RAB5C Antibody
-
中文名稱:RAB5C兔多克隆抗體
-
貨號:CSB-PA019215DSR1HU
-
規格:¥440
-
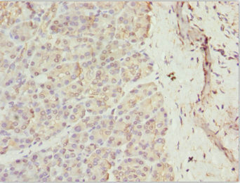
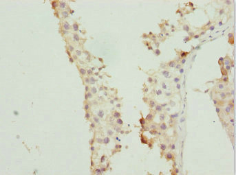
圖片:
-
其他:
產品詳情
-
產品名稱:Rabbit anti-Homo sapiens (Human) RAB5C Polyclonal antibody
-
Uniprot No.:
-
基因名:
-
別名:L1880 antibody; RAB; member of RAS oncogene family like antibody; RAB5C antibody; RAB5C; member of RAS oncogene family antibody; RAB5C; member RAS oncogene family antibody; RAB5C_HUMAN antibody; RAB5CL antibody; RAB5L antibody; RABL antibody; Ras-related protein Rab-5C antibody
-
宿主:Rabbit
-
反應種屬:Human
-
免疫原:Recombinant Human Ras-related protein Rab-5C protein (1-216AA)
-
免疫原種屬:Homo sapiens (Human)
-
標記方式:Non-conjugated
-
克隆類型:Polyclonal
-
抗體亞型:IgG
-
純化方式:Antigen Affinity Purified
-
濃度:It differs from different batches. Please contact us to confirm it.
-
保存緩沖液:PBS with 0.02% sodium azide, 50% glycerol, pH7.3.
-
產品提供形式:Liquid
-
應用范圍:ELISA, IHC
-
推薦稀釋比:
Application Recommended Dilution IHC 1:20-1:200 -
Protocols:
-
儲存條件:Upon receipt, store at -20°C or -80°C. Avoid repeated freeze.
-
貨期:Basically, we can dispatch the products out in 1-3 working days after receiving your orders. Delivery time maybe differs from different purchasing way or location, please kindly consult your local distributors for specific delivery time.
-
用途:For Research Use Only. Not for use in diagnostic or therapeutic procedures.
相關產品
靶點詳情
-
功能:Protein transport. Probably involved in vesicular traffic.
-
基因功能參考文獻:
- We identify RAB5C as a new candidate gene for type-2 diabetes risk with a functional role in endosomal type-2 diabetes module. Functional analysis shows that RAB5C is tyrosine phosphorylated. Data analysis reveals a tyrosine phosphorylation motif in the GTP binding site of RAB5C which may be targeted by insulin receptor. Insulin-dependent tyrosine phosphorylation of RAB5C is inhibited by overexpression of HACD3 (PTPLAD1). PMID: 30300385
- Enforced miR-509 expression in NALM6 cells reduced RAB5C mRNA and protein levels, and RAB5C was demonstrated to be a direct target of miR-509. PMID: 25368993
- PLP2 and RAB5C are binding partners of TPD52. PMID: 24604726
- Rab5C modulates Rac1-mediated cell motility. PMID: 24587345
- GTP-Rab5c also bound to AMAP1, and activation of Rab5c by EGFR signaling was necessary to promote the intracellular association of AMAP1 and PRKD2 PMID: 22734003
顯示更多
收起更多
-
亞細胞定位:Cell membrane; Lipid-anchor; Cytoplasmic side. Early endosome membrane; Lipid-anchor. Melanosome.
-
蛋白家族:Small GTPase superfamily, Rab family
-
數據庫鏈接:
Most popular with customers
-
-
Phospho-YAP1 (S127) Recombinant Monoclonal Antibody
Applications: ELISA, WB, IHC
Species Reactivity: Human
-
-
-
-
-
-















