RAB4A Antibody
-
中文名稱:RAB4A兔多克隆抗體
-
貨號:CSB-PA019211ESR1HU
-
規格:¥440
-
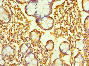
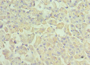
圖片:
-
其他:
產品詳情
-
產品名稱:Rabbit anti-Homo sapiens (Human) RAB4A Polyclonal antibody
-
Uniprot No.:
-
基因名:
-
別名:HRES 1 / RAB4 antibody; Oncogene RAB4 antibody; Rab 4 antibody; RAB 4A antibody; RAB4 member RAS oncogene family antibody; Rab4a antibody; RAB4A member RAS oncogene family antibody; RAB4A_HUMAN antibody; Ras related protein Rab 4A antibody; Ras related protein Rab4A antibody; Ras-related protein Rab-4A antibody
-
宿主:Rabbit
-
反應種屬:Human
-
免疫原:Recombinant Human Ras-related protein Rab-4A protein (1-218AA)
-
免疫原種屬:Homo sapiens (Human)
-
標記方式:Non-conjugated
-
克隆類型:Polyclonal
-
抗體亞型:IgG
-
純化方式:Antigen Affinity Purified
-
濃度:It differs from different batches. Please contact us to confirm it.
-
保存緩沖液:PBS with 0.02% sodium azide, 50% glycerol, pH7.3.
-
產品提供形式:Liquid
-
應用范圍:ELISA, IHC
-
推薦稀釋比:
Application Recommended Dilution IHC 1:20-1:200 -
Protocols:
-
儲存條件:Upon receipt, store at -20°C or -80°C. Avoid repeated freeze.
-
貨期:Basically, we can dispatch the products out in 1-3 working days after receiving your orders. Delivery time maybe differs from different purchasing way or location, please kindly consult your local distributors for specific delivery time.
-
用途:For Research Use Only. Not for use in diagnostic or therapeutic procedures.
相關產品
靶點詳情
-
功能:Small GTPase which cycles between an active GTP-bound and an inactive GDP-bound state. Involved in protein transport. Plays a role in vesicular traffic. Mediates VEGFR2 endosomal trafficking to enhance VEGFR2 signaling. Acts as a regulator of platelet alpha-granule release during activation and aggregation of platelets.
-
基因功能參考文獻:
- These findings bring attention to the effects of C-terminal carboxylmethylation on RAB GTPases and provide a rationale for targeting ICMT in the treatment of metastatic cancer PMID: 28604748
- The results contradict the model of feedback activation of Rab5 and instead indicate that Rbpt5 is recruited by both Rabex5 recognizing ubiquitylated cargo and by Rab4 to activate Rab5 in a feed-forward manner. PMID: 26430212
- Rab4 expression is up-regulated by laminar shear stress, which contributed to improved vascular endothelial cell autophagy and function. PMID: 26716952
- Together the findings indicate that Arl1 links Rab4-dependent formation of endosomal sorting domains with downstream assembly of adaptor protein complexes that constitute the endosomal sorting machinery. PMID: 24835460
- HRES-1/Rab4 regulates autophagy through promoting the formation of LC3(+) autophagosomes and the preservation of mitochondria. PMID: 24404161
- Data indicate that Rab4 regulates ether-a-go-go-related gene (hERG) channel density via neural precursor cell-expressed developmentally down-regulated protein 4-2 (Nedd4-2). PMID: 23792956
- our findings suggest an evolutionarily conserved function of HDPTP-Rab4 in the regulation of endocytic trafficking, cell adhesion and migration. PMID: 22825871
- TBC1D16 is a GTPase activating protein for Rab4A that regulates transferrin receptor recycling and EGFR trafficking and signaling. PMID: 23019362
- Upregulated expression of rab4, rab5, rab7 and rab27 correlates with antemortem measures of cognitive decline in individuals with mild cognitive impairment and Alzheimer disease. PMID: 21669283
- Thus down- or up-regulation of Rab4A expression or Rab4A function triggered inhibition or increase of procathepsin L secretion respectively. PMID: 21501115
- Overexpression of Rab4 regulates angiotensin II type I receptor phosphorylation and sensitization. PMID: 20943774
- Findings substantiate the notion that modulation of the temporal and spatial distribution of P-gp in cancer cells may be a valid therapeutic strategy to alleviate the MDR phenotype, and signal to Rab4 as a potential target. PMID: 20209493
- These findings suggest that Rab14 and Rab4 act sequentially, together with RUFY1. PMID: 20534812
- NDRG1 specifically interacts with constitutively active Rab4aQ67L mutant protein and not with GDP-bound Rab4aS22N mutant proving NDRG1 as a novel Rab4a effector PMID: 17786215
- Rab coupling protein (RCP), a novel Rab4 and Rab11 effector protein PMID: 11786538
- Data suggest that abnormal membrane recycling in Niemann-Pick type A and C lipid storage disease fibroblasts results from specific inhibition of rab4 function by excess cholesterol in early endosomes. PMID: 15292453
- In contrast to Rab11, Rab4 is not involved in exocytosis PMID: 15689494
- Rab4 specific residue His39 modulates the nucleotide binding pocket giving rise to a reduced rate for nucleotide hydrolysis and exchange PMID: 15907487
- critical element that regulates epithelial sodium channel (ENaC) function by GTP-GDP recycling and concomitant changes in ENaC expression at the cell surface and in intracellular pool PMID: 16389071
- The study suggests that Rab4 regulates the channel through multiple mechanisms that include protein-protein interaction, GTP/GDP exchange, and channel protein trafficking. PMID: 16413502
- CT229 of Chlamydia trachomatis interacts with and recruits Rab4A to the inclusion membrane and therefore may play a role in regulating the intracellular trafficking or fusogenicity of the chlamydial inclusion. PMID: 16926431
- Regulation of CD4 expression via recycling by HRES-1/RAB4 controls susceptibility to HIV infection PMID: 16935861
- elevated [5HT](ex)"paralyzes" the translocation of SERT from intracellular locations to the plasma membrane by controlling transamidation and Rab4-GTP formation PMID: 18227069
- Both phosphorylated and nonphosphorylated MOR internalize via Rab5-dependent pathway after agonist stimulation, and the phosphorylated and nonphosphorylated MORs recycle through distinct vesicular trafficking pathways mediated by Rab4 and Rab11. PMID: 18550774
- Cyclic AMP-mediated phosphoinositide-3-kinase-independent activation of Rab4 facilitates Ntcp translocation in a hepatoma cell line. PMID: 18688880
- oxytocin receptors localize in vesicles containing the Rab5 and Rab4 small GTPases PMID: 19126785
- activation of mTOR causes the loss of TCRzeta in lupus T cells through HRES-1/Rab4-dependent lysosomal degradation. PMID: 19201859
- conclude that a recycling pathway regulated by Rab4A is a critical effector of VEGFR1 during branching morphogenesis of the vasculature PMID: 19302266
- Data show that within several minutes after initiating rapid endocytosis of B2ARs by the isoproterenol, bright "puffs" of locally increased surface fluorescence intensity representing discrete Rab4-dependent recycling events. PMID: 19369423
- D-AKAP2 promotes accumulation of recycling proteins in the Rab4/Rab11-positive endocytic recycling compartment PMID: 19797056
顯示更多
收起更多
-
亞細胞定位:Membrane; Peripheral membrane protein. Cytoplasm. Early endosome membrane; Peripheral membrane protein. Recycling endosome membrane; Peripheral membrane protein.
-
蛋白家族:Small GTPase superfamily, Rab family
-
數據庫鏈接:
Most popular with customers
-
-
YWHAB Recombinant Monoclonal Antibody
Applications: ELISA, WB, IHC, IF, FC
Species Reactivity: Human, Mouse, Rat
-
Phospho-YAP1 (S127) Recombinant Monoclonal Antibody
Applications: ELISA, WB, IHC
Species Reactivity: Human
-
-
-
-
-















