RAB27B Antibody
-
中文名稱:RAB27B兔多克隆抗體
-
貨號:CSB-PA019178ESR1HU
-
規格:¥440
-
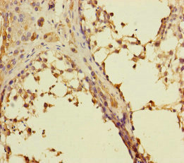
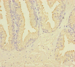
圖片:
-
其他:
產品詳情
-
產品名稱:Rabbit anti-Homo sapiens (Human) RAB27B Polyclonal antibody
-
Uniprot No.:
-
基因名:RAB27B
-
別名:C25KG antibody; Rab27b antibody; RAB27B member RAS oncogene family antibody; RAS associated protein RAB27B antibody; Ras related protein Rab 27b antibody; Ras related protein Rab27b antibody; Ras-related protein Rab-27B antibody; RB27B_HUMAN antibody; Small GTP binding protein rab27b antibody
-
宿主:Rabbit
-
反應種屬:Human
-
免疫原:Recombinant Human Ras-related protein Rab-27B protein (1-218AA)
-
免疫原種屬:Homo sapiens (Human)
-
標記方式:Non-conjugated
-
克隆類型:Polyclonal
-
抗體亞型:IgG
-
純化方式:Antigen Affinity Purified
-
濃度:It differs from different batches. Please contact us to confirm it.
-
保存緩沖液:PBS with 0.02% sodium azide, 50% glycerol, pH7.3.
-
產品提供形式:Liquid
-
應用范圍:ELISA, IHC
-
推薦稀釋比:
Application Recommended Dilution IHC 1:20-1:200 -
Protocols:
-
儲存條件:Upon receipt, store at -20°C or -80°C. Avoid repeated freeze.
-
貨期:Basically, we can dispatch the products out in 1-3 working days after receiving your orders. Delivery time maybe differs from different purchasing way or location, please kindly consult your local distributors for specific delivery time.
-
用途:For Research Use Only. Not for use in diagnostic or therapeutic procedures.
相關產品
靶點詳情
-
功能:Small GTPase which cycles between active GTP-bound and inactive GDP-bound states. In its active state, binds to a variety of effector proteins to regulate homeostasis of late endocytic pathway, including endosomal positioning, maturation and secretion. Plays a role in NTRK2/TRKB axonal anterograde transport by facilitating the association of NTRK2/TRKB with KLC1. May be involved in targeting uroplakins to urothelial apical membranes.
-
基因功能參考文獻:
- Data indicate that a significant correlation between rab GTP-binding protein (RAB27B) and p53 tumor suppressor protein (p53) expression was observed. PMID: 26418905
- MiR-193a-3p and miR-193a-5p play important roles in osteosarcoma metastasis through down-regulation of the Rab27B and SRR genes and therefore may serve as useful biomarkers for the diagnosis of osteosarcoma PMID: 26913720
- These data indicate that Rab27B is involved at a different steps of zymogen granule maturation and secretion, which is distinct from that of Rab3D. PMID: 26845357
- Decreased invasion partly resulted from reduced expression and activation of MMP-9 after Rab27b knockdown. Downregulation of Rab27b also suppressed tumor growth in vivo. PMID: 26165699
- Data indicate that the secretion of microRNA miR-143, depends on rab GTP-binding proteins Rab7a and Rab27b. PMID: 26348397
- Rab27B nuclear expression is correlated with several clinicopathological features of GIST patients, and it may serve as an unfavorable prognostic marker. PMID: 25382899
- inhibiting V-ATPase activity by interfering agents and drugs might be an effective strategy for blocking Rab27B-dependent proinvasive secretory vesicle trafficking in ERalpha-positive breast cancer patients PMID: 23390068
- findings suggest that overexpression of Rab27B in BC coincides with lymph node metastasis and acquisition of a poor prognostic phenotype PMID: 23217148
- These results suggest that Rab27b negatively regulates the cell surface expression of c-kit via secretion of SCF and that ligation of SCF leads to the endolysosomal degradation system of c-kit. PMID: 22349512
- in human breast cancer specimens, the presence of Rab27B protein proved to be associated with a low degree of differentiation and the presence of lymph node metastasis in ER-positive breast cancer PMID: 21304180
- were unable to find any mutation in the coding sequence of RAB27B in five patients suffering from different types of platelet delta-storage pool deficiency PMID: 21198862
- Rab27b is associated with tubulovesicle membranes in the parietal cell and Rab27b may play a role in stimulation-associated membrane recruitment and gastric acid secretion. PMID: 20888820
- Rab27B regulates invasive growth and metastasis in ER-positive breast cancer cell lines, and increased expression is associated with poor prognosis in humans. PMID: 20484105
- Chromosomal mapping and gene structure of the RAB27B gene. PMID: 11178108
- During primate spermiogenesis, dynein, myosin Va, MyRIP and Rab27b that compose microtubule-based and actin-based vesicle transport systems are actually present in the manchette and might possibly be involved in intramanchette transport. PMID: 18478159
顯示更多
收起更多
-
亞細胞定位:Membrane; Lipid-anchor. Late endosome.
-
蛋白家族:Small GTPase superfamily, Rab family
-
組織特異性:Expressed primarily in testis.
-
數據庫鏈接:
Most popular with customers
-
-
YWHAB Recombinant Monoclonal Antibody
Applications: ELISA, WB, IHC, IF, FC
Species Reactivity: Human, Mouse, Rat
-
Phospho-YAP1 (S127) Recombinant Monoclonal Antibody
Applications: ELISA, WB, IHC
Species Reactivity: Human
-
-
-
-
-















