Phospho-RPS6KA1 (Thr348) Antibody
-
中文名稱:磷酸化-RPS6KA1 (Thr348)兔多克隆抗體
-
貨號:CSB-PA980342
-
規格:¥2454
-
圖片:
-
Western blot analysis of extracts from Hela cells untreated or treated with UV using p90RSK(Phospho-Thr348) Antibody.
-
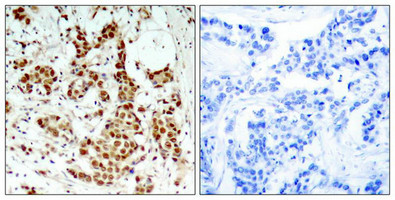
Immunohistochemical analysis of paraffin-embedded human breast carcinoma tissue using p90RSK(Phospho-Thr348) Antibody(left) or the same antibody preincubated with blocking peptide(right).
-
Immunofluorescence staining of methanol-fixed Hela cells using p90RSK(Phospho-Thr348) Antibody.
-
-
其他:
產品詳情
-
產品名稱:Rabbit anti-Homo sapiens (Human) RPS6KA1 Polyclonal antibody
-
Uniprot No.:
-
基因名:
-
宿主:Rabbit
-
反應種屬:Human,Mouse,Rat
-
免疫原:Peptide sequence around phosphorylation site of threonine 348 (S-R-T(p)-P-R) derived from Human p90RSK.
-
免疫原種屬:Homo sapiens (Human)
-
克隆類型:Polyclonal
-
純化方式:Antibodies were produced by immunizing rabbits with synthetic phosphopeptide and KLH conjugates. Antibodies were purified by affinity-chromatography using epitope-specific phosphopeptide. Non-phospho specific antibodies were removed by chromatogramphy usi
-
濃度:It differs from different batches. Please contact us to confirm it.
-
產品提供形式:Liquid
-
應用范圍:ELISA,WB,IHC,IF
-
推薦稀釋比:
Application Recommended Dilution WB 1:500-1:1000 IHC 1:50-1:100 IF 1:100-1:200 -
Protocols:
-
儲存條件:Upon receipt, store at -20°C or -80°C. Avoid repeated freeze.
-
貨期:Basically, we can dispatch the products out in 1-3 working days after receiving your orders. Delivery time maybe differs from different purchasing way or location, please kindly consult your local distributors for specific delivery time.
-
用途:For Research Use Only. Not for use in diagnostic or therapeutic procedures.
相關產品
靶點詳情
-
功能:Serine/threonine-protein kinase that acts downstream of ERK (MAPK1/ERK2 and MAPK3/ERK1) signaling and mediates mitogenic and stress-induced activation of the transcription factors CREB1, ETV1/ER81 and NR4A1/NUR77, regulates translation through RPS6 and EIF4B phosphorylation, and mediates cellular proliferation, survival, and differentiation by modulating mTOR signaling and repressing pro-apoptotic function of BAD and DAPK1. In fibroblast, is required for EGF-stimulated phosphorylation of CREB1, which results in the subsequent transcriptional activation of several immediate-early genes. In response to mitogenic stimulation (EGF and PMA), phosphorylates and activates NR4A1/NUR77 and ETV1/ER81 transcription factors and the cofactor CREBBP. Upon insulin-derived signal, acts indirectly on the transcription regulation of several genes by phosphorylating GSK3B at 'Ser-9' and inhibiting its activity. Phosphorylates RPS6 in response to serum or EGF via an mTOR-independent mechanism and promotes translation initiation by facilitating assembly of the pre-initiation complex. In response to insulin, phosphorylates EIF4B, enhancing EIF4B affinity for the EIF3 complex and stimulating cap-dependent translation. Is involved in the mTOR nutrient-sensing pathway by directly phosphorylating TSC2 at 'Ser-1798', which potently inhibits TSC2 ability to suppress mTOR signaling, and mediates phosphorylation of RPTOR, which regulates mTORC1 activity and may promote rapamycin-sensitive signaling independently of the PI3K/AKT pathway. Mediates cell survival by phosphorylating the pro-apoptotic proteins BAD and DAPK1 and suppressing their pro-apoptotic function. Promotes the survival of hepatic stellate cells by phosphorylating CEBPB in response to the hepatotoxin carbon tetrachloride (CCl4). Mediates induction of hepatocyte prolifration by TGFA through phosphorylation of CEBPB. Is involved in cell cycle regulation by phosphorylating the CDK inhibitor CDKN1B, which promotes CDKN1B association with 14-3-3 proteins and prevents its translocation to the nucleus and inhibition of G1 progression. Phosphorylates EPHA2 at 'Ser-897', the RPS6KA-EPHA2 signaling pathway controls cell migration.
-
基因功能參考文獻:
- FASN-induced S6 kinase facilitates USP11-eIF4B complex formation for sustained oncogenic translation in diffuse large B-cell lymphoma. PMID: 29483509
- Polymorphism in p90Rsk gene is associated with Fetal Alcohol Spectrum Disorders. PMID: 29109170
- The results suggested a possible link between tRNALeu overexpression and RSK1/MSK2 activation and ErbB2/ErbB3 signaling, especially in breast cancer. PMID: 28816616
- Phosphorylation at Ser732 affects ribosomal S6 kinase 1 (RSK1) C-terminal tail (CTT) binding. PMID: 29083550
- RSK1 induced self-ubiquitination and destabilisation of UBE2R1 by phosphorylation but did not phosphorylate FBXO15. PMID: 27786305
- Genetic or pharmacologic inhibition of p90RSK in ganetespib-resistant cells restored sensitivity to ganetespib, whereas p90RSK overexpression induced ganetespib resistance in naive cells, validating p90RSK as a mediator of resistance and a novel therapeutic target PMID: 28167505
- These results suggest that RSK1 protects P-gp against ubiquitination by reducing UBE2R1 stability. PMID: 27786305
- Data suggest that UBR5 down-regulates levels of TRAF3, a key component of Toll-like receptor signaling, via the miRNA pathway; p90RSK is an upstream regulator of UBR5; p90RSK phosphorylates UBR5 as required for translational repression of TRAF3 mRNA. (UBR5 = ubiquitin protein ligase E3 component n-recognin 5 protein; TRAF3 = TNF receptor-associated factor 3; p90RSK = 90 kDa ribosomal protein S6 kinase) PMID: 28559278
- Data indicate that BTG2, MAP3K11, RPS6KA1 and PRDM1 as putative targets of microRNA miR-125b. PMID: 27613090
- The p90RSK has an essential role in promoting tumor growth and proliferation in non-small cell lung cancer (NSCLC). BID may serve as an alternative cancer treatment in NSCLC. PMID: 27236820
- RSK1 binds to EBP50 at its first PDZ domain, and mitogen activated RSK1 phosphorylates EBP50 at T156, an event that is crucial for its nuclear localization PMID: 26862730
- Data show that the 90 kDa ribosomal protein S6 kinases RSK1 and RSK2 play a key role in the homing of ovarian cancer cells in metastatic sites by regulating cell adhesion and invasion. PMID: 26625210
- RSK1 and 3 but not RSK2 are down-regulated in breast tumour and are associated with disease progression. RSK may be a key component in the progression and metastasis of breast cancer. PMID: 26977024
- PKD2 and RSK1 regulate integrin beta4 phosphorylation at threonine 1736 to stabilize keratinocyte cell adhesion and its hemidesmosomes. PMID: 26580203
- Results indicate that the phosphorylation of EphA2 at Ser-897 is controlled by RSK and the RSK-EphA2 axis might contribute to cell motility and promote tumour malignant progression. PMID: 26158630
- SL0101 and BI-D1870 induce distinct off-target effects in mTORC1-p70S6K signaling, and thus, the functions previously ascribed to RSK1/2 based on these inhibitors should be reassessed. PMID: 25889895
- RSK1 was constitutively phosphorylated at Ser-380 in nodular but not superficial spreading melanoma and did not directly correlate with BRAF or MEK activation. RSK1 orchestrated a program of gene expression that promoted cell motility and invasion. PMID: 25579842
- p90RSK-mediated SENP2-T368 phosphorylation is a master switch in disturbed-flow-induced signaling. PMID: 25689261
- These results suggest a critical role for ORF45-mediated p90 Ribosomal S6 Kinase activation in Kaposi's sarcoma-associated herpesvirus lytic replication. PMID: 25320298
- Data suggest that the ribosomal S6 kinase : protein kinase B (AKT) phosphorylation ratio could be useful as a biomarker of target inhibition by RAD001. PMID: 24332215
- RSK1 is specifically required for cleavage furrow formation and ingression during cytokinesis. PMID: 24269382
- RSK-mediated phosphorylation is required for KIBRA binding to RSK1. PMID: 24269383
- Data indicate that the S100B-p90 ribosomal S6 kinase (RSK) complex was found to be Ca2+-dependent, block phosphorylation of RSK at Thr-573, and sequester RSK to the cytosol. PMID: 24627490
- RSK1 is a novel regulator of insulin signaling and glucose metabolism and a potential mediator of insulin resistance, notably through the negative phosphorylation of IRS-1 on Ser-1101. PMID: 24036112
- Resistance to trastuzumab was observed in tumor cells with elevated MNK1 expression, furthermore, inhibition of RSK1 restored sensitivity to resistant cells. PMID: 22249268
- Targeting p90 ribosomal S6 kinase eliminates tumor-initiating cells by inactivating Y-box binding protein-1 in triple-negative breast cancers. PMID: 22674792
- results suggest p90 RSK facilitates nuclear Chk1 accumulation through Chk1-Ser-280 phosphorylation and that this pathway plays an important role in the preparation for monitoring genetic stability during cell proliferation. PMID: 22357623
- structure indicates that activation of RSK1 involves the removal of alpha-helix from the substrate-binding groove induced by ERK1/2 phosphorylation PMID: 22683790
- Data indicate that Plk1 siRNA interference and overexpression increased phosphorylation of RSK1, suggesting that Plk1 inhibits RSK1. PMID: 22427657
- melatonin enhances cisplatin-induced apoptosis via the inactivation of ERK/p90RSK/HSP27 cascade PMID: 22050627
- Collectively, these results identify a novel locus of apoptosomal regulation wherein MAPK signalling promotes Rsk-catalysed Apaf-1 phosphorylation and consequent binding of 14-3-3varepsilon, resulting in decreased cellular responsiveness to cytochrome c. PMID: 22246185
- Type I keratin 17 protein is phosphorylated on serine 44 by p90 ribosomal protein S6 kinase 1 (RSK1) in a growth- and stress-dependent fashion PMID: 22006917
- the results highlight a novel role for RSK1/2 and HSP27 phosphoproteins in P. aeruginosa-dependent induction of transcription of the IL-8 gene in human bronchial epithelial cells. PMID: 22031759
- Data show that VASP and Mena interact with RSK1. PMID: 21423205
- Data show that SH3P2 was phosphorylated on Ser(202) by ribosomal S6 kinase (RSK) in an ERK pathway-dependent manner, and such phosphorylation inhibited the ability of SH3P2 to suppress cell motility. PMID: 21501342
- our data provide evidence for a critical role for the activated RSK1 in IFNlambda signaling PMID: 21075852
- Data show that genetic variation in RPS6KA1, RPS6KA2, and PRS6KB2 were associated with risk of developing colon cancer while only genetic variation in RPS6KA2 was associated with altering risk of rectal cancer. PMID: 21035469
- small molecules such as celecoxib induce DR5 expression through activating ERK/RSK signaling and subsequent Elk1 activation and ATF4-dependent CHOP induction PMID: 21044953
- p22(phox)-based Nox oxidases maintain HIF-2alpha protein expression through inactivation of tuberin and downstream activation of ribosomal protein S6 kinase 1/4E-BP1 pathway PMID: 20304964
- was found to be activated by lead in a PKC- and MAPK-dependent manner PMID: 11861786
- Regulation of an activated S6 kinase 1 variant reveals a novel mammalian target of rapamycin phosphorylation site. PMID: 11914378
- TF cytoplasmic domain-independent stimulation of protein synthesis via activation of S6 kinase contributes to FVIIa effects in pathophysiology. PMID: 12019261
- activated transiently by stromal cell-derived factor 1 alpha alone or synergistically in combination with other cytokines PMID: 12036856
- Mammalian cell size is controlled by mTOR and its downstream targets S6K1 and 4EBP1/eIF4E PMID: 12080086
- RSK1 is negatively regulated by 14-3-3beta PMID: 12618428
- overexpressed in breast tumors PMID: 15112576
- Results suggest that active fibroblast growth factor receptor 1 kinase regulates the functions of nuclear 90-kDa ribosomal S6 kinase. PMID: 15117958
- that p90 ribosomal S 6 protein kinase 1 (RSK1) mediates the PGE2-induced phosphorylation of cAMP-response element binding protein PMID: 15615708
- monitored 14 previously uncharacterized and six known phosphorylation events after phorbol ester stimulation in the ERK/p90 ribosomal S6 kinase-signaling targets, TSC1 and TSC2, and a protein kinase C-dependent pathway to TSC2 phosphorylation PMID: 15647351
- S6 kinase 1 is a novel mammalian target of rapamycin (mTOR)-phosphorylating kinase PMID: 15905173
顯示更多
收起更多
-
亞細胞定位:Nucleus. Cytoplasm.
-
蛋白家族:Protein kinase superfamily, AGC Ser/Thr protein kinase family, S6 kinase subfamily
-
數據庫鏈接:
Most popular with customers
-
-
YWHAB Recombinant Monoclonal Antibody
Applications: ELISA, WB, IHC, IF, FC
Species Reactivity: Human, Mouse, Rat
-
Phospho-YAP1 (S127) Recombinant Monoclonal Antibody
Applications: ELISA, WB, IHC
Species Reactivity: Human
-
-
-
-
-















