情
-
功能:Involved in the transport of proteins between the endosomes and the trans Golgi network. Involved in the recruitment of SGSM2 to melanosomes and is required for the proper trafficking of melanogenic enzymes TYR, TYRP1 and DCT/TYRP2 to melanosomes in melanocytes.
-
基因功能參考文獻:
- RAB9 competes with the catalytic subunit PPP2CA in binding to PPP2R1A. This competitive association has an important role in controlling the PP2A catalytic activity. PMID: 27611305
- protein kinase C modulates alpha1B-adrenergic receptor transfer to late endosomes and that Rab9 regulates this process and participates in G protein-mediated signaling turn-off. PMID: 28082304
- Rab9A and its co-regulatory GTPases control STX13-mediated cargo delivery to maturing melanosomes. PMID: 26527546
- Rab9-complexed TIP47 plays an essential role for the proper release of hepatitis C viral particles. PMID: 24480419
- Rab9a and Rab7b are mediators of the transit of the L2 capsid protien and the pseudogenome of human papillomavirus 16 from the late endosome to the golgi complex. PMID: 23345514
- Rab9A and Rab23 GTPases play crucial roles in autophagy of Group A Streptococcus. PMID: 22452336
- These data show that RUTBC2 can act as a Rab36 GAP in cells and suggest that RUTBC2 links Rab9A function to Rab36 function in the endosomal system. PMID: 22637480
- RUTBC1 is a Tre2/Bub2/Cdc16 domain-containing protein that binds to Rab9A-GTP both in vitro and in cultured cells, but is not a GTPase-activating protein for Rab9A. PMID: 21808068
- Data show that recombinant HPS1-HPS4 produced in insect cells can be efficiently isolated as a 1:1 heterodimer, and might function as a Rab9 effector in the biogenesis of lysosome-related organelles. PMID: 20048159
- Data show that ectopic expression of human telomerase reverse transcriptase (hTeRT) in human cells leads to an upregulation of the small GTPase Rab9 and its effector p40. PMID: 12576506
- The overall structure shows a characteristic nucleotide binding fold consisting of a six-stranded beta-sheet surrounded by five alpha-helices with a tightly bound GDP molecule in the active site. PMID: 15263003
- cholesterol contributes directly to the sequestration of Rab9 on Niemann-Pick type C cell membranes, which in turn, disrupts mannose 6-phosphate receptor trafficking PMID: 16644737
- Binding of the effector protein TIP47 is important for Rab9 localization. PMID: 16769818
- Rab9 interacts with the intermediate filament vimentin. This interaction is altered by lipid accumulation in late endosomes, which results in inhibition of protein kinase C and hypophosphorylation of vimentin, leading to late endosome dysfunction. PMID: 18681838
- VV p37 protein associates with host TIP47, Rab9 and CI-MPR. PMID: 19400954
- Data indicate that human copper transporter 1 cleavage occurs in a late endosomal, Rab9-positive compartment prior to delivery of the transporter to the plasma membrane. PMID: 19684018
顯示更多
收起更多
-
亞細胞定位:Cell membrane; Lipid-anchor; Cytoplasmic side. Endoplasmic reticulum membrane. Golgi apparatus membrane. Late endosome. Cytoplasmic vesicle, phagosome membrane; Lipid-anchor; Cytoplasmic side. Cytoplasmic vesicle, phagosome. Cytoplasmic vesicle membrane. Melanosome.
-
蛋白家族:Small GTPase superfamily, Rab family
-
數據庫鏈接:
Most popular with customers
-
YWHAB Recombinant Monoclonal Antibody
Applications: ELISA, WB, IHC, IF, FC
Species Reactivity: Human, Mouse, Rat
-
-
-
-
-
-
-















