RAB6C Antibody
-
中文名稱:RAB6C兔多克隆抗體
-
貨號:CSB-PA072897
-
規格:¥1100
-
圖片:
-
The image on the left is immunohistochemistry of paraffin-embedded Human brain tissue using CSB-PA072897(RAB6C Antibody) at dilution 1/45, on the right is treated with synthetic peptide. (Original magnification: ×200)
-
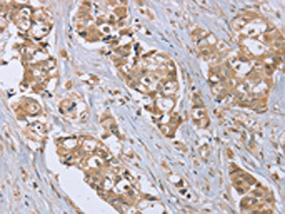
The image on the left is immunohistochemistry of paraffin-embedded Human breast cancer tissue using CSB-PA072897(RAB6C Antibody) at dilution 1/45, on the right is treated with synthetic peptide. (Original magnification: ×200)
-
-
其他:
產品詳情
-
Uniprot No.:
-
基因名:RAB6C
-
別名:RAB 6C antibody; Rab6 like protein WTH3 antibody; Rab6-like protein WTH3 antibody; RAB6C antibody; RAB6C member RAS oncogene family antibody; RAB6C_HUMAN antibody; Ras related protein Rab 6C antibody; Ras-related protein Rab-6C antibody; WTH3 antibody
-
宿主:Rabbit
-
反應種屬:Human
-
免疫原:Synthetic peptide of Human RAB6C
-
免疫原種屬:Homo sapiens (Human)
-
標記方式:Non-conjugated
-
抗體亞型:IgG
-
純化方式:Antigen affinity purification
-
濃度:It differs from different batches. Please contact us to confirm it.
-
保存緩沖液:-20°C, pH7.4 PBS, 0.05% NaN3, 40% Glycerol
-
產品提供形式:Liquid
-
應用范圍:ELISA,IHC
-
推薦稀釋比:
Application Recommended Dilution ELISA 1:2000-1:5000 IHC 1:50-1:200 -
Protocols:
-
儲存條件:Upon receipt, store at -20°C or -80°C. Avoid repeated freeze.
-
貨期:Basically, we can dispatch the products out in 1-3 working days after receiving your orders. Delivery time maybe differs from different purchasing way or location, please kindly consult your local distributors for specific delivery time.
-
用途:For Research Use Only. Not for use in diagnostic or therapeutic procedures.
相關產品
靶點詳情
-
功能:May be involved in the regulation of centrosome duplication and cell cycle progression.
-
基因功能參考文獻:
- Rab6A'(Q72L) was then purified to homogeneity and crystallized at 293 K. X-ray diffraction data were collected to a resolution of 1.9 A from a crystal belonging to space group P22(1)2(1) with unit-cell parameters a = 36.84, b = 96.78, c = 109.99 A PMID: 22949199
- RAB6C is a rare example of a recently emerged retrogene that has acquired the status of a new gene, encoding a functional protein with altered characteristics compared to Rab6A'. PMID: 20064528
- The behavior of WTH3 in primary drug-resistant breast cancer epithelial cells was similar to that in a model system where epigenetic regulation of the WTH3 gene was linked to the MDR phenotype. PMID: 16267028
- The negative role played by the WTH3 gene in MDR development is through its proapoptotic potential that is regulated by multiple mechanisms at the transcription level, and one of these mechanisms is linked to the p53 gene. PMID: 17426708
- plays role in multi-drug resistance development;DNA methylation is one of its transcription regulatory mechanisms PMID: 18992151
顯示更多
收起更多
-
亞細胞定位:Nucleus. Cytoplasm. Cytoplasm, cytoskeleton, microtubule organizing center, centrosome.
-
蛋白家族:Small GTPase superfamily, Rab family
-
組織特異性:Highest levels are found in fetal and adult brain, prostate, testis and spinal cord. Undetectable expression in adrenal gland, skeletal muscle, bone marrow, fetal, and adult liver, heart, salivary gland, and trachea. Detected in the HEK293, HEK293T, LNCaP
-
數據庫鏈接:
Most popular with customers
-
-
YWHAB Recombinant Monoclonal Antibody
Applications: ELISA, WB, IHC, IF, FC
Species Reactivity: Human, Mouse, Rat
-
Phospho-YAP1 (S127) Recombinant Monoclonal Antibody
Applications: ELISA, WB, IHC
Species Reactivity: Human
-
-
-
-
-















