RAB3B Antibody
-
中文名稱:RAB3B兔多克隆抗體
-
貨號:CSB-PA019195LA01HU
-
規格:¥440
-
圖片:
-
Western blot
All lanes: RAB3B antibody at 4µg/ml
Lane 1: Mouse brain tissue
Lane 2: U87 whole cell lysate
Secondary
Goat polyclonal to rabbit IgG at 1/10000 dilution
Predicted band size: 25 kDa
Observed band size: 25 kDa -
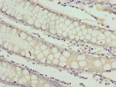
Immunohistochemistry of paraffin-embedded human colon cancer using CSB-PA019195LA01HU at dilution of 1:100
-
-
其他:
產品詳情
-
產品名稱:Rabbit anti-Homo sapiens (Human) RAB3B Polyclonal antibody
-
Uniprot No.:
-
基因名:
-
別名:Brain antigen RAB3B antibody; RAB3B antibody; RAB3B member RAS oncogene family antibody; RAB3B_HUMAN antibody; ras related protein Rab 3B antibody; Ras-related protein Rab-3B antibody
-
宿主:Rabbit
-
反應種屬:Human, Mouse
-
免疫原:Recombinant Human Ras-related protein Rab-3B protein (1-219AA)
-
免疫原種屬:Homo sapiens (Human)
-
標記方式:Non-conjugated
本頁面中的產品,RAB3B Antibody (CSB-PA019195LA01HU),的標記方式是Non-conjugated。對于RAB3B Antibody,我們還提供其他標記。見下表:
-
克隆類型:Polyclonal
-
抗體亞型:IgG
-
純化方式:>95%, Protein G purified
-
濃度:It differs from different batches. Please contact us to confirm it.
-
保存緩沖液:Preservative: 0.03% Proclin 300
Constituents: 50% Glycerol, 0.01M PBS, PH 7.4 -
產品提供形式:Liquid
-
應用范圍:ELISA, WB, IHC
-
推薦稀釋比:
Application Recommended Dilution WB 1:1000-1:5000 IHC 1:20-1:200 -
Protocols:
-
儲存條件:Upon receipt, store at -20°C or -80°C. Avoid repeated freeze.
-
貨期:Basically, we can dispatch the products out in 1-3 working days after receiving your orders. Delivery time maybe differs from different purchasing way or location, please kindly consult your local distributors for specific delivery time.
-
用途:For Research Use Only. Not for use in diagnostic or therapeutic procedures.
相關產品
靶點詳情
-
功能:Protein transport. Probably involved in vesicular traffic.
-
基因功能參考文獻:
- Western blot experiments designed to detect flotillin 2, TMEM256, Rab3B and LAMTOR1 showed that the level of these proteins was higher in urinary exosomes from prostate cancer patients compared to healthy males PMID: 27664330
- The structure of Rab3B:GDP complex was solved to 1.9A resolution and the structural base comparison with other Rab3 members provides a structural basis for the GDP/GTP switch in controlling the activity of small GTPase. PMID: 22321395
- These results support an important inter-species difference in regulating insulin exocytosis where RAB3B is the most expressed isoform in human islets. PMID: 20807725
- RAB3B improves dopamine handling and storage capacity at presynaptic terminals, and confers protection to vulnerable DA neurons. PMID: 20007772
- these results add new information to the view that Rab3B is involved in the regulation of pituitary hormone secretion. PMID: 19384079
- Rab3b/3c-positive recycling vesicles are involved in and may constitute one of the recycling compartments in exogenous antigen cross-presentation. PMID: 19717423
顯示更多
收起更多
-
亞細胞定位:Cell membrane; Lipid-anchor; Cytoplasmic side. Golgi apparatus.
-
蛋白家族:Small GTPase superfamily, Rab family
-
數據庫鏈接:
Most popular with customers
-
-
YWHAB Recombinant Monoclonal Antibody
Applications: ELISA, WB, IHC, IF, FC
Species Reactivity: Human, Mouse, Rat
-
Phospho-YAP1 (S127) Recombinant Monoclonal Antibody
Applications: ELISA, WB, IHC
Species Reactivity: Human
-
-
-
-
-















