RAB3GAP2 Antibody
-
中文名稱:RAB3GAP2兔多克隆抗體
-
貨號:CSB-PA872480LA01HU
-
規格:¥440
-
圖片:
-
Western Blot
Positive WB detected in: 293 whole cell lysate
All lanes: RAB3GAP2 antibody at 5μg/ml
Secondary
Goat polyclonal to rabbit IgG at 1/50000 dilution
Predicted band size: 156, 24 kDa
Observed band size: 110, 130, 150 kDa -
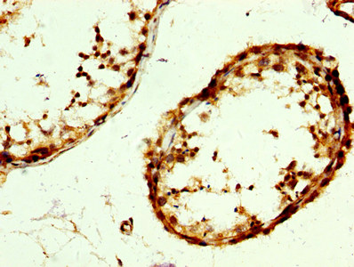
IHC image of CSB-PA872480LA01HU diluted at 1:300 and staining in paraffin-embedded human testis tissue performed on a Leica BondTM system. After dewaxing and hydration, antigen retrieval was mediated by high pressure in a citrate buffer (pH 6.0). Section was blocked with 10% normal goat serum 30min at RT. Then primary antibody (1% BSA) was incubated at 4°C overnight. The primary is detected by a biotinylated secondary antibody and visualized using an HRP conjugated SP system.
-
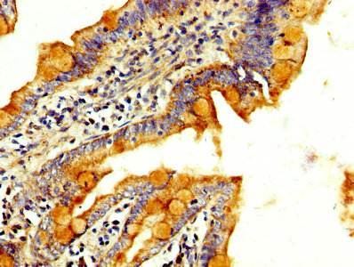
IHC image of CSB-PA872480LA01HU diluted at 1:300 and staining in paraffin-embedded human small intestine tissue performed on a Leica BondTM system. After dewaxing and hydration, antigen retrieval was mediated by high pressure in a citrate buffer (pH 6.0). Section was blocked with 10% normal goat serum 30min at RT. Then primary antibody (1% BSA) was incubated at 4°C overnight. The primary is detected by a biotinylated secondary antibody and visualized using an HRP conjugated SP system.
-
-
其他:
產品詳情
-
產品名稱:Rabbit anti-Homo sapiens (Human) RAB3GAP2 Polyclonal antibody
-
Uniprot No.:
-
基因名:RAB3GAP2
-
別名:RAB3GAP2 antibody; KIAA0839 antibody; Rab3 GTPase-activating protein non-catalytic subunit antibody; RGAP-iso antibody; Rab3 GTPase-activating protein 150 kDa subunit antibody; Rab3-GAP p150 antibody; Rab3-GAP150 antibody; Rab3-GAP regulatory subunit antibody
-
宿主:Rabbit
-
反應種屬:Human
-
免疫原:Recombinant Human Rab3 GTPase-activating protein non-catalytic subunit protein (277-387AA)
-
免疫原種屬:Homo sapiens (Human)
-
標記方式:Non-conjugated
本頁面中的產品,RAB3GAP2 Antibody (CSB-PA872480LA01HU),的標記方式是Non-conjugated。對于RAB3GAP2 Antibody,我們還提供其他標記。見下表:
-
克隆類型:Polyclonal
-
抗體亞型:IgG
-
純化方式:>95%, Protein G purified
-
濃度:It differs from different batches. Please contact us to confirm it.
-
保存緩沖液:Preservative: 0.03% Proclin 300
Constituents: 50% Glycerol, 0.01M PBS, pH 7.4 -
產品提供形式:Liquid
-
應用范圍:ELISA, WB, IHC
-
推薦稀釋比:
Application Recommended Dilution WB 1:500-1:5000 IHC 1:200-1:500 -
Protocols:
-
儲存條件:Upon receipt, store at -20°C or -80°C. Avoid repeated freeze.
-
貨期:Basically, we can dispatch the products out in 1-3 working days after receiving your orders. Delivery time maybe differs from different purchasing way or location, please kindly consult your local distributors for specific delivery time.
-
用途:For Research Use Only. Not for use in diagnostic or therapeutic procedures.
相關產品
靶點詳情
-
功能:Regulatory subunit of a GTPase activating protein that has specificity for Rab3 subfamily (RAB3A, RAB3B, RAB3C and RAB3D). Rab3 proteins are involved in regulated exocytosis of neurotransmitters and hormones. Rab3 GTPase-activating complex specifically converts active Rab3-GTP to the inactive form Rab3-GDP. Required for normal eye and brain development. May participate in neurodevelopmental processes such as proliferation, migration and differentiation before synapse formation, and non-synaptic vesicular release of neurotransmitters.
-
基因功能參考文獻:
- functionally severe RAB3GAP2 mutations cause Warburg Micro syndrome while hypomorphic RAB3GAP2 mutations can result in the milder Martsolf phenotype PMID: 20967465
- Data show that at chemical synapses, Rab3 performs specific functions in synpatic vesicle exocytosis. PMID: 18485483
- KIF1Bbeta- and KIF1A-mediated axonal transport of presynaptic regulator RAB3GAP2 occurs in a GTP-dependent manner through MADD. PMID: 18849981
-
相關疾病:Martsolf syndrome (MARTS); Warburg micro syndrome 2 (WARBM2)
-
亞細胞定位:Cytoplasm. Note=In neurons, it is enriched in the synaptic soluble fraction.
-
蛋白家族:Rab3-GAP regulatory subunit family
-
組織特異性:Ubiquitous.
-
數據庫鏈接:
Most popular with customers
-
-
YWHAB Recombinant Monoclonal Antibody
Applications: ELISA, WB, IHC, IF, FC
Species Reactivity: Human, Mouse, Rat
-
Phospho-YAP1 (S127) Recombinant Monoclonal Antibody
Applications: ELISA, WB, IHC
Species Reactivity: Human
-
-
-
-
-















