RAB3D Antibody
-
中文名稱:RAB3D兔多克隆抗體
-
貨號:CSB-PA955238
-
規格:¥1100
-
圖片:
-
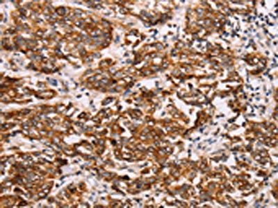
The image on the left is immunohistochemistry of paraffin-embedded Human breast cancer tissue using CSB-PA955238(Rab3D Antibody) at dilution 1/27, on the right is treated with synthetic peptide. (Original magnification: ×200)
-
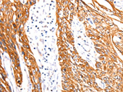
The image on the left is immunohistochemistry of paraffin-embedded Human esophagus cancer tissue using CSB-PA955238(Rab3D Antibody) at dilution 1/27, on the right is treated with synthetic peptide. (Original magnification: ×200)
-
-
其他:
產品詳情
-
Uniprot No.:
-
基因名:
-
別名:D2-2 antibody; Glioblastoma overexpressed antibody; GOV antibody; RAB 16 antibody; RAB16 antibody; Rab3d antibody; Rab3D upregulated with myeloid differentiation antibody; RAB3D; member RAS oncogene family antibody; RAB3D_HUMAN antibody; RAD3D antibody; Ras-related protein Rab-3D antibody
-
宿主:Rabbit
-
反應種屬:Human,Mouse,Rat
-
免疫原:Synthetic peptide of Human Rab3D
-
免疫原種屬:Homo sapiens (Human)
-
標記方式:Non-conjugated
-
抗體亞型:IgG
-
純化方式:Antigen affinity purification
-
濃度:It differs from different batches. Please contact us to confirm it.
-
保存緩沖液:-20°C, pH7.4 PBS, 0.05% NaN3, 40% Glycerol
-
產品提供形式:Liquid
-
應用范圍:ELISA,IHC
-
推薦稀釋比:
Application Recommended Dilution ELISA 1:1000-1:10000 IHC 1:25-1:100 -
Protocols:
-
儲存條件:Upon receipt, store at -20°C or -80°C. Avoid repeated freeze.
-
貨期:Basically, we can dispatch the products out in 1-3 working days after receiving your orders. Delivery time maybe differs from different purchasing way or location, please kindly consult your local distributors for specific delivery time.
-
用途:For Research Use Only. Not for use in diagnostic or therapeutic procedures.
相關產品
靶點詳情
-
功能:Protein transport. Probably involved in regulated exocytosis.
-
基因功能參考文獻:
- targeting the Rab3D may be a potential therapeutic target for treatment of esophageal squamous cell carcinoma. PMID: 28472755
- increased Rab3D expression is associated with invasiveness of CRC cells PMID: 27046094
- High expression of small GTPase Rab3D promotes cancer progression and metastasis. PMID: 25823663
- The presence of Rab3D(N135I) decreases the restriction of maturing secretory granules (SGs) to the F-actin-rich cell cortex, blocks the removal of the endoprotease furin from SGs and impedes the processing of the luminal SG protein secretogranin II. PMID: 23526941
- Our findings indicate that Rab3D regulates the exocytosis of many components critical for the maintenance of oral physiology. PMID: 21702009
- MIST1 binds to highly conserved CATATG E-boxes to directly activate transcription of 6 genes, including those encoding the small GTPases RAB26 and RAB3D. PMID: 20038531
- mutant Rab3D proteins interfere with the formation of bona fide Weibel-Palade bodies and consequently the acute, histamine-induced release of von-Willebrand factor PMID: 15257287
顯示更多
收起更多
-
亞細胞定位:Cell membrane; Lipid-anchor; Cytoplasmic side.
-
蛋白家族:Small GTPase superfamily, Rab family
-
組織特異性:Highly expressed in granulocytes of peripheral blood. Constitutively expressed at low levels in all hematopoietic cell lines investigated.
-
數據庫鏈接:
Most popular with customers
-
YWHAB Recombinant Monoclonal Antibody
Applications: ELISA, WB, IHC, IF, FC
Species Reactivity: Human, Mouse, Rat
-
-
-
-
-
-
-















