Phospho-ITGB4 (Tyr1510) Antibody
-
中文名稱:磷酸化-ITGB4 (Tyr1510)兔多克隆抗體
-
貨號:CSB-PA111732
-
規格:¥2454
-
圖片:
-
Western blot analysis of extracts from HepG2 cells treated with Na2VO3 using ITGB4 (Phospho-Tyr1510) Antibody.The lane on the right is treated with the antigen-specific peptide.
-
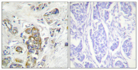
Immunohistochemical analysis of paraffin-embedded human breast carcinoma tissue, using ITGB4 (Phospho-Tyr1510) antibody (left)or the same antibody preincubated with blocking peptide (right).
-
-
其他:
產品詳情
-
產品名稱:Rabbit anti-Homo sapiens (Human) ITGB4 Polyclonal antibody
-
Uniprot No.:
-
基因名:
-
宿主:Rabbit
-
反應種屬:Human,Mouse,Rat
-
免疫原:Peptide sequence around phosphorylation site of tyrosine1510(R-D-Y(p)-S-T) derived from Human ITGB4 .
-
免疫原種屬:Homo sapiens (Human)
-
克隆類型:Polyclonal
-
純化方式:Antibodies were produced by immunizing rabbits with synthetic phosphopeptide and KLH conjugates. Antibodies were purified by affinity-chromatography using epitope-specific phosphopeptide. Non-phospho specific antibodies were removed by chromatogramphy usi
-
濃度:It differs from different batches. Please contact us to confirm it.
-
產品提供形式:Liquid
-
應用范圍:ELISA,WB,IHC
-
推薦稀釋比:
Application Recommended Dilution WB 1:500-1:1000 IHC 1:50-1:100 -
Protocols:
-
儲存條件:Upon receipt, store at -20°C or -80°C. Avoid repeated freeze.
-
貨期:Basically, we can dispatch the products out in 1-3 working days after receiving your orders. Delivery time maybe differs from different purchasing way or location, please kindly consult your local distributors for specific delivery time.
-
用途:For Research Use Only. Not for use in diagnostic or therapeutic procedures.
相關產品
靶點詳情
-
功能:Integrin alpha-6/beta-4 is a receptor for laminin. Plays a critical structural role in the hemidesmosome of epithelial cells. Is required for the regulation of keratinocyte polarity and motility. ITGA6:ITGB4 binds to NRG1 (via EGF domain) and this binding is essential for NRG1-ERBB signaling. ITGA6:ITGB4 binds to IGF1 and this binding is essential for IGF1 signaling. ITGA6:ITGB4 binds to IGF2 and this binding is essential for IGF2 signaling.
-
基因功能參考文獻:
- High ITGB4 expression is associated with drug resistance in colorectal cancer. PMID: 30106452
- ITGB4 plays a tumorigenic and pro-metastatic role mediated by Slug PMID: 28084395
- correlation analysis indicated that the expression of ARRDC3 was negatively correlated with ITGbeta4 in clinical prostate cancer (PCa) tissues and cell lines. Our data revealed that ARRDC3 can serve as a tumor suppressor to inhibit PCa progression and an independent marker to predict the risk of biochemical recurrence and metastasis after radical resection of PCa. PMID: 28782483
- ITGB4(+) cancer stem cell (CSC)-enriched mesenchymal cells reside in an intermediate epithelial/mesenchymal phenotypic state. PMID: 28270621
- These findings suggest that the integrin beta4-FAK/Src signaling axis may play a crucial role in clonorchiasis-associated cholangiocarcinoma metastasis during tumor progression. PMID: 28286026
- MUC5AC interacts with integrin beta4 that mediates phosphorylation of FAK at Y397 leading to lung cancer cell migration. PMID: 26751774
- a significant reduction in the protein distribution of collagen IV (P<0.0001), collagen VII (P<0.001), collagen XVII (P<0.01), integrin beta4 (P<0.001) and laminin-332 (P<0.0001) in intrinsically aged skin. PMID: 27013376
- For the in vivo experiment, miR-182-5p overexpression also promoted the growth and progression of prostate cancer tumors. In this regard, we suggest that miR-182-5p may be a key androgen receptor-regulated factor that contributes to the development and metastasis of Chinese prostate cancers and may be a potential target for the early diagnosis and therapeutic studies of prostate cancer. PMID: 27109471
- data indicate that the beta4 integrin/FAK complex and subsequent FAK activation are essential regulators during the tumorigenicity of colon cancer PMID: 27178753
- This work investigates alpha6beta4 integrin genetic variations (A380T and R1281W) and breast cancer risk in an Argentinian population. No subjects carrying the R1281W mutation in the ITGB4 gene were found and this absence could reflect its high deleterious impact on proteins, so it would be eliminated from the population by natural selection. PMID: 27763564
- Herein, we present a female newborn with lethal Junctional epidermolysis bullosa with pyloric atresia caused by a novel beta4 integrin mutation. PMID: 27186702
- analysis of deletions in ITGB4 gene causing epidermolysis bullosa with pyloric atresia [case series] PMID: 26739954
- ITGB4 is overexpressed in hepatocellular carcinoma tissues and promotes metastases of HCC by conferring anchorage independence through EGFR-dependent FAK-AKT activation. PMID: 26996299
- High vimentin and low beta4 integrin protein levels are associated with poor survival in oral squamous carcinoma patients. PMID: 26646105
- Endothelial cell overexpression of mutant ITGB4 with specific tyrosines mutated to phenylalanine (Y1440, Y1526 Y1640, or Y1422) resulted in significantly attenuated CS-induced cytokine expression. PMID: 26572585
- This study describes a pro-metastatic EGFR/Src-dependent beta4 integrin/FAK complex that is involved in breast cancer malignancy and is a novel therapeutic target for triple-negative breast cancer. PMID: 26549523
- These data suggest that the p53(R248) mutant endows ovarian cancer cells with increased adhesiveness and that integrin beta4 and Akt signalling are associated with the mutation-enhanced ovarian cancer-mesothelial cell adhesion. PMID: 26223322
- Changes in beta-integrins gene expression in human prostate cancer cells following ITGB4 knockdown. PMID: 26395630
- PKD2 and RSK1 regulate integrin beta4 phosphorylation at threonine 1736 to stabilize keratinocyte cell adhesion and its hemidesmosomes. PMID: 26580203
- Data indicate that IGF binding protein-3 (IGFBP-3) reduced transcription of a variety of integrins, especially integrin beta4. PMID: 25945837
- Analysis showed that ITGB4 and VCL were upregulated in exosomes derived from taxane-resistant prostate cancer cells suggesting them as useful markers for progression of prostate cancer associated with taxane-resistance. PMID: 25997717
- Case Report: pyloric atresia-junctional epidermolysis bullosa syndrome with splicing abnormality of ITGB4 due to nucleotide substitutions far from splice site. PMID: 25728941
- ITGB4 stimulation leads to recruitment of 12-LOX from the cytosol to the membrane. PMID: 26037302
- The third and fourth fibronectin type III domains (FnIII-3,4) emerge as a structural and functional unit within the integrin beta 4. PMID: 25849406
- find that both Syk and LMP2A have an effect on ITGbeta4 cell surface expression PMID: 25531330
- Case Report: ITGB4 germline mutations in junctional epidermolysis bullosa without pylori atresia but profound genito-urinary involvement. PMID: 24807042
- Mutations in the 5' flanking region result in reduced integrin beta4 expression, which is related to increased risk of asthma. PMID: 24740264
- By a loss-of-function assay, we elucidate a novel feed-forward signaling pathway, integrin beta4 --> PI3K --> Akt --> FAK, by which TR3 mediates HUVEC migration. Furthermore, TR3/Nur77 regulates the expression of integrin beta4 by targeting its promoter activity. PMID: 25326539
- Data indicate that knockdown of integrin beta4 (ITGB4) reduced the migratory and invasive ability of pancreatic ductal adenocarcinoma cells. PMID: 25599535
- miR-21 is a key player in oncogenic EMT, its overexpression is controlled by the cooperation of genetic and epigenetic alterations, and its levels, along with ITGbeta4 and PDCD4 expression, could be exploited as a prognostic tool for CRC metastasis. PMID: 24149370
- underexpressed in circulating (4D culture) cells relative to 2D culture cells PMID: 25234746
- the diminishment of crosstalk between phosphorylated FAK and ITGB4 due to the down-regulation of Gli family transcription factors might play a pivotal role for inhibiting ovarian cancer progression PMID: 24533083
- Data indicate that sphingosine 1-phosphate (S1P) and hepatocyte growth factor (HGF) induced transloaction of integrin beta4, S1P receptors S1PR2 and S1PR3 to endothelial cell membrane caveolin-enriched microdomains (CEMs). PMID: 24851274
- Both annexin A7 and integrin beta4 were essential for small molecule, 6-amino-2, 3-dihydro-3-hydroxymethyl-1, 4-benzoxazine-induced autophagy. PMID: 24007983
- The expression of MPS-1 and ITGB4 is associated with poor outcomes in gastric cancer patients. PMID: 23803695
- beta4 and beta1 integrin protein and mRNA expression is elevated in PKP2-silenced keratinocytes. PMID: 23884246
- beta4 integrin rs8669 genotyping may help to identify a subgroup of HER-3-negative, K-RAS wild-type colorectal cancer patients who are more likely to benefit from anti-EGFR treatment. PMID: 23617461
- study reports two new non-Herlitz junctional epidermolysis bullosa cases carrying two novel ITGB4 mutations - c.3040C>T in exon 26 and c.4975G>T in exon 37 PMID: 23013259
- Post-translational regulation of beta4 by PTHrP (Parathyroid hormone-related protein) is mediated via attenuation of its proteolytic cleavage by caspases. PMID: 23499737
- Mechanistic studies indicated that mutant ITGB4 fails to promote transactivation of ErbB2 and c-Met in prostate tumor progenitor cells and cancer cell lines. PMID: 23348745
- S1PR1 and ITGB4 transactivation are rate-limiting events in the transduction of HGF signals via a dynamic c-Met complex resulting in enhanced EC barrier integrity PMID: 23212923
- Most actinic cheilitis cases showed reduced expression of integrin beta4 and superficially invasive squamous cell carcinoma lacked intergrin beta4 in the invasive front. PMID: 22917688
- invasive breast cancer cells confer an anoikis-resistant phenotype on myofibroblasts during tissue remodeling by inducing laminin-332 upregulation and integrin beta4 neoexpression PMID: 22673183
- MAPK activation is increased when [Ca(2+)](i) is increased, suggesting that calcineurin activates an additional mechanism that counteracts MAPK-induced beta4 phosphorylation. PMID: 22865863
- Silencing of ITGB4 in airway epithelial cells resulted in impaired antigen presentation processes and suppressed T cell proliferation. PMID: 22545078
- Mutational analysis disclosed compound heterozygosity for two novel nonsense mutations in the ITGB4 gene: c.600dupC/p.F201fsX14 and c.2533C>T/p.Q845X. PMID: 21969027
- the expression of integrin beta(4) is upregulated to sensitize the cells to low concentrations of netrin-4 for maintaining cell proliferation. PMID: 22496621
- beta4 can regulate SPARC expression and that SPARC is an effector of beta4-mediated invasion. PMID: 22308039
- AexU effector protein of Aeromonas veronii is a novel type three secretion system effector which specifically inactivates Rac1 to disrupt actin cytoskeleton and has an alternative cytotoxic pathway through beta4-integrin mediation. PMID: 21963679
- beta4 serine phosphorylation may have important role during squamous cell carcinoma invasion by destabilizing hemidesmosomes and facilitating migration. PMID: 21769085
顯示更多
收起更多
-
相關疾病:Epidermolysis bullosa letalis, with pyloric atresia (EB-PA); Generalized atrophic benign epidermolysis bullosa (GABEB)
-
亞細胞定位:Cell membrane; Single-pass type I membrane protein. Cell membrane; Lipid-anchor. Cell junction, hemidesmosome. Note=Colocalizes with DST at the leading edge of migrating keratinocytes.
-
蛋白家族:Integrin beta chain family
-
組織特異性:Integrin alpha-6/beta-4 is predominantly expressed by epithelia. Isoform beta-4D is also expressed in colon and placenta. Isoform beta-4E is also expressed in epidermis, lung, duodenum, heart, spleen and stomach.
-
數據庫鏈接:















