RAB5B Antibody
-
中文名稱:RAB5B兔多克隆抗體
-
貨號:CSB-PA019214ESR2HU
-
規格:¥440
-
圖片:
-
Western blot
All lanes: RAB5B antibody at 1.66μg/ml
Lane 1: A431 whole cell lysate
Lane 2: Hela whole cell lysate
Lane 3: Jurkat whole cell lysate
Lane 4: 293T whole cell lysate
Lane 5: HepG2 whole cell lysate
Secondary
Goat polyclonal to rabbit IgG at 1/10000 dilution
Predicted band size: 24, 20 kDa
Observed band size: 24, 31 kDa -
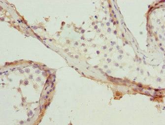
Immunohistochemistry of paraffin-embedded human testis tissue using CSB-PA019214ESR2HU at dilution of 1:100
-
-
其他:
產品詳情
-
產品名稱:Rabbit anti-Homo sapiens (Human) RAB5B Polyclonal antibody
-
Uniprot No.:
-
基因名:
-
別名:RAB5B antibody; Ras-related protein Rab-5B antibody
-
宿主:Rabbit
-
反應種屬:Human
-
免疫原:Recombinant Human Ras-related protein Rab-5B protein (1-215AA)
-
免疫原種屬:Homo sapiens (Human)
-
標記方式:Non-conjugated
-
克隆類型:Polyclonal
-
抗體亞型:IgG
-
純化方式:Antigen Affinity Purified
-
濃度:It differs from different batches. Please contact us to confirm it.
-
保存緩沖液:PBS with 0.02% sodium azide, 50% glycerol, pH7.3.
-
產品提供形式:Liquid
-
應用范圍:ELISA, WB, IHC
-
推薦稀釋比:
Application Recommended Dilution WB 1:1000-1:5000 IHC 1:20-1:200 -
Protocols:
-
儲存條件:Upon receipt, store at -20°C or -80°C. Avoid repeated freeze.
-
貨期:Basically, we can dispatch the products out in 1-3 working days after receiving your orders. Delivery time maybe differs from different purchasing way or location, please kindly consult your local distributors for specific delivery time.
-
用途:For Research Use Only. Not for use in diagnostic or therapeutic procedures.
相關產品
靶點詳情
-
功能:Protein transport. Probably involved in vesicular traffic.
-
基因功能參考文獻:
- Knockdown of RAB5B inhibited cell proliferation, migration and invasion in breast cancer stem cell-like cells. MiR-130a-3p inhibits migration and invasion by regulating RAB5B in human breast cancer stem cell-like cells. PMID: 29746865
- results suggest that LRRK2 kinase activity functions as a Rab5b GTPase activating protein and thus, negatively regulates Rab5b signalling PMID: 25605758
- combined genetic association studies in women from China/Netherlands/United States: Data suggest that an SNP in RAB5B locus (rs705702) and SNPs in other proteins are associated with polycystic ovary syndrome across ethnic differences. [META-ANALYSIS] PMID: 24106282
- study shows expression of GTPase-deficient Rab5b in NRK cells results in sequential formation of 3 distinct types of endosomes; study suggests regulatory role for Rab5 in early & late endocytic pathway of membrane trafficking in coordination with PI(3)K PMID: 17927960
- Results suggest that LRRK2, in conjunction with its interaction with Rab5b, plays an important role in synaptic function by modulating the endocytosis of synaptic vesicles. PMID: 18445495
顯示更多
收起更多
-
亞細胞定位:Cell membrane; Lipid-anchor; Cytoplasmic side. Early endosome membrane; Lipid-anchor. Melanosome.
-
蛋白家族:Small GTPase superfamily, Rab family
-
數據庫鏈接:
Most popular with customers
-
-
Phospho-YAP1 (S127) Recombinant Monoclonal Antibody
Applications: ELISA, WB, IHC
Species Reactivity: Human
-
-
-
-
-
-















