RAB21 Antibody
-
中文名稱:RAB21兔多克隆抗體
-
貨號:CSB-PA891733LA01HU
-
規格:¥440
-
圖片:
-
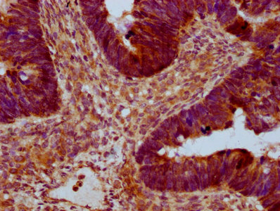
IHC image of CSB-PA891733LA01HU diluted at 1:400 and staining in paraffin-embedded human ovarian cancer performed on a Leica BondTM system. After dewaxing and hydration, antigen retrieval was mediated by high pressure in a citrate buffer (pH 6.0). Section was blocked with 10% normal goat serum 30min at RT. Then primary antibody (1% BSA) was incubated at 4°C overnight. The primary is detected by a biotinylated secondary antibody and visualized using an HRP conjugated SP system.
-
Immunofluorescence staining of HepG2 cells with CSB-PA891733LA01HU at 1:133, counter-stained with DAPI. The cells were fixed in 4% formaldehyde, permeabilized using 0.2% Triton X-100 and blocked in 10% normal Goat Serum. The cells were then incubated with the antibody overnight at 4°C. The secondary antibody was Alexa Fluor 488-congugated AffiniPure Goat Anti-Rabbit IgG(H+L).
-
-
其他:
產品詳情
-
產品名稱:Rabbit anti-Homo sapiens (Human) RAB21 Polyclonal antibody
-
Uniprot No.:
-
基因名:RAB21
-
別名:KIAA0118 antibody; RAB 21 antibody; RAB21 antibody; RAB21; member RAS oncogene family antibody; RAB21_HUMAN antibody; Ras-related protein Rab-21 antibody
-
宿主:Rabbit
-
反應種屬:Human
-
免疫原:Recombinant Human Ras-related protein Rab-21 protein (141-222AA)
-
免疫原種屬:Homo sapiens (Human)
-
標記方式:Non-conjugated
本頁面中的產品,RAB21 Antibody (CSB-PA891733LA01HU),的標記方式是Non-conjugated。對于RAB21 Antibody,我們還提供其他標記。見下表:
-
克隆類型:Polyclonal
-
抗體亞型:IgG
-
純化方式:>95%, Protein G purified
-
濃度:It differs from different batches. Please contact us to confirm it.
-
保存緩沖液:Preservative: 0.03% Proclin 300
Constituents: 50% Glycerol, 0.01M PBS, pH 7.4 -
產品提供形式:Liquid
-
應用范圍:ELISA, IHC, IF
-
推薦稀釋比:
Application Recommended Dilution IHC 1:200-1:500 IF 1:50-1:200 -
Protocols:
-
儲存條件:Upon receipt, store at -20°C or -80°C. Avoid repeated freeze.
-
貨期:Basically, we can dispatch the products out in 1-3 working days after receiving your orders. Delivery time maybe differs from different purchasing way or location, please kindly consult your local distributors for specific delivery time.
-
用途:For Research Use Only. Not for use in diagnostic or therapeutic procedures.
相關產品
靶點詳情
-
功能:Small GTPase involved in membrane trafficking control. During the mitosis of adherent cells, controls the endosomal trafficking of integrins which is required for the successful completion of cytokinesis. Regulates integrin internalization and recycling, but does not influence the traffic of endosomally translocated receptors in general. As a result, may regulate cell adhesion and migration. Involved in neurite growth. Following SBF2/MTMT13-mediated activation in response to starvation-induced autophagy, binds to and regulates SNARE protein VAMP8 endolysosomal transport required for SNARE-mediated autophagosome-lysosome fusion. Modulates protein levels of the cargo receptors TMED2 and TMED10, and required for appropriate Golgi localization of TMED10.
-
基因功能參考文獻:
- Rab21 silencing can induce apoptosis and inhibit proliferation in human glioma cells. PMID: 29270202
- Starvation-induced MTMR13 and RAB21 activity regulates VAMP8 to promote autophagosome-lysosome fusion. PMID: 25648148
- High RAB21 expression is associated with glioma. PMID: 24477653
- Taken together, these data suggest that Rab21 plays a negative role in the EGF-mediated MAPK signaling pathway. Overexpression of Rab21 attenuated EGF-mediated mitogen-activated protein kinase (MAPK) signaling by inducing EGFR degradation. PMID: 22525675
- Rab21 (and Rab5) associate with the cytoplasmic domains of alpha-integrin chains, and their expression influences the endo/exocytic traffic of integrins. This function of Rab21 is dependent on its GTP/GDP cycle and proper membrane targeting PMID: 16754960
- Results show that targeted trafficking of integrins to and from the cleavage furrow is required for successful cytokinesis, and that this is regulated by Rab21. PMID: 18804435
- show that TI-VAMP interacts with the Vps9 domain and ankyrin-repeat-containing protein Varp, a guanine nucleotide exchange factor of the small GTPase Rab21, through a specific domain herein called the interacting domain. PMID: 19745841
顯示更多
收起更多
-
亞細胞定位:Endoplasmic reticulum membrane; Lipid-anchor. Golgi apparatus, trans-Golgi network. Golgi apparatus membrane. Early endosome membrane. Cytoplasmic vesicle membrane. Cleavage furrow. Cell projection, neuron projection.
-
蛋白家族:Small GTPase superfamily, Rab family
-
組織特異性:Widely expressed. In jejunal tissue, predominantly expressed in the apical region of the epithelial cell layer of the villi, weak expression, if any, in the crypt epithelium. Capillary endothelium and some cell types in the lamina propria also show expres
-
數據庫鏈接:
Most popular with customers
-
-
YWHAB Recombinant Monoclonal Antibody
Applications: ELISA, WB, IHC, IF, FC
Species Reactivity: Human, Mouse, Rat
-
Phospho-YAP1 (S127) Recombinant Monoclonal Antibody
Applications: ELISA, WB, IHC
Species Reactivity: Human
-
-
-
-
-















